Suppr超能文献

上颌第二磨牙根管治疗后鼻窦炎患者头晕症状的恢复情况

Recovering of Dizziness of a Patient with Sinusitis after Root Canal Therapy for Upper Second Molar.

作者信息

Amro Ibrahem, Shawar Lyana, Hantash Raed Abu, Abuquba Basem, Amro Akram

机构信息

Lebanon Dental Clinic, State of Palestine.

Al-Quds University, State of Palestine.

出版信息

Case Rep Dent. 2019 Dec 16;2019:8394147. doi: 10.1155/2019/8394147. eCollection 2019.

Abstract

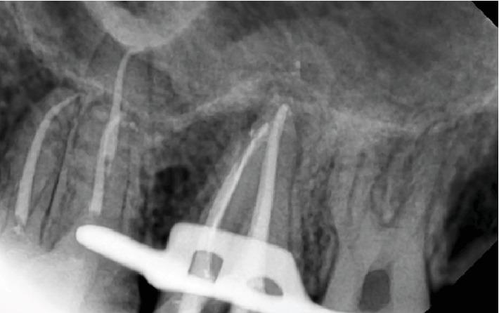
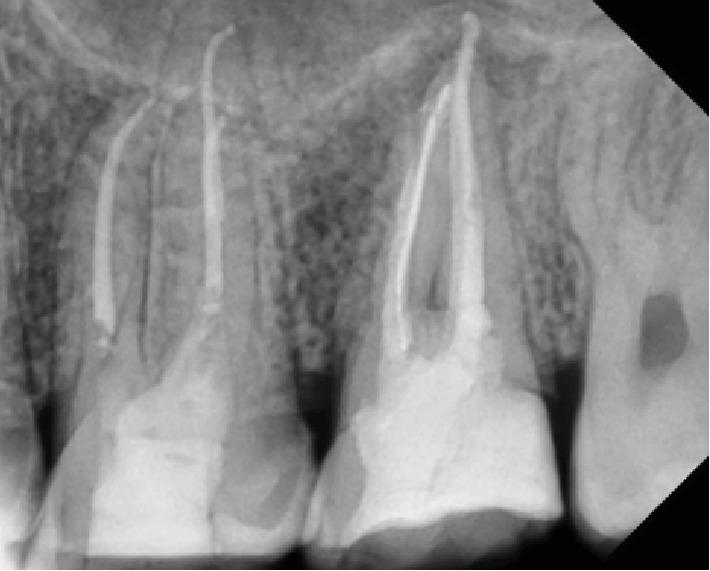
This case report illustrates the recovery of dizziness of a young healthy patient after root canal therapy of upper second molar. The patient developed dizziness and unbalanced walking four months ago. After cardiac, ENT, neurological, physiotherapy and medical investigations, his entire checkup showed no abnormalities. The patient visited a dental clinic for a routine checkup; after dental clinical and radiographical examination, a chronic abscess infection in an upper second molar region close to the sinus was diagnosed. Root canal therapy was performed that resulted in a disappearance of the dizziness and full recovery was achieved. Infected upper teeth with periapical lesion are associated with dizziness as a complication of odontogenic-related sinusitis. Dental and medical cooperation contributes to a better management diagnosis of the dizziness.

摘要

本病例报告阐述了一名年轻健康患者在上颌第二磨牙根管治疗后头晕症状的恢复情况。该患者四个月前出现头晕及行走不稳症状。在进行心脏、耳鼻喉、神经、物理治疗及医学检查后,其全面检查未发现异常。患者前往牙科诊所进行常规检查;经牙科临床及影像学检查,诊断出上颌第二磨牙区域靠近鼻窦处存在慢性脓肿感染。进行根管治疗后,头晕症状消失,患者完全康复。患有根尖周病变的感染上颌牙齿与作为牙源性鼻窦炎并发症的头晕有关。牙科与医学合作有助于更好地诊断和处理头晕症状。

https://cdn.ncbi.nlm.nih.gov/pmc/blobs/8ea0/6942740/3df6eaaddd30/CRID2019-8394147.001.jpg

文献AI研究员

20分钟写一篇综述,助力文献阅读效率提升50倍。

立即体验

用中文搜PubMed

大模型驱动的PubMed中文搜索引擎

马上搜索

文档翻译

学术文献翻译模型,支持多种主流文档格式。

立即体验