Suppr超能文献

舌下囊肿治疗的病例报告。

Case report of the management of the ranula.

作者信息

Choi Moon-Gi

机构信息

Department of Oral and Maxillofacial Surgery, College of Dentistry, Wonkwang University, Iksan, Korea.

出版信息

J Korean Assoc Oral Maxillofac Surg. 2019 Dec;45(6):357-363. doi: 10.5125/jkaoms.2019.45.6.357. Epub 2019 Dec 26.

Abstract

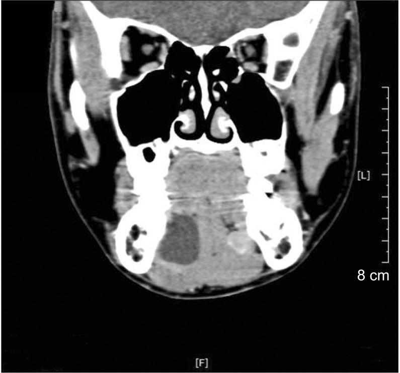
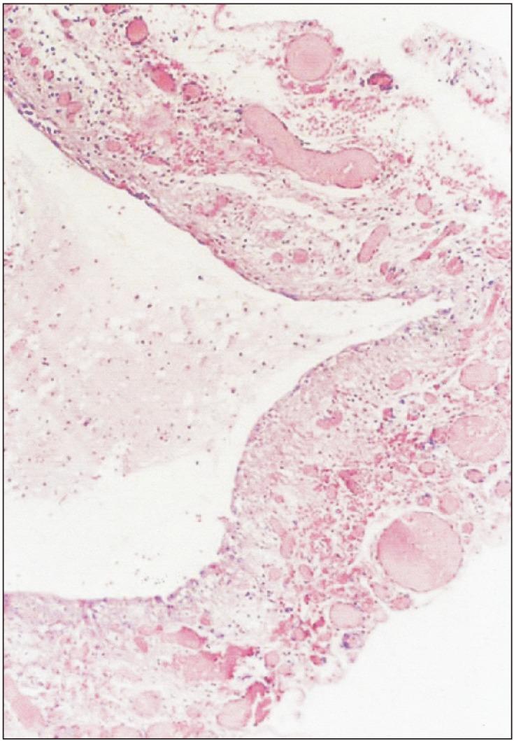
Ranula is a mucocele caused by extravasation of the sublingual gland on the floor of the mouth. The most common presentation is a cystic mass in the floor of the mouth. A portion of the sublingual gland could herniate through the mylohyoid muscle, and its extravasated mucin can spread along this hiatus into submandibular and submental spaces and cause cervical swelling. This phenomenon is called plunging ranula. A variety of treatments for ranula has been suggested and include aspiration of cystic fluid, sclerotherapy, marsupialization, incision and drainage, ranula excision only, and excision of the sublingual gland with or without ranula. Those various treatments have shown diverse results. Most surgeons agree that removal of the sublingual gland is necessary in oral and plunging ranula. Four patients with ranula were investigated retrospectively, and treatment methods based on literature review were attempted.

摘要

舌下囊肿是由舌下腺在口腔底部外渗引起的黏液囊肿。最常见的表现是口腔底部的囊性肿物。舌下腺的一部分可通过下颌舌骨肌疝出,其外渗的黏液可沿此裂隙扩散至颌下间隙和颏下间隙,导致颈部肿胀。这种现象称为舌下囊肿脱垂。已经提出了多种治疗舌下囊肿的方法,包括抽吸囊液、硬化疗法、袋形缝合术、切开引流、仅切除舌下囊肿以及切除舌下腺(伴或不伴舌下囊肿)。这些不同的治疗方法显示出了不同的结果。大多数外科医生一致认为,对于口腔内和脱垂性舌下囊肿,切除舌下腺是必要的。对4例舌下囊肿患者进行了回顾性研究,并尝试了基于文献综述的治疗方法。

https://cdn.ncbi.nlm.nih.gov/pmc/blobs/a6dd/6955425/9930774e84d8/jkaoms-45-357-g001.jpg

文献AI研究员

20分钟写一篇综述,助力文献阅读效率提升50倍。

立即体验

用中文搜PubMed

大模型驱动的PubMed中文搜索引擎

马上搜索

文档翻译

学术文献翻译模型,支持多种主流文档格式。

立即体验