Suppr超能文献

Necrostatin-1 减轻博来霉素诱导的肺纤维化和细胞外基质表达在肺间质纤维化。

Necrostatin-1 Alleviates Bleomycin-Induced Pulmonary Fibrosis and Extracellular Matrix Expression in Interstitial Pulmonary Fibrosis.

机构信息

Department of Respiration, The People's Hospital of Kaizhou District, Chongqing, China (mainland).

Department of Respiratory and Critical Care Medicine, The Affiliated Hospital of Qingdao University, Qingdao, Shandong, China (mainland).

出版信息

Med Sci Monit. 2020 Feb 5;26:e919739. doi: 10.12659/MSM.919739.

Abstract

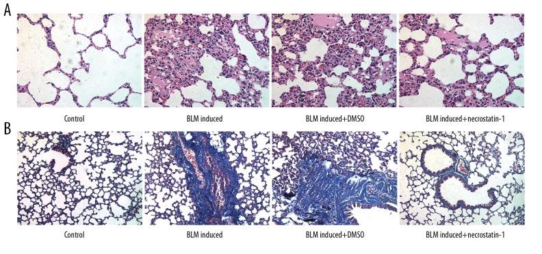
BACKGROUND Interstitial pulmonary fibrosis (IPF) is harmful for patients' life and health. The effective treatment of IPF is lacking because of unclear pathogenesis. Necrostatin-1 has protective effects on lung injury and can suppress the fibrosis development. I this study we investigated whether necrostatin-1 could decrease the proliferation of pulmonary fibroblasts, pulmonary fibrosis and expression of extracellular matrix (ECM) in IPF. MATERIAL AND METHODS The IPF mice model was conducted by intra-tracheal injection of bleomycin (BLM) (2 mg/kg) for C57BL/6N mice. Necrostatin-1 treatment was performed with 1 mg/kg necrostatin-1 by an intravenous injection for C57BL/6N mice. Lung tissue structures and collagen deposition were observed by hematoxylin and eosin staining and Masson staining. IPF in vitro model was constructed by MRC-5 cells induced by transforming growth factor beta 1 (TGF-ß1). And, 20 μM necrostatin-1 was used to treat the TGF-ß1 induced MRC-5 cells. Cell Counting Kit-8 (CCK-8) assay detected the viability of MRC-5 cells. The expression of receptor-interacting protein kinase-1 and -3 (RIPK1 and RIPK3), alpha smooth muscle actin (alpha-SMA), collagen IV, collagen I, fibronectin (FN), and transforming growth factor-ß (TGF-ß) in lung tissues and MRC-5 cells was measured by western blot analysis. The alpha-SMA expression in lung tissues was also analyzed by immunohistochemistry. RESULTS The expression of RIPK1 and RIPK3 in lung tissues of BLM induced mice was increased. The degree of pulmonary fibrosis and expression of alpha-SMA, collagen IV, collagen I, FN, and TGF-ß in lung tissues of BLM induced mice was enhanced. The proliferation of MRC-5 cells was increased when MRC-5 cells were induced by TGF-ß. The expression of RIPK1, RIPK3, alpha-SMA, collagen IV, collagen I, and FN was increased in TGF-ß induced MRC-5 cells. And, necrostatin-1 could effectively reverse the changes of pulmonary fibrosis, RIPK1, RIPK3, and ECM in vivo and in vitro experiments. CONCLUSIONS Necrostatin-1 attenuated pulmonary fibrosis in lung tissues of BLM induced mice and inhibited the fibroblast proliferation. And, necrostatin-1 also decreased the expression of RIPK1, RIPK3, and ECM in lung tissues of BLM induced mice and TGF-ß induced fibroblasts. Necrostatin-1 could be a new effective drug for the treatment of IPF.

摘要

背景

特发性肺纤维化(IPF)对患者的生命和健康有害。由于发病机制尚不清楚,有效的 IPF 治疗方法仍然缺乏。坏死诱导因子-1(Necrostatin-1)对肺损伤具有保护作用,并能抑制纤维化的发展。在这项研究中,我们研究了 Necrostatin-1 是否可以减少 IPF 中的肺成纤维细胞增殖、肺纤维化和细胞外基质(ECM)的表达。

材料和方法

通过气管内注射博来霉素(BLM)(2mg/kg)构建 C57BL/6N 小鼠的 IPF 模型。通过静脉注射 1mg/kg Necrostatin-1 对 C57BL/6N 小鼠进行 Necrostatin-1 治疗。通过苏木精和伊红染色和 Masson 染色观察肺组织结构和胶原沉积。通过转化生长因子β 1(TGF-ß1)诱导 MRC-5 细胞构建 IPF 体外模型。并使用 20μM Necrostatin-1 处理 TGF-ß1 诱导的 MRC-5 细胞。细胞计数试剂盒-8(CCK-8)检测 MRC-5 细胞的活力。通过蛋白质印迹分析检测肺组织和 MRC-5 细胞中受体相互作用蛋白激酶 1 和 3(RIPK1 和 RIPK3)、α平滑肌肌动蛋白(α-SMA)、IV 型胶原、I 型胶原、纤维连接蛋白(FN)和转化生长因子-β(TGF-β)的表达。通过免疫组织化学分析肺组织中的α-SMA 表达。

结果

BLM 诱导的小鼠肺组织中 RIPK1 和 RIPK3 的表达增加。BLM 诱导的小鼠肺纤维化程度以及肺组织中α-SMA、IV 型胶原、I 型胶原、FN 和 TGF-β的表达增强。当 MRC-5 细胞被 TGF-β诱导时,MRC-5 细胞的增殖增加。TGF-β诱导的 MRC-5 细胞中 RIPK1、RIPK3、α-SMA、IV 型胶原、I 型胶原和 FN 的表达增加。Necrostatin-1 可有效逆转体内和体外实验中 BLM 诱导的肺纤维化、RIPK1、RIPK3 和 ECM 的变化。

结论

Necrostatin-1 减轻 BLM 诱导的小鼠肺组织中的肺纤维化,抑制成纤维细胞增殖。此外,Necrostatin-1 还降低了 BLM 诱导的小鼠肺组织和 TGF-β诱导的成纤维细胞中 RIPK1、RIPK3 和 ECM 的表达。Necrostatin-1 可能成为治疗 IPF 的一种新的有效药物。

https://cdn.ncbi.nlm.nih.gov/pmc/blobs/264d/7020761/66d20731052d/medscimonit-26-e919739-g001.jpg

文献检索

告别复杂PubMed语法,用中文像聊天一样搜索,搜遍4000万医学文献。AI智能推荐,让科研检索更轻松。

立即免费搜索

文件翻译

保留排版,准确专业,支持PDF/Word/PPT等文件格式,支持 12+语言互译。

免费翻译文档

深度研究

AI帮你快速写综述,25分钟生成高质量综述,智能提取关键信息,辅助科研写作。

立即免费体验