Suppr超能文献

表现为皮质聋的迟发性创伤性脑内血肿:病例报告

Delayed traumatic intracerebral hematoma presenting as cortical deafness: case report.

作者信息

Shibata Yasushi

机构信息

Department of Neurosurgery, Mito Medical Center, Mito Kyodo General Hospital, University of Tsukuba, Mito, Ibaraki, 310-0015, Japan.

出版信息

Heliyon. 2020 Feb 21;6(2):e03443. doi: 10.1016/j.heliyon.2020.e03443. eCollection 2020 Feb.

Abstract

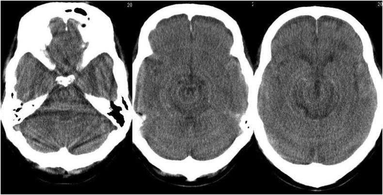
Cortical deafness is a rare condition and is usually caused by bilateral cerebral lesions. Several cases of sudden cortical deafness caused by ischemic stroke or hypertensive intracerebral hematoma have been reported, however, no cases of traumatic cortical deafness were identified in our literature search. We experienced a case of delayed traumatic intracerebral hematoma (DTICH) presenting as cortical deafness. In our patient, warfarin intake seemed to be a risk factor for DTICH. Head injury may adversely affect the coagulability and thrombolysis. A high risk of DTICH after traumatic head injury should be kept in mind when encountering patients taking anticoagulants.

摘要

皮质聋是一种罕见的病症,通常由双侧脑部病变引起。已有数例由缺血性中风或高血压性脑出血导致的突发性皮质聋的病例报道,然而,在我们的文献检索中未发现外伤性皮质聋的病例。我们遇到了一例以皮质聋为表现的迟发性外伤性脑内血肿(DTICH)。在我们的患者中,服用华法林似乎是DTICH的一个危险因素。头部损伤可能会对凝血和溶栓产生不利影响。遇到服用抗凝剂的患者时,应牢记外伤性脑损伤后发生DTICH的高风险。

https://cdn.ncbi.nlm.nih.gov/pmc/blobs/72f4/7036520/859be336abc1/gr1.jpg

文献检索

告别复杂PubMed语法,用中文像聊天一样搜索,搜遍4000万医学文献。AI智能推荐,让科研检索更轻松。

立即免费搜索

文件翻译

保留排版,准确专业,支持PDF/Word/PPT等文件格式,支持 12+语言互译。

免费翻译文档

深度研究

AI帮你快速写综述,25分钟生成高质量综述,智能提取关键信息,辅助科研写作。

立即免费体验