Suppr超能文献

原发肿瘤释放富含 ITGBL1 的细胞外囊泡,通过成纤维细胞龛形成促进远端转移瘤生长。

Primary tumors release ITGBL1-rich extracellular vesicles to promote distal metastatic tumor growth through fibroblast-niche formation.

机构信息

Department of Medical Oncology and cancer institute, Shuguang Hospital, Shanghai University of Traditional Chinese Medicine, 201203, Shanghai, China.

Academy of Integrative Medicine, Shanghai University of Traditional Chinese Medicine, 201203, Shanghai, China.

出版信息

Nat Commun. 2020 Mar 5;11(1):1211. doi: 10.1038/s41467-020-14869-x.

Abstract

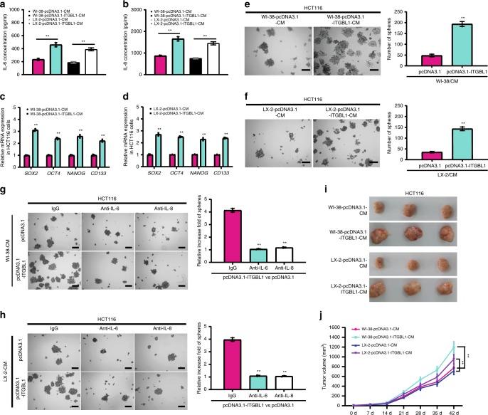
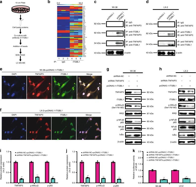
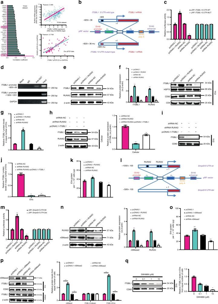
Tumor metastasis is a hallmark of cancer. Metastatic cancer cells often reside in distal tissues and organs in their dormant state. Mechanisms underlying the pre-metastatic niche formation are poorly understood. Here we show that in a colorectal cancer (CRC) model, primary tumors release integrin beta-like 1 (ITGBL1)-rich extracellular vesicles (EVs) to the circulation to activate resident fibroblasts in remote organs. The activated fibroblasts induce the pre-metastatic niche formation and promote metastatic cancer growth by secreting pro-inflammatory cytokine, such as IL-6 and IL-8. Mechanistically, the primary CRC-derived ITGBL1-enriched EVs stimulate the TNFAIP3-mediated NF-κB signaling pathway to activate fibroblasts. Consequently, the activated fibroblasts produce high levels of pro-inflammatory cytokines to promote metastatic cancer growth. These findings uncover a tumor-stromal interaction in the metastatic tumor microenvironment and an intimate signaling communication between primary tumors and metastases through the ITGBL1-loaded EVs. Targeting the EVs-ITGBL1-CAFs-TNFAIP3-NF-κB signaling axis provides an attractive approach for treating metastatic diseases.

摘要

肿瘤转移是癌症的一个标志。转移性癌细胞通常处于休眠状态,存在于远处的组织和器官中。前转移龛形成的机制尚不清楚。在这里,我们发现在结直肠癌(CRC)模型中,原发性肿瘤会将富含整合素β样 1(ITGBL1)的细胞外囊泡(EVs)释放到循环中,以激活远程器官中的常驻成纤维细胞。激活的成纤维细胞通过分泌促炎细胞因子(如 IL-6 和 IL-8)诱导前转移龛形成并促进转移性癌症生长。在机制上,原发性 CRC 衍生的富含 ITGBL1 的 EVs 可刺激 TNFAIP3 介导的 NF-κB 信号通路以激活成纤维细胞。因此,激活的成纤维细胞产生高水平的促炎细胞因子以促进转移性癌症生长。这些发现揭示了转移肿瘤微环境中的肿瘤-基质相互作用,以及通过富含 ITGBL1 的 EV 进行原发性肿瘤和转移之间的密切信号通讯。靶向 EV-ITGBL1-CAFs-TNFAIP3-NF-κB 信号轴为治疗转移性疾病提供了一种有吸引力的方法。

https://cdn.ncbi.nlm.nih.gov/pmc/blobs/6306/7058049/6166a82c2f28/41467_2020_14869_Fig1_HTML.jpg

文献检索

告别复杂PubMed语法,用中文像聊天一样搜索,搜遍4000万医学文献。AI智能推荐,让科研检索更轻松。

立即免费搜索

文件翻译

保留排版,准确专业,支持PDF/Word/PPT等文件格式,支持 12+语言互译。

免费翻译文档

深度研究

AI帮你快速写综述,25分钟生成高质量综述,智能提取关键信息,辅助科研写作。

立即免费体验