Department of Gastroenterology, Shanghai Tenth People's Hospital, Tongji University School of Medicine, NO. 301, Middle Yanchang Road, Jing'an District, Shanghai, 200072, China.
Department of Gastroenterology, Putuo People's Hospital, Tongji University School of Medicine, Shanghai, 200060, China.
J Exp Clin Cancer Res. 2020 Jan 30;39(1):24. doi: 10.1186/s13046-020-1528-x.
Hepatocellular carcinoma (HCC) is a common primary malignant tumor which usually progresses to an advanced stage because of late diagnosis. Sorafenib (Sora) is a first line medicine for advanced stage HCC; however, it has been faced with enormous resistance. Simvastatin (Sim) is a cholesterol-lowering drug and has been reported to inhibit tumor growth. The present study aims to determine whether Sora and Sim co-treatment can improve Sora resistance in HCC.
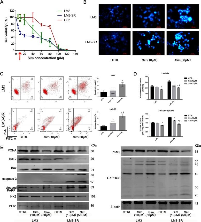
The HCC cell line LM3 and an established Sora-resistant LM3 cell line (LM3-SR) were used to study the relationship between Sora resistance and aerobic glycolysis. Cell proliferation, apoptosis and glycolysis levels were analyzed by western blotting, flow cytometry analysis and biomedical tests. A xenograft model was also used to examine the effect of Sim in vivo. Detailed mechanistic studies were also undertaken by the use of activators and inhibitors, and lentivirus transfections.
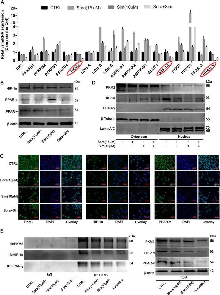
Our results demonstrated that the resistance to Sora was associated with enhanced aerobic glycolysis levels. Furthermore, LM3-SR cells were more sensitive to Sim than LM3 cells, suggesting that combined treatment with both Sora and Sim could enhance the sensitivity of LM3-SR cells to Sora. This finding may be due to the suppression of the HIF-1α/PPAR-γ/PKM2 axis.
Simvastatin can inhibit the HIF-1α/PPAR-γ/PKM2 axis, by suppressing PKM2-mediated glycolysis, resulting in decreased proliferation and increased apoptosis in HCC cells, and re-sensitizing HCC cells to Sora.
肝细胞癌(HCC)是一种常见的原发性恶性肿瘤,由于诊断较晚,通常进展为晚期。索拉非尼(Sora)是晚期 HCC 的一线药物;然而,它已经面临着巨大的耐药性。辛伐他汀(Sim)是一种降胆固醇药物,据报道可抑制肿瘤生长。本研究旨在确定 Sora 和 Sim 联合治疗是否能改善 HCC 中的 Sora 耐药性。
使用 HCC 细胞系 LM3 和已建立的 Sora 耐药 LM3 细胞系(LM3-SR)研究 Sora 耐药性与有氧糖酵解之间的关系。通过 Western blot、流式细胞术分析和生物医学测试分析细胞增殖、凋亡和糖酵解水平。还使用异种移植模型在体内研究了 Sim 的作用。通过使用激活剂和抑制剂以及慢病毒转染进行了详细的机制研究。
我们的结果表明,Sora 耐药性与增强的有氧糖酵解水平有关。此外,LM3-SR 细胞比 LM3 细胞对 Sim 更敏感,表明 Sora 和 Sim 联合治疗可增强 LM3-SR 细胞对 Sora 的敏感性。这一发现可能是由于抑制了 HIF-1α/PPAR-γ/PKM2 轴。
辛伐他汀可通过抑制 HIF-1α/PPAR-γ/PKM2 轴,抑制 PKM2 介导的糖酵解,从而降低 HCC 细胞的增殖并增加其凋亡,使 HCC 细胞重新对 Sora 敏感。