Suppr超能文献

黄连素通过抑制谷氨酰胺摄取来抑制肝癌细胞生长。

Berberine Inhibits Growth of Liver Cancer Cells by Suppressing Glutamine Uptake.

作者信息

Zhang Pengcheng, Wang Quancheng, Lin Zhibin, Yang Peijun, Dou Kefeng, Zhang Ruohan

机构信息

Department of Hepato-Biliary and Pancreto-Splenic Surgery, Xijing Hospital, The Fourth Military Medical University, Xi'an, People's Republic of China.

出版信息

Onco Targets Ther. 2019 Dec 31;12:11751-11763. doi: 10.2147/OTT.S235667. eCollection 2019.

Abstract

INTRODUCTION

Glutamine metabolism is essential for the proliferation of cancer cells. Transported by SLC1A5, a Na dependent transporter, glutamine is absorbed for further use. Recent studies have revealed the anti-tumor effect of berberine. The present study aimed to evaluate the effect of berberine on cancer cell glutamine metabolism.

MATERIALS AND METHODS

The inhibitory effect of berberine on liver cancer cells was analyzed by CCK-8 and EdU assay. The glutamine concentrations were detected by ELISA and UHPLC-MRM-MS analysis. Glutamine metabolism-related proteins were determined by Western blot, immunofluorescent analysis and immunohistochemistry.

RESULTS

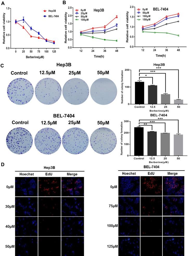
Berberine inhibited the proliferation of Hep3B and BEL-7404 cell in vitro. Berberine suppressed the glutamine uptake by inhibiting SLC1A5. The upregulation of SLC1A5 led to an increased glutamine uptake and improved tolerance to berberine. Berberine suppresses SLC1A5 expression by inhibiting c-Myc. Furthermore, berberine suppresses the growth of tumor xenografts, and the expression of SLC1A5 and c-Myc in vivo. The high expression of SLC1A5 in hepatocellular carcinoma (HCC) tissues is associated with poor prognosis.

CONCLUSION

Berberine can suppress the proliferation of liver cancer cells by reducing SLC1A5 expression.

摘要

引言

谷氨酰胺代谢对癌细胞增殖至关重要。谷氨酰胺由钠依赖性转运体SLC1A5转运,被吸收以供进一步利用。最近的研究揭示了黄连素的抗肿瘤作用。本研究旨在评估黄连素对癌细胞谷氨酰胺代谢的影响。

材料与方法

采用CCK-8和EdU检测法分析黄连素对肝癌细胞的抑制作用。通过ELISA和UHPLC-MRM-MS分析检测谷氨酰胺浓度。采用蛋白质免疫印迹法、免疫荧光分析和免疫组织化学法测定谷氨酰胺代谢相关蛋白。

结果

黄连素在体外抑制Hep3B和BEL-7404细胞的增殖。黄连素通过抑制SLC1A5抑制谷氨酰胺摄取。SLC1A5的上调导致谷氨酰胺摄取增加并提高对黄连素的耐受性。黄连素通过抑制c-Myc抑制SLC1A5表达。此外,黄连素在体内抑制肿瘤异种移植的生长以及SLC1A5和c-Myc的表达。肝细胞癌(HCC)组织中SLC1A5的高表达与预后不良相关。

结论

黄连素可通过降低SLC1A5表达抑制肝癌细胞增殖。

https://cdn.ncbi.nlm.nih.gov/pmc/blobs/91e6/6978679/60fa13ad03c1/OTT-12-11751-g0001.jpg

文献AI研究员

20分钟写一篇综述,助力文献阅读效率提升50倍。

立即体验

用中文搜PubMed

大模型驱动的PubMed中文搜索引擎

马上搜索

文档翻译

学术文献翻译模型,支持多种主流文档格式。

立即体验