Suppr超能文献

伴有苗勒管异常的卵巢无性细胞瘤:一例报告

Ovarian dysgerminoma with Müllerian anomaly: a case report.

作者信息

Kim Ha Na, Byun Jung Mi, Park Jin Ok, Yoon Hye Kyoung, Kim Da Hyun, Jeong Dae Hoon, Kim Young Nam, Lee Kyung Bok, Sung Moon Su

机构信息

Department of Obstetrics and Gynecology, Busan Paik Hospital, Inje University College of Medicine, Busan, Korea.

Department of Pathology, Busan Paik Hospital, Inje University College of Medicine, Busan, Korea.

出版信息

Obstet Gynecol Sci. 2020 Jan;63(1):98-101. doi: 10.5468/ogs.2020.63.1.98. Epub 2019 Dec 12.

Abstract

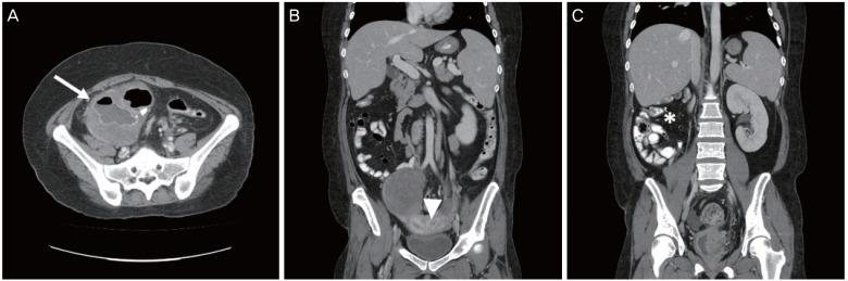
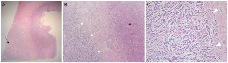
Müllerian anomalies are rare deformities in women, and only a few cases concerning gynecologic malignancies arising in patients with congenital uterine malformations have been reported. Herein, we present the case of a 34-year-old woman with dysgerminoma with a Müllerian anomaly (uterus didelphys). She had secondary amenorrhea, and an ovarian mass and uterus didelphys were discovered during examination. After right salpingo-oophorectomy, the tumor was confirmed as dysgerminoma, and a chromosome study revealed a normal female karyotype (46, XX). The patient completely responded to 6 cycles of chemotherapy. To our knowledge, this is the first reported case of dysgerminoma with uterus didelphys. Although gynecologic malignancies in patients with Müllerian anomalies are very rare, clinicians should be aware of the coexistence of gynecologic malignancies and uterine malformations.

摘要

苗勒管异常在女性中较为罕见,仅有少数关于先天性子宫畸形患者发生妇科恶性肿瘤的病例报道。在此,我们报告一例34岁患有无性细胞瘤合并苗勒管异常(双子宫)的女性病例。她出现继发性闭经,检查时发现卵巢肿块和双子宫。右侧输卵管卵巢切除术后,肿瘤被确诊为无性细胞瘤,染色体研究显示为正常女性核型(46, XX)。该患者对6个周期的化疗完全缓解。据我们所知,这是首例双子宫合并无性细胞瘤的报道病例。尽管苗勒管异常患者发生妇科恶性肿瘤非常罕见,但临床医生应意识到妇科恶性肿瘤与子宫畸形可能并存。

https://cdn.ncbi.nlm.nih.gov/pmc/blobs/f2a6/6962580/e9c32f318edd/ogs-63-98-g001.jpg

文献AI研究员

20分钟写一篇综述,助力文献阅读效率提升50倍。

立即体验

用中文搜PubMed

大模型驱动的PubMed中文搜索引擎

马上搜索

文档翻译

学术文献翻译模型,支持多种主流文档格式。

立即体验