• 文献检索
  • 文档翻译
  • 深度研究
  • 学术资讯
  • Suppr Zotero 插件Zotero 插件
  • 邀请有礼
  • 套餐&价格
  • 历史记录
应用&插件
Suppr Zotero 插件Zotero 插件浏览器插件Mac 客户端Windows 客户端微信小程序
定价
高级版会员购买积分包购买API积分包
服务
文献检索文档翻译深度研究API 文档MCP 服务
关于我们
关于 Suppr公司介绍联系我们用户协议隐私条款
关注我们

Suppr 超能文献

核心技术专利:CN118964589B侵权必究
粤ICP备2023148730 号-1Suppr @ 2026

文献检索

告别复杂PubMed语法,用中文像聊天一样搜索,搜遍4000万医学文献。AI智能推荐,让科研检索更轻松。

立即免费搜索

文件翻译

保留排版,准确专业,支持PDF/Word/PPT等文件格式,支持 12+语言互译。

免费翻译文档

深度研究

AI帮你快速写综述,25分钟生成高质量综述,智能提取关键信息,辅助科研写作。

立即免费体验

硫酸软骨素合酶1通过调节血小板衍生生长因子受体α(PDGFRA)的稳定性增强胶质母细胞瘤的增殖。

Chondroitin sulfate synthase 1 enhances proliferation of glioblastoma by modulating PDGFRA stability.

作者信息

Liao Wen-Chieh, Liao Chih-Kai, Tseng To-Jung, Ho Ying-Jui, Chen Ying-Ru, Lin Kuan-Hung, Lai Te-Jen, Lan Chyn-Tair, Wei Kuo-Chen, Liu Chiung-Hui

机构信息

Faculty of Medicine, Department of Anatomy, Chung Shan Medical University, Taichung, Taiwan.

Department of Medical Education, Chung Shan Medical University Hospital, Taichung, Taiwan.

出版信息

Oncogenesis. 2020 Feb 4;9(2):9. doi: 10.1038/s41389-020-0197-0.

DOI:10.1038/s41389-020-0197-0
PMID:32019907
原文链接:https://pmc.ncbi.nlm.nih.gov/articles/PMC7000683/
Abstract

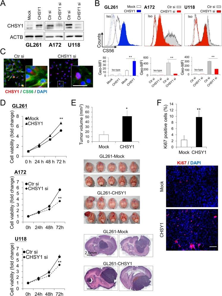
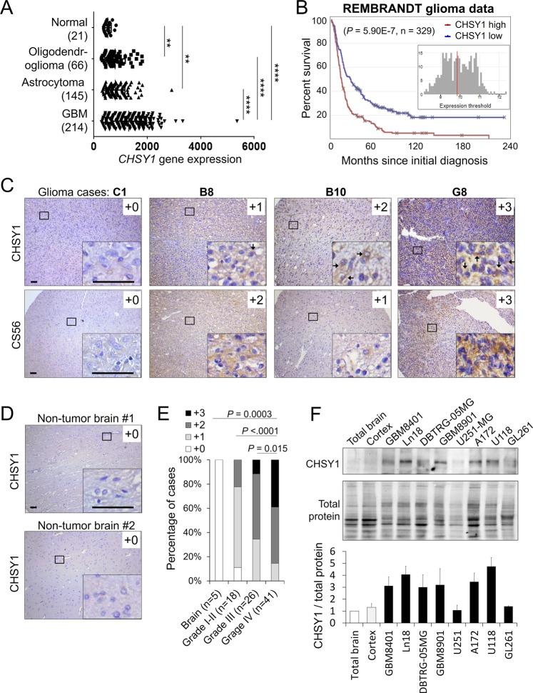
Chondroitin sulfate synthases, a family of enzyme involved in chondroitin sulfate (CS) polymerization, are dysregulated in various human malignancies, but their roles in glioma remain unclear. We performed database analysis and immunohistochemistry on human glioma tissue, to demonstrate that the expression of CHSY1 was frequently upregulated in glioma, and that it was associated with adverse clinicopathologic features, including high tumor grade and poor survival. Using a chondroitin sulfate-specific antibody, we showed that the expression of CHSY1 was significantly associated with CS formation in glioma tissue and cells. In addition, overexpression of CHSY1 in glioma cells enhanced cell viability and orthotopic tumor growth, whereas CHSY1 silencing suppressed malignant growth. Mechanistic investigations revealed that CHSY1 selectively regulates PDGFRA activation and PDGF-induced signaling in glioma cells by stabilizing PDGFRA protein levels. Inhibiting PDGFR activity with crenolanib decreased CHSY1-induced malignant characteristics of GL261 cells and prolonged survival in an orthotopic mouse model of glioma, which underlines the critical role of PDGFRA in mediating the effects of CHSY1. Taken together, these results provide information on CHSY1 expression and its role in glioma progression, and highlight novel insights into the significance of CHSY1 in PDGFRA signaling. Thus, our findings point to new molecular targets for glioma treatment.

摘要

硫酸软骨素合酶是一类参与硫酸软骨素(CS)聚合的酶,在多种人类恶性肿瘤中表达失调,但其在胶质瘤中的作用仍不清楚。我们对人类胶质瘤组织进行了数据库分析和免疫组化,以证明CHSY1在胶质瘤中经常上调表达,并且它与不良临床病理特征相关,包括高肿瘤分级和低生存率。使用硫酸软骨素特异性抗体,我们表明CHSY1的表达与胶质瘤组织和细胞中的CS形成显著相关。此外,CHSY1在胶质瘤细胞中的过表达增强了细胞活力和原位肿瘤生长,而CHSY1沉默则抑制了恶性生长。机制研究表明,CHSY1通过稳定PDGFRA蛋白水平选择性调节胶质瘤细胞中PDGFRA的激活和PDGF诱导的信号传导。用克伦洛尼抑制PDGFR活性可降低CHSY1诱导的GL261细胞的恶性特征,并延长胶质瘤原位小鼠模型的生存期,这强调了PDGFRA在介导CHSY1作用中的关键作用。综上所述,这些结果提供了关于CHSY1表达及其在胶质瘤进展中的作用的信息,并突出了对CHSY1在PDGFRA信号传导中的意义的新见解。因此,我们的发现指出了胶质瘤治疗的新分子靶点。

https://cdn.ncbi.nlm.nih.gov/pmc/blobs/360d/7000683/2e7d84ad730d/41389_2020_197_Fig4_HTML.jpg
https://cdn.ncbi.nlm.nih.gov/pmc/blobs/360d/7000683/3f509a62f4a1/41389_2020_197_Fig1_HTML.jpg
https://cdn.ncbi.nlm.nih.gov/pmc/blobs/360d/7000683/1e1349d321fb/41389_2020_197_Fig2_HTML.jpg
https://cdn.ncbi.nlm.nih.gov/pmc/blobs/360d/7000683/6b94fc660608/41389_2020_197_Fig3_HTML.jpg
https://cdn.ncbi.nlm.nih.gov/pmc/blobs/360d/7000683/2e7d84ad730d/41389_2020_197_Fig4_HTML.jpg
https://cdn.ncbi.nlm.nih.gov/pmc/blobs/360d/7000683/3f509a62f4a1/41389_2020_197_Fig1_HTML.jpg
https://cdn.ncbi.nlm.nih.gov/pmc/blobs/360d/7000683/1e1349d321fb/41389_2020_197_Fig2_HTML.jpg
https://cdn.ncbi.nlm.nih.gov/pmc/blobs/360d/7000683/6b94fc660608/41389_2020_197_Fig3_HTML.jpg
https://cdn.ncbi.nlm.nih.gov/pmc/blobs/360d/7000683/2e7d84ad730d/41389_2020_197_Fig4_HTML.jpg

相似文献

1
Chondroitin sulfate synthase 1 enhances proliferation of glioblastoma by modulating PDGFRA stability.硫酸软骨素合酶1通过调节血小板衍生生长因子受体α(PDGFRA)的稳定性增强胶质母细胞瘤的增殖。
Oncogenesis. 2020 Feb 4;9(2):9. doi: 10.1038/s41389-020-0197-0.
2
CHSY1 promotes aggressive phenotypes of hepatocellular carcinoma cells via activation of the hedgehog signaling pathway.CHSY1通过激活刺猬信号通路促进肝癌细胞的侵袭性表型。
Cancer Lett. 2017 Sep 10;403:280-288. doi: 10.1016/j.canlet.2017.06.023. Epub 2017 Jun 23.
3
Targeting Chondroitin Sulfate Reduces Invasiveness of Glioma Cells by Suppressing CD44 and Integrin β1 Expression.靶向硫酸软骨素可通过抑制 CD44 和整合素 β1 的表达来降低神经胶质瘤细胞的侵袭性。
Cells. 2021 Dec 20;10(12):3594. doi: 10.3390/cells10123594.
4
Chondroitin sulfate synthase 1 expression is associated with malignant potential of soft tissue sarcomas with myxoid substance.硫酸软骨素合酶1的表达与伴有黏液样物质的软组织肉瘤的恶性潜能相关。
Hum Pathol. 2016 Apr;50:15-23. doi: 10.1016/j.humpath.2015.11.005. Epub 2015 Nov 22.
5
CHSY1 promoted proliferation and suppressed apoptosis in colorectal cancer through regulation of the NFκB and/or caspase-3/7 signaling pathway.CHSY1通过调节NFκB和/或caspase-3/7信号通路促进结直肠癌的增殖并抑制其凋亡。
Oncol Lett. 2018 Nov;16(5):6140-6146. doi: 10.3892/ol.2018.9385. Epub 2018 Sep 3.
6
Chondroitin sulfate synthase 1 (Chsy1) is required for bone development and digit patterning.硫酸软骨素合成酶 1(Chsy1)对于骨骼发育和指(趾)模式形成是必需的。
Dev Biol. 2012 Mar 15;363(2):413-25. doi: 10.1016/j.ydbio.2012.01.005. Epub 2012 Jan 17.
7
DSE promotes aggressive glioma cell phenotypes by enhancing HB-EGF/ErbB signaling.DSE 通过增强 HB-EGF/ErbB 信号促进侵袭性神经胶质瘤细胞表型。
PLoS One. 2018 Jun 4;13(6):e0198364. doi: 10.1371/journal.pone.0198364. eCollection 2018.
8
TGF-β Induces Up-Regulation of Chondroitin Sulfate Synthase 1 (CHSY1) in Nucleus Pulposus Cells Through MAPK Signaling.转化生长因子-β通过丝裂原活化蛋白激酶信号通路诱导髓核细胞中硫酸软骨素合酶1(CHSY1)上调。
Cell Physiol Biochem. 2015;37(2):793-804. doi: 10.1159/000430396. Epub 2015 Sep 11.
9
Targeting Chondroitin Sulphate Synthase 1 (Chsy1) Promotes Axon Growth Following Neurorrhaphy by Suppressing Versican Accumulation.靶向硫酸软骨素合成酶 1(Chsy1)通过抑制神经束膜粘连蛋白(Versican)的积累促进神经吻合后的轴突生长。
Molecules. 2023 Apr 26;28(9):3742. doi: 10.3390/molecules28093742.
10
Loss of Chondroitin Sulfate Modification Causes Inflammation and Neurodegeneration in Mice.软骨素硫酸盐修饰缺失导致小鼠炎症和神经退行性病变。
Genetics. 2020 Jan;214(1):121-134. doi: 10.1534/genetics.119.302834. Epub 2019 Nov 21.

引用本文的文献

1
Metabolic gatekeepers: harnessing tumor-derived metabolites to optimize T cell-based immunotherapy efficacy in the tumor microenvironment.代谢守门员:利用肿瘤衍生代谢物优化肿瘤微环境中基于 T 细胞的免疫治疗效果。
Cell Death Dis. 2024 Oct 26;15(10):775. doi: 10.1038/s41419-024-07122-6.
2
The prognostic implications and tumor-promoting functions of CHSY3 in gastric cancer.CHSY3 在胃癌中的预后意义和肿瘤促进功能。
Front Immunol. 2024 May 15;15:1364979. doi: 10.3389/fimmu.2024.1364979. eCollection 2024.
3
CHST11-modified chondroitin 4-sulfate as a potential therapeutic target for glioblastoma.

本文引用的文献

1
The dual role of the glycosaminoglycan chondroitin-6-sulfate in the development, progression and metastasis of cancer.糖胺聚糖硫酸软骨素-6-硫酸盐在癌症发展、进展和转移中的双重作用。
FEBS J. 2019 May;286(10):1815-1837. doi: 10.1111/febs.14748. Epub 2019 Feb 5.
2
CHSY1 promoted proliferation and suppressed apoptosis in colorectal cancer through regulation of the NFκB and/or caspase-3/7 signaling pathway.CHSY1通过调节NFκB和/或caspase-3/7信号通路促进结直肠癌的增殖并抑制其凋亡。
Oncol Lett. 2018 Nov;16(5):6140-6146. doi: 10.3892/ol.2018.9385. Epub 2018 Sep 3.
3
Glioblastoma Treatments: An Account of Recent Industrial Developments.
CHST11修饰的硫酸软骨素4作为胶质母细胞瘤的潜在治疗靶点。
Am J Cancer Res. 2023 Jul 15;13(7):2998-3012. eCollection 2023.
4
Targeting Chondroitin Sulphate Synthase 1 (Chsy1) Promotes Axon Growth Following Neurorrhaphy by Suppressing Versican Accumulation.靶向硫酸软骨素合成酶 1(Chsy1)通过抑制神经束膜粘连蛋白(Versican)的积累促进神经吻合后的轴突生长。
Molecules. 2023 Apr 26;28(9):3742. doi: 10.3390/molecules28093742.
5
Glioblastoma: Current Status, Emerging Targets, and Recent Advances.胶质母细胞瘤:现状、新兴靶点及最新进展。
J Med Chem. 2022 Jul 14;65(13):8596-8685. doi: 10.1021/acs.jmedchem.1c01946. Epub 2022 Jul 5.
6
In-Depth Matrisome and Glycoproteomic Analysis of Human Brain Glioblastoma Versus Control Tissue.人脑胶质母细胞瘤与对照组织的深入基质组学和糖蛋白质组学分析。
Mol Cell Proteomics. 2022 Apr;21(4):100216. doi: 10.1016/j.mcpro.2022.100216. Epub 2022 Feb 23.
7
Targeting Chondroitin Sulfate Reduces Invasiveness of Glioma Cells by Suppressing CD44 and Integrin β1 Expression.靶向硫酸软骨素可通过抑制 CD44 和整合素 β1 的表达来降低神经胶质瘤细胞的侵袭性。
Cells. 2021 Dec 20;10(12):3594. doi: 10.3390/cells10123594.
8
Glycomaterials to Investigate the Functional Role of Aberrant Glycosylation in Glioblastoma.聚糖材料在研究脑胶质瘤中异常糖基化的功能作用。
Adv Healthc Mater. 2022 Feb;11(4):e2101956. doi: 10.1002/adhm.202101956. Epub 2021 Dec 29.
9
LncRNA LINC01094 contributes to glioma progression by modulating miR-224-5p/CHSY1 axis.长链非编码 RNA LINC01094 通过调节 miR-224-5p/CHSY1 轴促进胶质瘤的进展。
Hum Cell. 2022 Jan;35(1):214-225. doi: 10.1007/s13577-021-00637-6. Epub 2021 Oct 30.
10
CHSY1 is upregulated and acts as tumor promotor in gastric cancer through regulating cell proliferation, apoptosis, and migration.CHSY1 在胃癌中上调并发挥肿瘤促进作用,通过调节细胞增殖、凋亡和迁移。
Cell Cycle. 2021 Sep;20(18):1861-1874. doi: 10.1080/15384101.2021.1963553. Epub 2021 Aug 19.
胶质母细胞瘤的治疗:近期产业发展综述
Front Pharmacol. 2018 Sep 13;9:879. doi: 10.3389/fphar.2018.00879. eCollection 2018.
4
Photoaffinity-engineered protein scaffold for systematically exploring native phosphotyrosine signaling complexes in tumor samples.用于系统地在肿瘤样本中探索天然磷酸酪氨酸信号复合物的光亲和工程化蛋白质支架。
Proc Natl Acad Sci U S A. 2018 Sep 18;115(38):E8863-E8872. doi: 10.1073/pnas.1805633115. Epub 2018 Sep 6.
5
The VAR2CSA malaria protein efficiently retrieves circulating tumor cells in an EpCAM-independent manner.VAR2CSA 疟疾蛋白以 EpCAM 非依赖的方式有效地获取循环肿瘤细胞。
Nat Commun. 2018 Aug 16;9(1):3279. doi: 10.1038/s41467-018-05793-2.
6
The GAGOme: a cell-based library of displayed glycosaminoglycans.GAGOme:一种基于细胞展示的糖胺聚糖文库。
Nat Methods. 2018 Nov;15(11):881-888. doi: 10.1038/s41592-018-0086-z. Epub 2018 Aug 13.
7
DSE promotes aggressive glioma cell phenotypes by enhancing HB-EGF/ErbB signaling.DSE 通过增强 HB-EGF/ErbB 信号促进侵袭性神经胶质瘤细胞表型。
PLoS One. 2018 Jun 4;13(6):e0198364. doi: 10.1371/journal.pone.0198364. eCollection 2018.
8
Targeting UDP-α-D-glucose 6-dehydrogenase inhibits glioblastoma growth and migration.靶向 UDP-α-D-葡萄糖 6-脱氢酶抑制脑胶质瘤的生长和迁移。
Oncogene. 2018 May;37(20):2615-2629. doi: 10.1038/s41388-018-0138-y. Epub 2018 Feb 26.
9
Heparan sulfate accumulation and perlecan/HSPG2 up-regulation in tumour tissue predict low relapse-free survival for patients with glioblastoma.硫酸乙酰肝素在肿瘤组织中的积累以及核心蛋白聚糖/HSPG2的上调预示着胶质母细胞瘤患者无复发生存期较短。
Histochem Cell Biol. 2018 Mar;149(3):235-244. doi: 10.1007/s00418-018-1631-7. Epub 2018 Jan 10.
10
CHSY1 promotes aggressive phenotypes of hepatocellular carcinoma cells via activation of the hedgehog signaling pathway.CHSY1通过激活刺猬信号通路促进肝癌细胞的侵袭性表型。
Cancer Lett. 2017 Sep 10;403:280-288. doi: 10.1016/j.canlet.2017.06.023. Epub 2017 Jun 23.