Suppr超能文献

鉴定和分析疟疾候选疫苗 SLTRiP 中的保护性 CD8 T-表位。

Identification and characterization of protective CD8 T-epitopes in a malaria vaccine candidate SLTRiP.

机构信息

Infectious Diseases Laboratory, National Institute of Immunology, New Delhi, India.

出版信息

Immun Inflamm Dis. 2020 Mar;8(1):50-61. doi: 10.1002/iid3.283. Epub 2020 Jan 22.

Abstract

INTRODUCTION

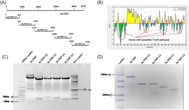
Efforts are required at developing an effective vaccine that can inhibit malaria prevalence and transmission. Identifying the critical immunogenic antigens and understanding their interactions with host proteins forms a major focus of subunit vaccine development. Previously, our laboratory showed that SLTRiP conferred protection to the liver stage of Plasmodium growth in rodents. In the follow-up of earlier research, we demonstrate that SLTRiP-mediated protection is majorly concentrated in specific regions of protein.

METHOD

To identify particular protective regions of protein, we synthesized multiple nonoverlapping fragments from SLTRiP protein. From this, we designed a panel of 8-20mer synthetic peptides, which were predicted using T-epitope-based prediction algorithm. We utilized the IFN-γ enzyme-linked immunosorbent spot assay to identify immunodominant peptides. The latter were used to immunize mice, and these mice were challenged to assess protection.

RESULTS

The protective polypeptide fragment SLTRiP C3 and SLTRiP C4 were identified, by expressing and testing multiple fragments of PbSLTRiP protein. The immune responses generated by these fragments were compared to identify the immunodominant fragment. The T-epitopes were predicted from SLTRiP protein using computer-based algorithms. The in vitro immune responses generated by these peptides were compared with each other to identify the immunodominant T-epitope. Immunization using these peptides showed significant reduction in parasite numbers during liver stage.

CONCLUSION

Our findings show that the protective efficacy shown by SLTRiP is localized in particular protein fragments. The peptides designed from such regions showed protective efficacy equivalent to whole protein. The sequence conservation analysis with human Plasmodium species also showed that these peptides were conserved. In conclusion, these peptides or their equivalent from other Plasmodium species could impart protection against malaria in their respective hosts too. Our studies provide a basis for the inclusion of these peptides in clinical vaccine constructs against malaria.

摘要

简介

需要努力开发一种有效的疫苗,以抑制疟疾的流行和传播。鉴定关键的免疫原性抗原并了解它们与宿主蛋白的相互作用是亚单位疫苗开发的主要焦点。以前,我们的实验室表明 SLTRiP 可在啮齿动物中保护肝脏阶段的疟原虫生长。在早期研究的后续研究中,我们证明 SLTRiP 介导的保护主要集中在蛋白质的特定区域。

方法

为了鉴定蛋白质的特定保护区域,我们从 SLTRiP 蛋白合成了多个非重叠片段。由此,我们设计了一组 8-20 个氨基酸的合成肽,这些肽是使用基于 T 表位的预测算法预测的。我们利用 IFN-γ 酶联免疫斑点分析来鉴定免疫显性肽。使用这些肽来免疫小鼠,并对这些小鼠进行挑战以评估保护作用。

结果

通过表达和测试 PbSLTRiP 蛋白的多个片段,鉴定出保护性多肽片段 SLTRiP C3 和 SLTRiP C4。通过比较这些片段产生的免疫反应来确定免疫显性片段。使用基于计算机的算法从 SLTRiP 蛋白中预测 T 表位。比较这些肽在体外产生的免疫反应,以确定免疫显性 T 表位。使用这些肽进行免疫接种可显著减少肝期寄生虫数量。

结论

我们的研究结果表明,SLTRiP 显示的保护效力局限于特定的蛋白质片段。从这些区域设计的肽显示出与整个蛋白质相当的保护效力。与人类疟原虫物种的序列保守性分析也表明这些肽是保守的。总之,这些肽或其来自其他疟原虫物种的等效肽可以在各自的宿主中提供对疟疾的保护。我们的研究为将这些肽纳入疟疾临床疫苗构建体提供了依据。

https://cdn.ncbi.nlm.nih.gov/pmc/blobs/ab3b/7016849/c20ca9e53894/IID3-8-50-g001.jpg

文献AI研究员

20分钟写一篇综述,助力文献阅读效率提升50倍。

立即体验

用中文搜PubMed

大模型驱动的PubMed中文搜索引擎

马上搜索

文档翻译

学术文献翻译模型,支持多种主流文档格式。

立即体验