Suppr超能文献

高频超声检查在选定女性生殖结构评估中的应用:外阴、阴道和宫颈。

The use of high-frequency ultrasonography in the assessment of selected female reproductive structures: the vulva, vagina and cervix.

作者信息

Migda Marian Stanisław, Migda Michał, Słapa Rafał, Mlosek Robert Krzysztof, Migda Bartosz

机构信息

Civis Vita Medical Center Torun, Poland.

Clinical Unit of Obstetrics, Women's Diseases and Gynecological Oncology, United District Hospital, Collegium Medicum University of Nicolaus Copernicus in Torun, Torun, Poland.

出版信息

J Ultrason. 2019 Dec;19(79):261-268. doi: 10.15557/JoU.2019.0039. Epub 2019 Dec 31.

Abstract

INTRODUCTION

High-frequency ultrasonography enables visualization the layered structure of the skin and shows the epidermis, dermis, subcutaneous tissue and skin appendages: hair follicles, sebaceous glands, sweat glands and blood vessels. The aim of this study was to apply high-frequency ultrasonography to evaluate the structure of the vulva, vagina and cervix, and to describe their anatomy in ultrasound.

MATERIAL AND METHOD

The examinations were conducted with the use of high-frequency probes: DermaView 48 MHz and Episcan 50 MHz, by three operators experienced in performing classical ultrasound scans (with 30-, 10- and 9-year experience). The study involved 50 women aged 20-80 years who reported for a periodical gynecological check-up and presented no symptoms within the reproductive system.

RESULTS

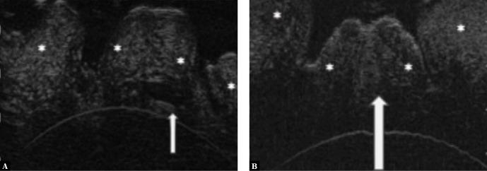
In this study, the individual layers of the skin in the area of the mons pubis, labia majora (together with hair follicles and sweat glands) and labia minora were successfully visualized in all the patients. The subepidermal low-echogenicity band was seen in the area of the mons pubic and labia majora in 40 cases. This concerned 100% of women who underwent cosmetic skin treatments. In all the patients, HFUS demonstrated the layered structure of the anterior and posterior vaginal walls, the walls of the urinary bladder and rectum, layers of the vaginal portion of the cervix and the external opening of the cervix.

CONCLUSIONS

High-frequency ultrasonography offers new quality of vulvar, vaginal and cervical imaging. It can be used for evaluation of the vulva and vagina, and confirms their layered structure. It also enables accurate measurements of the thickness of the vulvar epidermis and dermis as well as the thickness of the vaginal walls.

摘要

引言

高频超声能够显示皮肤的分层结构,可呈现表皮、真皮、皮下组织及皮肤附属器,如毛囊、皮脂腺、汗腺和血管。本研究的目的是应用高频超声评估外阴、阴道和宫颈的结构,并描述其超声解剖结构。

材料与方法

检查使用高频探头:DermaView 48MHz和Episcan 50MHz,由三位有经典超声扫描经验(分别有30年、10年和9年经验)的操作人员进行。该研究纳入了50名年龄在20至80岁之间的女性,她们前来进行定期妇科检查,生殖系统无任何症状。

结果

在本研究中,所有患者均成功观察到阴阜、大阴唇(连同毛囊和汗腺)及小阴唇区域皮肤的各层结构。40例患者在阴阜和大阴唇区域可见表皮下低回声带。这涉及到所有接受过皮肤美容治疗的女性。在所有患者中,高频超声均显示了阴道前、后壁、膀胱壁和直肠壁、宫颈阴道部各层以及宫颈外口的分层结构。

结论

高频超声为外阴、阴道和宫颈成像提供了新的质量。它可用于评估外阴和阴道,并证实其分层结构。它还能够准确测量外阴表皮和真皮的厚度以及阴道壁的厚度。

https://cdn.ncbi.nlm.nih.gov/pmc/blobs/663f/6988569/bdc85e196657/jou-19-79-261-g004.jpg

文献检索

告别复杂PubMed语法,用中文像聊天一样搜索,搜遍4000万医学文献。AI智能推荐,让科研检索更轻松。

立即免费搜索

文件翻译

保留排版,准确专业,支持PDF/Word/PPT等文件格式,支持 12+语言互译。

免费翻译文档

深度研究

AI帮你快速写综述,25分钟生成高质量综述,智能提取关键信息,辅助科研写作。

立即免费体验