• 文献检索
  • 文档翻译
  • 深度研究
  • 学术资讯
  • Suppr Zotero 插件Zotero 插件
  • 邀请有礼
  • 套餐&价格
  • 历史记录
应用&插件
Suppr Zotero 插件Zotero 插件浏览器插件Mac 客户端Windows 客户端微信小程序
定价
高级版会员购买积分包购买API积分包
服务
文献检索文档翻译深度研究API 文档MCP 服务
关于我们
关于 Suppr公司介绍联系我们用户协议隐私条款
关注我们

Suppr 超能文献

核心技术专利:CN118964589B侵权必究
粤ICP备2023148730 号-1Suppr @ 2026

文献检索

告别复杂PubMed语法,用中文像聊天一样搜索,搜遍4000万医学文献。AI智能推荐,让科研检索更轻松。

立即免费搜索

文件翻译

保留排版,准确专业,支持PDF/Word/PPT等文件格式,支持 12+语言互译。

免费翻译文档

深度研究

AI帮你快速写综述,25分钟生成高质量综述,智能提取关键信息,辅助科研写作。

立即免费体验

盐酸安非他酮对动物模型肺组织的影响。

Effects of varenicline on lung tissue in the animal model.

机构信息

Department of Pulmonary Medicine, Faculty of Medicine, Inonu University, Malatya, Turkey.

Department of Pharmacology, Faculty of Medicine, Inonu University, Malatya, Turkey.

出版信息

J Bras Pneumol. 2020 Mar 2;46(2):e20180406. doi: 10.36416/1806-3756/e20180406. eCollection 2020.

DOI:10.36416/1806-3756/e20180406
PMID:32130342
原文链接:https://pmc.ncbi.nlm.nih.gov/articles/PMC8651259/
Abstract

OBJECTIVE

This study aimed to investigate acute and chronic effects of varenicline on lung tissue in an experimental study.

METHODS

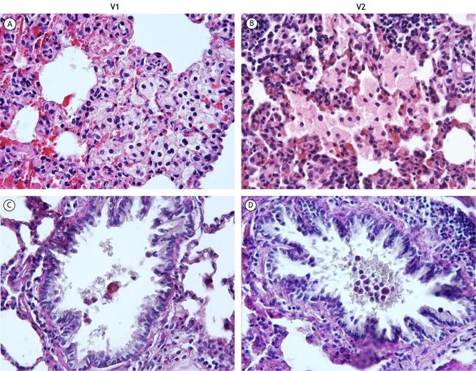
A total of 34 rats were randomly allocated into study (varenicline) and control groups. The rats were divided into two groups (i) control group, (ii) varenicline group. Then, the rats in the each group were sub-divided equally in turn as acute (C1; V1) and chronic (C2; V2) ; all rats of acute and chronic groups were sacrificed under the anesthesia on the 45th day for acute group [C1 (n=5) and V1 (n=12)] and the 90th day for chronic group [C2 (n=5) and V2 (n=12)], respectively. Thus, biochemical and histopathological analysis were carried out.

RESULTS

Thirty four rats completed the study, 24 were in varenicline group and 10 were in control group. In chronic exposure to varenicline, oxidant levels comprising of malondialdehyde (MDA), and myeloperoxidase (MPO) increased and superoxide dismutase (SOD), catalase (CAT), glutathione (GSH) and glutathione peroxidase (GPx) levels, named as antioxidants, decreased significantly when compared to the control group. MDA and MPO levels were also significantly higher and SOD, CAT, GPx, GSH levels were also significantly lower in chronic varenicline group when compared to acute varenicline group. These findings were also supported by histopathological observations.

CONCLUSION

This is the first study, which evaluated pulmonary effects of varenicline experimentally on an animal model. It was observed that chronic varenicline treatments cause inflammation and lung cell injury.

摘要

目的

本研究旨在通过实验研究探讨伐尼克兰对肺组织的急性和慢性影响。

方法

共 34 只大鼠随机分为研究(伐尼克兰)和对照组。大鼠分为两组:(i)对照组,(ii)伐尼克兰组。然后,每组大鼠进一步分为急性组(C1;V1)和慢性组(C2;V2);急性组的所有大鼠(C1[ n=5]和 V1[ n=12])和慢性组的所有大鼠(C2[ n=5]和 V2[ n=12])在第 45 天和第 90 天分别在麻醉下处死,进行生化和组织病理学分析。

结果

34 只大鼠完成了研究,其中 24 只在伐尼克兰组,10 只在对照组。在慢性暴露于伐尼克兰时,氧化应激标志物丙二醛(MDA)和髓过氧化物酶(MPO)的水平升高,而超氧化物歧化酶(SOD)、过氧化氢酶(CAT)、谷胱甘肽(GSH)和谷胱甘肽过氧化物酶(GPx)等抗氧化剂的水平降低,与对照组相比有显著差异。与急性伐尼克兰组相比,慢性伐尼克兰组的 MDA 和 MPO 水平也显著升高,SOD、CAT、GPx、GSH 水平也显著降低。这些发现也得到了组织病理学观察的支持。

结论

这是第一项在动物模型上评估伐尼克兰对肺部影响的研究。结果表明,慢性伐尼克兰治疗可引起炎症和肺细胞损伤。

https://cdn.ncbi.nlm.nih.gov/pmc/blobs/737e/8651259/53d2c480f341/jbpneu-46-2-e20180406-g03.jpg
https://cdn.ncbi.nlm.nih.gov/pmc/blobs/737e/8651259/bcc9821b2274/jbpneu-46-2-e20180406-g01.jpg
https://cdn.ncbi.nlm.nih.gov/pmc/blobs/737e/8651259/0f3d7984d46d/jbpneu-46-2-e20180406-g02.jpg
https://cdn.ncbi.nlm.nih.gov/pmc/blobs/737e/8651259/53d2c480f341/jbpneu-46-2-e20180406-g03.jpg
https://cdn.ncbi.nlm.nih.gov/pmc/blobs/737e/8651259/bcc9821b2274/jbpneu-46-2-e20180406-g01.jpg
https://cdn.ncbi.nlm.nih.gov/pmc/blobs/737e/8651259/0f3d7984d46d/jbpneu-46-2-e20180406-g02.jpg
https://cdn.ncbi.nlm.nih.gov/pmc/blobs/737e/8651259/53d2c480f341/jbpneu-46-2-e20180406-g03.jpg

相似文献

1
Effects of varenicline on lung tissue in the animal model.盐酸安非他酮对动物模型肺组织的影响。
J Bras Pneumol. 2020 Mar 2;46(2):e20180406. doi: 10.36416/1806-3756/e20180406. eCollection 2020.
2
Oxidative stress and antioxidant enzyme activity in South Indian male smokers with chronic obstructive pulmonary disease.印度南部男性慢性阻塞性肺疾病吸烟者的氧化应激和抗氧化酶活性。
Respirology. 2013 Oct;18(7):1069-75. doi: 10.1111/resp.12118.
3
Protective effects of L-arginine on pulmonary oxidative stress and antioxidant defenses during exhaustive exercise in rats.L-精氨酸对大鼠力竭运动期间肺氧化应激和抗氧化防御的保护作用。
Acta Pharmacol Sin. 2005 Aug;26(8):992-9. doi: 10.1111/j.1745-7254.2005.00155.x.
4
Protective and therapeutic effect of apocynin on bleomycin-induced lung fibrosis in rats.阿朴啡因对博来霉素诱导的大鼠肺纤维化的保护和治疗作用。
Inflammation. 2015;38(3):1166-80. doi: 10.1007/s10753-014-0081-1.
5
Protective and therapeutic effect of molsidomine on bleomycin-induced lung fibrosis in rats.吗多明对博来霉素致大鼠肺纤维化的保护和治疗作用。
Inflammation. 2014 Aug;37(4):1167-78. doi: 10.1007/s10753-014-9841-1.
6
Melatonin protects against oxidative damage in a neonatal rat model of bronchopulmonary dysplasia.褪黑素在新生大鼠支气管肺发育不良模型中可预防氧化损伤。
World J Pediatr. 2009 Aug;5(3):216-21. doi: 10.1007/s12519-009-0041-2. Epub 2009 Aug 20.
7
Comparative analysis of the protective effects of caffeic acid phenethyl ester (CAPE) on pulmonary contusion lung oxidative stress and serum copper and zinc levels in experimental rat model.咖啡酸苯乙酯(CAPE)对实验性大鼠肺挫伤肺氧化应激及血清铜锌水平保护作用的比较分析。
Biol Trace Elem Res. 2013 Jan;151(1):50-8. doi: 10.1007/s12011-012-9505-7. Epub 2012 Sep 27.
8
Protective effect of dexpanthenol on bleomycin-induced pulmonary fibrosis in rats.二羟丙茶碱对博来霉素诱导的大鼠肺纤维化的保护作用。
Naunyn Schmiedebergs Arch Pharmacol. 2013 Dec;386(12):1103-10. doi: 10.1007/s00210-013-0908-6. Epub 2013 Aug 31.
9
Investigation of the effects of three different generations of fluoroquinolone derivatives on antioxidant and immunotoxic enzyme levels in different rat tissues.研究三种不同代氟喹诺酮衍生物对不同大鼠组织抗氧化和免疫毒性酶水平的影响。
Drug Chem Toxicol. 2022 Nov;45(6):2686-2698. doi: 10.1080/01480545.2021.1982624. Epub 2021 Oct 4.
10
[Effect of ulinastatin on oxidative stress and nuclear factor E2-related factor 2 expression in the lung tissues of acute hydrogen sulfide intoxicated rats].[乌司他丁对急性硫化氢中毒大鼠肺组织氧化应激及核因子E2相关因子2表达的影响]
Zhonghua Lao Dong Wei Sheng Zhi Ye Bing Za Zhi. 2012 Jan;30(1):27-32.

引用本文的文献

1
Effects of smoking cessation using varenicline on the serum concentrations of oxidized high-density lipoprotein: Comparison with high-density lipoprotein cholesterol.用伐尼克兰戒烟对氧化型高密度脂蛋白血清浓度的影响:与高密度脂蛋白胆固醇的比较。
PLoS One. 2022 Nov 30;17(11):e0277766. doi: 10.1371/journal.pone.0277766. eCollection 2022.

本文引用的文献

1
Cardiovascular Safety of Varenicline, Bupropion, and Nicotine Patch in Smokers: A Randomized Clinical Trial.伐伦克林、安非他酮和尼古丁贴片在吸烟者中的心血管安全性:一项随机临床试验。
JAMA Intern Med. 2018 May 1;178(5):622-631. doi: 10.1001/jamainternmed.2018.0397.
2
Evaluation of Prolonged Exposure to Varenicline in Adult Rats: Haematological, Biochemical and Anatomopathological Studies.评价盐酸安非他酮在成年大鼠中的长期暴露:血液学、生物化学和解剖病理学研究。
Basic Clin Pharmacol Toxicol. 2018 Mar;122(3):305-309. doi: 10.1111/bcpt.12913. Epub 2017 Oct 18.
3
Use of varenicline for more than 12 months for smoking cessation in heavy chronic obstructive pulmonary disease smokers unmotivated to quit: a pilot study.
对于无戒烟意愿的重度慢性阻塞性肺疾病吸烟者,使用伐尼克兰超过12个月进行戒烟:一项试点研究。
Ther Adv Respir Dis. 2016 Oct;10(5):383-90. doi: 10.1177/1753465816654823. Epub 2016 Jun 27.
4
Varenicline and Adverse Cardiovascular Events: A Systematic Review and Meta-Analysis of Randomized Controlled Trials.伐尼克兰与心血管不良事件:随机对照试验的系统评价与荟萃分析
J Am Heart Assoc. 2016 Feb 22;5(2):e002849. doi: 10.1161/JAHA.115.002849.
5
Evaluation of the cardiovascular effects of varenicline in rats.伐尼克兰对大鼠心血管作用的评估。
Drug Des Devel Ther. 2015 Oct 22;9:5705-17. doi: 10.2147/DDDT.S92268. eCollection 2015.
6
An open-label pilot trial of N-acetylcysteine and varenicline in adult cigarette smokers.N-乙酰半胱氨酸和伐尼克兰用于成年吸烟者的开放标签试验性研究
Am J Drug Alcohol Abuse. 2015 Jan;41(1):52-6. doi: 10.3109/00952990.2014.933839. Epub 2014 Jul 25.
7
Foamy macrophage responses in the rat lung following exposure to inhaled pharmaceuticals: a simple, pragmatic approach for inhaled drug development.大鼠肺部吸入药物暴露后的泡沫巨噬细胞反应:一种用于吸入药物开发的简单、实用方法。
J Appl Toxicol. 2014 Apr;34(4):319-31. doi: 10.1002/jat.2950. Epub 2013 Nov 6.
8
Pharmacological interventions for smoking cessation: an overview and network meta-analysis.戒烟的药物干预:综述与网状Meta分析
Cochrane Database Syst Rev. 2013 May 31;2013(5):CD009329. doi: 10.1002/14651858.CD009329.pub2.
9
Rat's age versus human's age: what is the relationship?大鼠年龄与人类年龄:二者关系如何?
Arq Bras Cir Dig. 2012 Jan-Mar;25(1):49-51. doi: 10.1590/s0102-67202012000100011.
10
Lung function and respiratory symptoms in a 1-year randomized smoking cessation trial of varenicline in COPD patients.在 COPD 患者中进行的为期 1 年的随机戒烟临床试验中,用伐尼克兰治疗对肺功能和呼吸道症状的影响。
Respir Med. 2011 Nov;105(11):1682-90. doi: 10.1016/j.rmed.2011.04.016. Epub 2011 May 31.