Department of Neurosurgery, Daping Hospital & Institute Research of Surgery of Army Medical University, 10# Changjiangzhi Road, Daping, Yuzhong District, Chongqing, 400042, China.
Cell Commun Signal. 2020 Feb 11;18(1):22. doi: 10.1186/s12964-019-0501-9.
Glioblastoma and Alzheimer's disease (AD) are the most common and devastating diseases in the central nervous system. The dysfunction of Presenilin1 is the main reason for AD pathogenesis. However, the molecular function of Presenilin1 and its relative mechanism in glioblastoma remain unclear.
Expression of presenilin1 in glioma was determined by IHC. CCK-8, colony formation, Flow cytometry, Edu staining were utilized to evaluate functions of presenilin1 on glioblastoma proliferation. The mechanism of above process was assessed by Western blotting and cell immunofluorescence. Mouse transplanting glioblastoma model and micro-MRI detection were used to verified presenilin1 function in vivo.
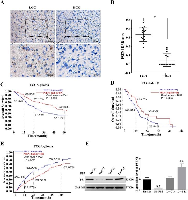
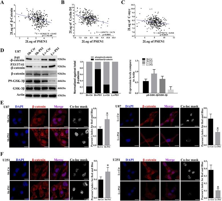
In this study, we found that all grades of glioma maintained relatively low Presenilin1 expression and that the expression of Presenilin1 in high-grade glioma was significantly lower than that in low-grade glioma. Moreover, the Presenilin1 level had a positive correlation with glioma and glioblastoma patient prognosis. Next, we determined that Presenilin1 inhibited the growth and proliferation of glioblastoma cells by downregulating CDK6, C-myc and Cyclin D1 to arrest the cell cycle at the G1/S phase. Mechanistically, Presenilin1 promoted the direct phosphorylation of β-catenin at the 45 site and indirect phosphorylation at the 33/37/41 site, then decreased the stabilized part of β-catenin and hindered its translocation from the cytoplasm to the nucleus. Furthermore, we found that Presenilin1 downregulation clearly accelerated the growth of subcutaneous glioblastoma, and Presenilin1 overexpression significantly repressed the subcutaneous and intracranial transplantation of glioblastoma by hindering β-catenin-dependent cell proliferation.
Our data implicate the antiproliferative effect of Presenilin1 in glioblastoma by suppressing Wnt/β-catenin signaling, which may provide a novel therapeutic agent for glioblastoma. Video Abstract.
胶质母细胞瘤和阿尔茨海默病(AD)是中枢神经系统中最常见和最具破坏性的疾病。早老素 1 的功能障碍是 AD 发病机制的主要原因。然而,早老素 1 在胶质母细胞瘤中的分子功能及其相关机制仍不清楚。
通过免疫组化测定胶质母细胞瘤中早老素 1 的表达。CCK-8、集落形成、流式细胞术、Edu 染色用于评估早老素 1 对胶质母细胞瘤增殖的作用。通过 Western blot 和细胞免疫荧光评估上述过程的机制。利用小鼠移植胶质母细胞瘤模型和微 MRI 检测来验证早老素 1 在体内的功能。
在这项研究中,我们发现所有级别胶质瘤均保持相对较低的早老素 1 表达,高级别胶质瘤的早老素 1 表达明显低于低级别胶质瘤。此外,早老素 1 水平与胶质瘤和胶质母细胞瘤患者的预后呈正相关。接下来,我们确定早老素 1 通过下调 CDK6、C-myc 和 Cyclin D1 抑制 glioblastoma 细胞的生长和增殖,使细胞周期停滞在 G1/S 期。在机制上,早老素 1 促进 β-连环蛋白在 45 位的直接磷酸化和在 33/37/41 位的间接磷酸化,然后减少 β-连环蛋白的稳定部分,并阻碍其从细胞质向细胞核转位。此外,我们发现早老素 1 下调明显加速了皮下胶质母细胞瘤的生长,而过表达早老素 1 通过抑制 β-连环蛋白依赖性细胞增殖,显著抑制了皮下和颅内移植的胶质母细胞瘤。
我们的数据表明,早老素 1 通过抑制 Wnt/β-连环蛋白信号通路对胶质母细胞瘤具有抗增殖作用,这可能为胶质母细胞瘤提供一种新的治疗药物。视频摘要。