• 文献检索
  • 文档翻译
  • 深度研究
  • 学术资讯
  • Suppr Zotero 插件Zotero 插件
  • 邀请有礼
  • 套餐&价格
  • 历史记录
应用&插件
Suppr Zotero 插件Zotero 插件浏览器插件Mac 客户端Windows 客户端微信小程序
定价
高级版会员购买积分包购买API积分包
服务
文献检索文档翻译深度研究API 文档MCP 服务
关于我们
关于 Suppr公司介绍联系我们用户协议隐私条款
关注我们

Suppr 超能文献

核心技术专利:CN118964589B侵权必究
粤ICP备2023148730 号-1Suppr @ 2026

文献检索

告别复杂PubMed语法,用中文像聊天一样搜索,搜遍4000万医学文献。AI智能推荐,让科研检索更轻松。

立即免费搜索

文件翻译

保留排版,准确专业,支持PDF/Word/PPT等文件格式,支持 12+语言互译。

免费翻译文档

深度研究

AI帮你快速写综述,25分钟生成高质量综述,智能提取关键信息,辅助科研写作。

立即免费体验

吡咯里西啶生物碱诱导的肝窦阻塞综合征的临床特征、CT表现及病理结果:一项回顾性研究

Clinical characteristics, CT signs, and pathological findings of Pyrrolizidine alkaloids-induced sinusoidal obstructive syndrome: a retrospective study.

作者信息

Liu Fang, Rong Xinxin, Guo Hui, Xu Dong, Liu Chang, Meng Lingling, Yang Xiaoqian, Guo Tingting, Kan Xuefeng, Song Yuhu

机构信息

Institute of Hematology, Union Hospital, Tongji Medical College, Huazhong University of Science and Technology, Wuhan, 430022, China.

Division of Gastroenterology, Union Hospital, Tongji Medical College, Huazhong University of Science and Technology, Wuhan, 430022, China.

出版信息

BMC Gastroenterol. 2020 Feb 4;20(1):30. doi: 10.1186/s12876-020-1180-0.

DOI:10.1186/s12876-020-1180-0
PMID:32019495
原文链接:https://pmc.ncbi.nlm.nih.gov/articles/PMC7001201/
Abstract

BACKGROUND

One major etiology of hepatic sinusoidal obstruction syndrome (HSOS) in China is the intake of pyrrolizidine alkaloids (PAs). Since PAs-induced HSOS is a rare disease that has not been clearly characterized until now, the aim of this study was to investigate clinical characteristics, CT features, and pathological findings of PA-induced HSOS.

METHODS

This retrospective cohort study included 116 patients with PAs-induced HSOS and 68 patients with Budd-Chiari syndrome from Jan 2006 to Sep 2016. We collected medical records of the patients, and reviewed image features of CT, and analyzed pathological findings.

RESULTS

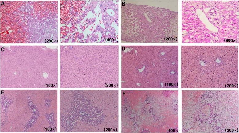
Common clinical manifestations of PAs-induced HSOS were abdominal distention (98.26%), ascites (100%), jaundice (52.94%), abdominal pain (36.36%). Abnormal liver function was observed in most of PAs-induced HSOS. On CT scan, common findings included: ascites, hepatomegaly, the thickening of gallbladder wall, pleural effusion, patchy liver enhancement, and heterogeneous hypoattenuation. Most of the patients had a low ascitic total protein (< 25 g/L) and a high SAAG (≥ 11.0 g/L). In acute stage, pathologic features were massive sinusoidal dilatation, sinusoidal congestion, the extravasation of erythrocytes, hepatocellular necrosis, the accumulation of macrophages, the deposition of hemosiderin. In subacute stage, complete loss of pericentral hepatocytes, sinusoidal dilatation, the deposition of pigment granules were observed.

CONCLUSIONS

The PAs-induced HSOS patients displayed distinct clinical characteristics, imaging features, and pathological findings, which provided some evidences for the diagnosis of PAs-induced HSOS.

TRIAL REGISTRATION

ChiCTR-DRD-17010709.

摘要

背景

在中国,肝窦阻塞综合征(HSOS)的一个主要病因是摄入吡咯里西啶生物碱(PAs)。由于PAs诱导的HSOS是一种罕见疾病,至今尚未得到明确的特征描述,本研究的目的是调查PAs诱导的HSOS的临床特征、CT特征和病理表现。

方法

这项回顾性队列研究纳入了2006年1月至2016年9月期间116例PAs诱导的HSOS患者和68例布加综合征患者。我们收集了患者的病历,回顾了CT图像特征,并分析了病理表现。

结果

PAs诱导的HSOS的常见临床表现为腹胀(98.26%)、腹水(100%)、黄疸(52.94%)、腹痛(36.36%)。大多数PAs诱导的HSOS患者出现肝功能异常。CT扫描常见表现包括:腹水、肝脏肿大、胆囊壁增厚、胸腔积液、肝脏斑片状强化和不均匀低密度。大多数患者腹水总蛋白低(<25 g/L)且血清腹水白蛋白梯度高(≥11.0 g/L)。急性期病理特征为大量肝窦扩张、肝窦充血、红细胞外渗、肝细胞坏死、巨噬细胞积聚、含铁血黄素沉积。亚急性期可见中央周围肝细胞完全丧失、肝窦扩张、色素颗粒沉积。

结论

PAs诱导的HSOS患者表现出独特的临床特征、影像学特征和病理表现,为PAs诱导的HSOS的诊断提供了一些依据。

试验注册号

ChiCTR-DRD-17010709。

https://cdn.ncbi.nlm.nih.gov/pmc/blobs/7655/7001201/da1d731ed4e4/12876_2020_1180_Fig3_HTML.jpg
https://cdn.ncbi.nlm.nih.gov/pmc/blobs/7655/7001201/292f0fd9d5fb/12876_2020_1180_Fig1_HTML.jpg
https://cdn.ncbi.nlm.nih.gov/pmc/blobs/7655/7001201/67d77d0cedd6/12876_2020_1180_Fig2_HTML.jpg
https://cdn.ncbi.nlm.nih.gov/pmc/blobs/7655/7001201/da1d731ed4e4/12876_2020_1180_Fig3_HTML.jpg
https://cdn.ncbi.nlm.nih.gov/pmc/blobs/7655/7001201/292f0fd9d5fb/12876_2020_1180_Fig1_HTML.jpg
https://cdn.ncbi.nlm.nih.gov/pmc/blobs/7655/7001201/67d77d0cedd6/12876_2020_1180_Fig2_HTML.jpg
https://cdn.ncbi.nlm.nih.gov/pmc/blobs/7655/7001201/da1d731ed4e4/12876_2020_1180_Fig3_HTML.jpg

相似文献

1
Clinical characteristics, CT signs, and pathological findings of Pyrrolizidine alkaloids-induced sinusoidal obstructive syndrome: a retrospective study.吡咯里西啶生物碱诱导的肝窦阻塞综合征的临床特征、CT表现及病理结果:一项回顾性研究
BMC Gastroenterol. 2020 Feb 4;20(1):30. doi: 10.1186/s12876-020-1180-0.
2
Diagnostic performance of Contrast-enhanced CT in Pyrrolizidine Alkaloids-induced Hepatic Sinusoidal Obstructive Syndrome.吡咯里西啶生物碱诱导的肝窦阻塞综合征的 CT 增强扫描诊断性能。
Sci Rep. 2016 Nov 29;6:37998. doi: 10.1038/srep37998.
3
Pyrrolizidine alkaloids-induced hepatic sinusoidal obstruction syndrome: Pathogenesis, clinical manifestations, diagnosis, treatment, and outcomes.吡咯里西啶生物碱诱导的肝窦阻塞综合征:发病机制、临床表现、诊断、治疗和结局。
World J Gastroenterol. 2019 Jul 28;25(28):3753-3763. doi: 10.3748/wjg.v25.i28.3753.
4
Definitive diagnosis of hepatic sinusoidal obstruction syndrome induced by pyrrolizidine alkaloids.吡咯里西啶生物碱所致肝窦阻塞综合征的明确诊断。
J Dig Dis. 2012 Jan;13(1):33-9. doi: 10.1111/j.1751-2980.2011.00552.x.
5
Gadoxetic Acid-Enhanced Hepatobiliary-Phase Magnetic Resonance Imaging for Pyrrolizidine Alkaloid-Induced Hepatic Sinusoidal Obstruction Syndrome and Association with Liver Function.吡咯里西啶生物碱诱导的肝窦阻塞综合征的钆塞酸增强肝胆期磁共振成像及与肝功能的关系。
Sci Rep. 2019 Feb 4;9(1):1231. doi: 10.1038/s41598-018-37775-1.
6
Expert consensus on the clinical management of pyrrolizidine alkaloid-induced hepatic sinusoidal obstruction syndrome.吡咯里西啶生物碱诱导的肝窦阻塞综合征临床管理专家共识。
J Gastroenterol Hepatol. 2019 Apr;34(4):634-642. doi: 10.1111/jgh.14612. Epub 2019 Feb 21.
7
Tusanqi and hepatic sinusoidal obstruction syndrome.土三七和肝窦阻塞综合征。
J Dig Dis. 2014 Mar;15(3):105-7. doi: 10.1111/1751-2980.12112.
8
Hepatic sinusoidal obstruction syndrome caused by herbal medicine: CT and MRI features.草药相关性肝窦阻塞综合征:CT 和 MRI 特征。
Korean J Radiol. 2014 Mar-Apr;15(2):218-25. doi: 10.3348/kjr.2014.15.2.218. Epub 2014 Mar 7.
9
[Clinicopathological analysis of 16 cases of pyrrolizidine alkaloids-associated hepatic sinusoidal obstruction syndrome].16例吡咯里西啶生物碱相关性肝窦阻塞综合征的临床病理分析
Zhonghua Gan Zang Bing Za Zhi. 2020 Apr 20;28(4):332-337. doi: 10.3760/cma.j.cn501113-20190724-00269.
10
Blood pyrrole-protein adducts as a diagnostic and prognostic index in pyrrolizidine alkaloid-hepatic sinusoidal obstruction syndrome.血中吡咯-蛋白质加合物作为吡咯里西啶生物碱致肝窦阻塞综合征的诊断和预后指标
Drug Des Devel Ther. 2015 Aug 25;9:4861-8. doi: 10.2147/DDDT.S87858. eCollection 2015.

引用本文的文献

1
Platelet aggregation elicits FasL expression and hepatocyte apoptosis in sinusoidal obstruction syndrome.血小板聚集引发肝窦阻塞综合征中的FasL表达和肝细胞凋亡。
Sci Rep. 2025 May 29;15(1):18859. doi: 10.1038/s41598-025-03839-2.
2
Radical total gastrectomy for gastric cancer complicated by hepatic sinusoidal obstruction syndrome: a case report.胃癌合并肝窦阻塞综合征的根治性全胃切除术:1例病例报告
Front Med (Lausanne). 2025 May 9;12:1544400. doi: 10.3389/fmed.2025.1544400. eCollection 2025.
3
Drug-induced hepatic sinusoidal obstruction syndrome: current advances and future perspectives.

本文引用的文献

1
Pyrrolizidine alkaloids-induced hepatic sinusoidal obstruction syndrome: Pathogenesis, clinical manifestations, diagnosis, treatment, and outcomes.吡咯里西啶生物碱诱导的肝窦阻塞综合征:发病机制、临床表现、诊断、治疗和结局。
World J Gastroenterol. 2019 Jul 28;25(28):3753-3763. doi: 10.3748/wjg.v25.i28.3753.
2
Gadoxetic Acid-Enhanced Hepatobiliary-Phase Magnetic Resonance Imaging for Pyrrolizidine Alkaloid-Induced Hepatic Sinusoidal Obstruction Syndrome and Association with Liver Function.吡咯里西啶生物碱诱导的肝窦阻塞综合征的钆塞酸增强肝胆期磁共振成像及与肝功能的关系。
Sci Rep. 2019 Feb 4;9(1):1231. doi: 10.1038/s41598-018-37775-1.
3
药物性肝窦阻塞综合征:当前进展与未来展望
Arch Toxicol. 2025 Mar;99(3):835-850. doi: 10.1007/s00204-024-03950-9. Epub 2024 Dec 24.
4
Clinicopathological characteristics and diagnosis of hepatic sinusoidal obstruction syndrome caused by Tusanqi - Case report and literature review.土三七致肝窦阻塞综合征的临床病理特征及诊断——病例报告并文献复习
Open Med (Wars). 2023 Jun 12;18(1):20230737. doi: 10.1515/med-2023-0737. eCollection 2023.
5
Hepatic Venous Occlusion Type of Budd-Chiari Syndrome versus Pyrrolizidine Alkaloid-Induced Hepatic Sinusoidal Obstructive Syndrome: A Multi-Center Retrospective Study.布加综合征的肝静脉闭塞型与吡咯烷生物碱诱导的肝窦阻塞综合征:一项多中心回顾性研究
J Pers Med. 2023 Mar 30;13(4):603. doi: 10.3390/jpm13040603.
6
Hepatic sinusoidal obstruction syndrome induced by tacrolimus following liver transplantation: Three case reports.肝移植后他克莫司诱发的肝窦阻塞综合征:三例报告
World J Clin Cases. 2022 Dec 26;10(36):13408-13417. doi: 10.12998/wjcc.v10.i36.13408.
7
Difference between type 2 gastroesophageal varices and isolated fundic varices in clinical profiles and portosystemic collaterals.2型胃食管静脉曲张与孤立性胃底静脉曲张在临床特征和门体侧支循环方面的差异。
World J Clin Cases. 2022 Jun 16;10(17):5620-5633. doi: 10.12998/wjcc.v10.i17.5620.
8
Development of a Drum Tower Severity Scoring (DTSS) system for pyrrolizidine alkaloid-induced hepatic sinusoidal obstruction syndrome.建立吡咯里西啶生物碱肝窦阻塞综合征鼓室严重程度评分(DTSS)系统。
Hepatol Int. 2022 Jun;16(3):669-679. doi: 10.1007/s12072-021-10293-5. Epub 2022 Jan 12.
9
Metabolic Toxification of 1,2-Unsaturated Pyrrolizidine Alkaloids Causes Human Hepatic Sinusoidal Obstruction Syndrome: The Update.1,2-不饱和吡咯里西啶生物碱的代谢解毒导致人类肝窦阻塞综合征:最新进展。
Int J Mol Sci. 2021 Sep 27;22(19):10419. doi: 10.3390/ijms221910419.
10
Prognostic factors for pyrrolizidine alkaloid-induced hepatic sinusoidal obstruction syndrome: a multicenter study in China.吡咯里西啶生物碱诱导的肝窦阻塞综合征的预后因素:一项中国的多中心研究。
Ann Transl Med. 2021 Jan;9(1):11. doi: 10.21037/atm-20-731.
Expert consensus on the clinical management of pyrrolizidine alkaloid-induced hepatic sinusoidal obstruction syndrome.
吡咯里西啶生物碱诱导的肝窦阻塞综合征临床管理专家共识。
J Gastroenterol Hepatol. 2019 Apr;34(4):634-642. doi: 10.1111/jgh.14612. Epub 2019 Feb 21.
4
Ascitic cholesterol is superior to serum-ascites albumin gradient in the detection of non-portal hypertensive ascites and the diagnosis of mixed ascites.腹水胆固醇检测优于血清-腹水白蛋白梯度,可用于诊断非门静脉高压性腹水和混合性腹水。
Aliment Pharmacol Ther. 2019 Jan;49(1):91-98. doi: 10.1111/apt.15042. Epub 2018 Nov 15.
5
Oxaliplatin-induced hepatic sinusoidal obstruction syndrome in a patient with gastric cancer: A case report.奥沙利铂诱发胃癌患者肝窦阻塞综合征:一例报告
Mol Clin Oncol. 2018 Mar;8(3):453-456. doi: 10.3892/mco.2017.1540. Epub 2017 Dec 18.
6
First evidence of pyrrolizidine alkaloid N-oxide-induced hepatic sinusoidal obstruction syndrome in humans.首例吡咯里西啶生物碱 N-氧化物诱导的肝窦阻塞综合征的人类证据。
Arch Toxicol. 2017 Dec;91(12):3913-3925. doi: 10.1007/s00204-017-2013-y. Epub 2017 Jun 15.
7
Inhibition of Drp1 protects against senecionine-induced mitochondria-mediated apoptosis in primary hepatocytes and in mice.抑制动力相关蛋白1(Drp1)可保护原代肝细胞和小鼠免受千里光宁碱诱导的线粒体介导的细胞凋亡。
Redox Biol. 2017 Aug;12:264-273. doi: 10.1016/j.redox.2017.02.020. Epub 2017 Mar 2.
8
Magnetic Resonance Imaging Findings in Patients With Pyrrolizidine Alkaloid-Induced Hepatic Sinusoidal Obstruction Syndrome.吡咯里西啶生物碱所致肝窦阻塞综合征患者的磁共振成像表现
Clin Gastroenterol Hepatol. 2017 Jun;15(6):955-957. doi: 10.1016/j.cgh.2017.01.009. Epub 2017 Jan 23.
9
Diagnostic performance of Contrast-enhanced CT in Pyrrolizidine Alkaloids-induced Hepatic Sinusoidal Obstructive Syndrome.吡咯里西啶生物碱诱导的肝窦阻塞综合征的 CT 增强扫描诊断性能。
Sci Rep. 2016 Nov 29;6:37998. doi: 10.1038/srep37998.
10
Revised diagnosis and severity criteria for sinusoidal obstruction syndrome/veno-occlusive disease in adult patients: a new classification from the European Society for Blood and Marrow Transplantation.成人患者窦性阻塞综合征/静脉闭塞性疾病的修订诊断和严重程度标准:欧洲血液和骨髓移植学会的新分类
Bone Marrow Transplant. 2016 Jul;51(7):906-12. doi: 10.1038/bmt.2016.130. Epub 2016 May 16.