Rai Shalu, Misra Deepankar, Prabhat Mukul, Jain Ankit, Jain Prerna
Department of Oral Medicine and Radiology, Institute of Dental Studies and Technologies, Modinagar, Uttar Pradesh, India.
Contemp Clin Dent. 2019 Jan-Mar;10(1):147-153. doi: 10.4103/ccd.ccd_341_18.
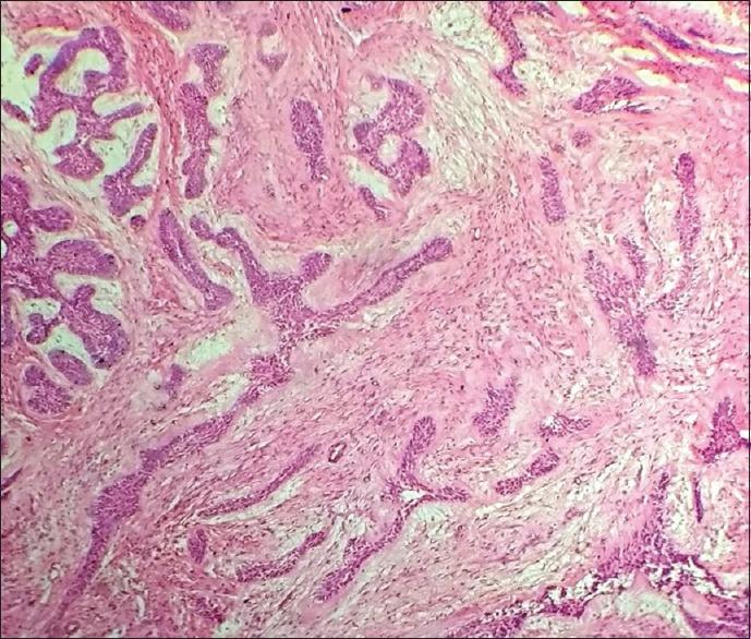
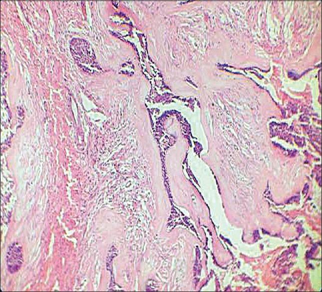
Hybrid ameloblastoma has a variable clinical, radiological, and histopathological presentation. They contain two or more different histologic types and their biologic comportment is still arguable. We herein present a case of a hybrid variant of desmoplastic ameloblastoma which is the first of its kind to have ever been reported due to its unusual location in the maxillary anterior region, along with systematic review of clinicopathologic features of reported cases immunohistochemical markers may act as an adjunct in the accurate diagnosis of these lesions.
混合性成釉细胞瘤具有多样的临床、放射学和组织病理学表现。它们包含两种或更多不同的组织学类型,其生物学行为仍存在争议。我们在此报告一例促结缔组织增生性成釉细胞瘤的混合变体病例,因其在上颌前部区域的不寻常位置,这是该类型首次被报道,同时还对已报道病例的临床病理特征进行了系统回顾,免疫组化标记物可作为这些病变准确诊断的辅助手段。