• 文献检索
  • 文档翻译
  • 深度研究
  • 学术资讯
  • Suppr Zotero 插件Zotero 插件
  • 邀请有礼
  • 套餐&价格
  • 历史记录
应用&插件
Suppr Zotero 插件Zotero 插件浏览器插件Mac 客户端Windows 客户端微信小程序
定价
高级版会员购买积分包购买API积分包
服务
文献检索文档翻译深度研究API 文档MCP 服务
关于我们
关于 Suppr公司介绍联系我们用户协议隐私条款
关注我们

Suppr 超能文献

核心技术专利:CN118964589B侵权必究
粤ICP备2023148730 号-1Suppr @ 2026

文献检索

告别复杂PubMed语法,用中文像聊天一样搜索,搜遍4000万医学文献。AI智能推荐,让科研检索更轻松。

立即免费搜索

文件翻译

保留排版,准确专业,支持PDF/Word/PPT等文件格式,支持 12+语言互译。

免费翻译文档

深度研究

AI帮你快速写综述,25分钟生成高质量综述,智能提取关键信息,辅助科研写作。

立即免费体验

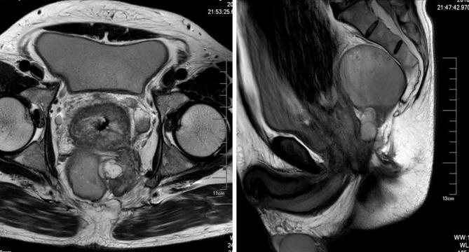
直肠黏液腺癌侵犯直肠后皮样囊肿:一例报告

Rectal Mucinous Adenocarcinoma Invading Retrorectal Dermoid Cysts: A Case Report.

作者信息

Wang Rui, Yan Zhaopeng

机构信息

Department of Critical Care Medicine, Shengjing Hospital, China Medical University, Shenyang, China.

Department of General Surgery, Shengjing Hospital, China Medical University, Shenyang, China.

出版信息

Front Oncol. 2019 Dec 10;9:1389. doi: 10.3389/fonc.2019.01389. eCollection 2019.

DOI:10.3389/fonc.2019.01389
PMID:31921646
原文链接:https://pmc.ncbi.nlm.nih.gov/articles/PMC6914684/
Abstract

Rectal mucinous adenocarcinoma is a subtype of colorectal adenocarcinoma, which is more aggressive and prone to invade adjacent normal organs or tissues compared with non-mucinous adenocarcinoma. Retrorectal dermoid cyst is a rare congenital disease, which usually are benign but with a potential for malignant degeneration. In this article, we report a case which presented a rectal mucinous adenocarcinoma invading into retrorectal dermoid cysts, indicating that besides adjacent normal organs or tissues, malignancies can also invade adjacent tumors, making their diagnosis and management more complicated. In such cases, double primary tumors should be considered, and they should be removed surgically.

摘要

直肠黏液腺癌是结直肠癌的一种亚型,与非黏液腺癌相比,其侵袭性更强,更容易侵犯相邻的正常器官或组织。直肠后皮样囊肿是一种罕见的先天性疾病,通常为良性,但有恶变的可能。在本文中,我们报告了一例直肠黏液腺癌侵犯直肠后皮样囊肿的病例,表明除了相邻正常器官或组织外,恶性肿瘤也可侵犯相邻肿瘤,使其诊断和治疗更加复杂。在这种情况下,应考虑双原发肿瘤,并应手术切除。

https://cdn.ncbi.nlm.nih.gov/pmc/blobs/8ccf/6914684/e15ac02968da/fonc-09-01389-g0003.jpg
https://cdn.ncbi.nlm.nih.gov/pmc/blobs/8ccf/6914684/f066c92d23a8/fonc-09-01389-g0001.jpg
https://cdn.ncbi.nlm.nih.gov/pmc/blobs/8ccf/6914684/8fcfc2f4639c/fonc-09-01389-g0002.jpg
https://cdn.ncbi.nlm.nih.gov/pmc/blobs/8ccf/6914684/e15ac02968da/fonc-09-01389-g0003.jpg
https://cdn.ncbi.nlm.nih.gov/pmc/blobs/8ccf/6914684/f066c92d23a8/fonc-09-01389-g0001.jpg
https://cdn.ncbi.nlm.nih.gov/pmc/blobs/8ccf/6914684/8fcfc2f4639c/fonc-09-01389-g0002.jpg
https://cdn.ncbi.nlm.nih.gov/pmc/blobs/8ccf/6914684/e15ac02968da/fonc-09-01389-g0003.jpg

相似文献

1
Rectal Mucinous Adenocarcinoma Invading Retrorectal Dermoid Cysts: A Case Report.直肠黏液腺癌侵犯直肠后皮样囊肿:一例报告
Front Oncol. 2019 Dec 10;9:1389. doi: 10.3389/fonc.2019.01389. eCollection 2019.
2
Cystic lesions of the retrorectal space.直肠后间隙的囊性病变。
Histopathology. 2023 Jan;82(2):232-241. doi: 10.1111/his.14769. Epub 2022 Aug 24.
3
MRI evaluation of not complicated Tailgut cyst: Case report.未合并复杂情况的尾肠囊肿的MRI评估:病例报告
Int J Surg Case Rep. 2014;5(10):761-4. doi: 10.1016/j.ijscr.2014.02.014. Epub 2014 Aug 15.
4
Mucinous adenocarcinoma of a tailgut cyst.黏液性腺癌源于尾肠囊。
Ghana Med J. 2022 Mar;56(1):46-50. doi: 10.4314/gmj.v56i1.8.
5
A tailgut cyst found accompanying rectal cancer: report of a case.一例伴发直肠癌的尾肠囊肿病例报告。
Surg Today. 1995;25(1):65-7. doi: 10.1007/BF00309389.
6
Retrorectal Mucinous Adenocarcinoma Arising from a Tailgut Cyst: A Case Report.源于尾肠囊肿的直肠后黏液腺癌:一例报告
Case Rep Oncol. 2021 Mar 1;14(1):147-151. doi: 10.1159/000513028. eCollection 2021 Jan-Apr.
7
Retrorectal adenocarcinoma arising from tailgut cysts: a rare case report.源自尾肠囊肿的直肠后腺癌:一例罕见病例报告
BMC Surg. 2019 Nov 27;19(1):180. doi: 10.1186/s12893-019-0639-9.
8
Histopathological Diagnostic Dilemma in Retrorectal Developmental Cysts: Report of a Case and Review of the Literature.直肠后发育性囊肿的组织病理学诊断难题:一例报告及文献复习
Turk Patoloji Derg. 2018;34(2):175-178. doi: 10.5146/tjpath.2015.01306.
9
A Rare Coexistence of Retrorectal and Ovarian Cysts: A Case Report.直肠后囊肿与卵巢囊肿罕见并存:一例报告
Iran Red Crescent Med J. 2016 Jul 24;18(9):e31439. doi: 10.5812/ircmj.31439. eCollection 2016 Sep.
10
[Tailgut cyst. Rare differential diagnosis of retrorectal tumors].[尾肠囊肿。直肠后肿瘤的罕见鉴别诊断]
Chirurg. 2002 Nov;73(11):1123-6. doi: 10.1007/s00104-002-0515-4.

引用本文的文献

1
Retrorectal Mucinous Adenocarcinoma Arising from a Tailgut Cyst: A Case Report.源于尾肠囊肿的直肠后黏液腺癌:一例报告
Case Rep Oncol. 2021 Mar 1;14(1):147-151. doi: 10.1159/000513028. eCollection 2021 Jan-Apr.

本文引用的文献

1
Global cancer statistics 2018: GLOBOCAN estimates of incidence and mortality worldwide for 36 cancers in 185 countries.全球癌症统计数据 2018:GLOBOCAN 对全球 185 个国家/地区 36 种癌症的发病率和死亡率的估计。
CA Cancer J Clin. 2018 Nov;68(6):394-424. doi: 10.3322/caac.21492. Epub 2018 Sep 12.
2
Rectal Cancer, Version 2.2018, NCCN Clinical Practice Guidelines in Oncology.直肠癌临床实践指南(NCCN 肿瘤学版)2018 年第 2 版
J Natl Compr Canc Netw. 2018 Jul;16(7):874-901. doi: 10.6004/jnccn.2018.0061.
3
Rectal cancer: ESMO Clinical Practice Guidelines for diagnosis, treatment and follow-up.
直肠癌:欧洲肿瘤内科学会临床实践指南之诊断、治疗及随访
Ann Oncol. 2017 Jul 1;28(suppl_4):iv22-iv40. doi: 10.1093/annonc/mdx224.
4
Japanese Society for Cancer of the Colon and Rectum (JSCCR) guidelines 2016 for the treatment of colorectal cancer.日本结直肠癌学会(JSCCR)2016年结直肠癌治疗指南。
Int J Clin Oncol. 2018 Feb;23(1):1-34. doi: 10.1007/s10147-017-1101-6. Epub 2017 Mar 27.
5
Retrorectal Tumors: A Comprehensive Literature Review.直肠后肿瘤:全面的文献综述
World J Surg. 2016 Aug;40(8):2001-15. doi: 10.1007/s00268-016-3501-6.
6
Global patterns and trends in colorectal cancer incidence and mortality.全球结直肠癌发病率和死亡率的模式和趋势。
Gut. 2017 Apr;66(4):683-691. doi: 10.1136/gutjnl-2015-310912. Epub 2016 Jan 27.
7
Advances in the care of patients with mucinous colorectal cancer.黏液型结直肠癌患者治疗的进展。
Nat Rev Clin Oncol. 2016 Jun;13(6):361-9. doi: 10.1038/nrclinonc.2015.140. Epub 2015 Sep 1.
8
Squamous cell carcinoma of the sigmoid colon presenting with severe hypercalcemia.乙状结肠癌伴严重高钙血症
Clin Colorectal Cancer. 2014 Dec;13(4):251-4. doi: 10.1016/j.clcc.2014.06.006. Epub 2014 Aug 17.
9
Risk factors associated with rectal neuroendocrine tumors: a cross-sectional study.直肠神经内分泌肿瘤相关危险因素:一项横断面研究。
Cancer Epidemiol Biomarkers Prev. 2014 Jul;23(7):1406-13. doi: 10.1158/1055-9965.EPI-14-0132. Epub 2014 May 9.
10
Retrorectal dermoid cyst: a rare clinical entity.直肠后皮样囊肿:一种罕见的临床实体。
Curr Health Sci J. 2013 Jul;39(3):179-83. Epub 2013 Jul 1.