• 文献检索
  • 文档翻译
  • 深度研究
  • 学术资讯
  • Suppr Zotero 插件Zotero 插件
  • 邀请有礼
  • 套餐&价格
  • 历史记录
应用&插件
Suppr Zotero 插件Zotero 插件浏览器插件Mac 客户端Windows 客户端微信小程序
定价
高级版会员购买积分包购买API积分包
服务
文献检索文档翻译深度研究API 文档MCP 服务
关于我们
关于 Suppr公司介绍联系我们用户协议隐私条款
关注我们

Suppr 超能文献

核心技术专利:CN118964589B侵权必究
粤ICP备2023148730 号-1Suppr @ 2026

文献检索

告别复杂PubMed语法,用中文像聊天一样搜索,搜遍4000万医学文献。AI智能推荐,让科研检索更轻松。

立即免费搜索

文件翻译

保留排版,准确专业,支持PDF/Word/PPT等文件格式,支持 12+语言互译。

免费翻译文档

深度研究

AI帮你快速写综述,25分钟生成高质量综述,智能提取关键信息,辅助科研写作。

立即免费体验

肠系膜静脉硬化合并淀粉样变性与长期饮用药用酒:一例报告。

Mesenteric phlebosclerosis with amyloidosis in association with the long-term use of medicinal liquor: A case report.

作者信息

Hu Yi-Bing, Hu Min-Li, Ding Jin, Wang Qun-Ying, Yang Xiao-Yun

机构信息

Department of Gastroenterology and Hepatology, Jinhua Municipal Central Hospital, Jinhua Hospital of Zhejiang University, Jinhua 321000, Zhejiang Province, China.

出版信息

World J Clin Cases. 2020 Feb 26;8(4):798-805. doi: 10.12998/wjcc.v8.i4.798.

DOI:10.12998/wjcc.v8.i4.798
PMID:32149063
原文链接:https://pmc.ncbi.nlm.nih.gov/articles/PMC7052551/
Abstract

BACKGROUND

Mesenteric phlebosclerosis (MP) is a rare disease of the colon. The clinical manifestations of this disease are nonspecific and it may easily be misdiagnosed. We report a case of MP with amyloidosis in the colonic vessel walls in a patient with hypertension who had been consuming Chinese medicinal liquor for 10 years. We also review the relevant literature and summarize the characteristics of MP in patients in mainland China.

CASE SUMMARY

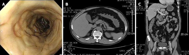
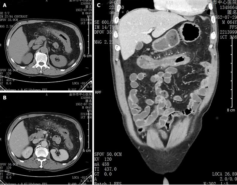
A 64-year-old man was referred to our department from his primary hospital because of abdominal pain, diarrhea, and fever for almost 10 d. Computed tomography showed colon wall thickening, with threadlike calcifications in the mesenteric vein in the transverse colon. Colonoscopy revealed purple-blue mucosa with multiple ulcers in the ascending and transverse colon. Biopsy showed thickening and calcification of the vein walls, perivascular and mucosal collagen degeneration, and amyloidosis. The patient had been consuming Chinese medicinal liquor, mainly that made from gardenia fruit, for 10 years. Based on these results, a diagnosis of MP with amyloidosis was made. After conservative treatment, the patient's discomfort subsided and he was followed closely. The use of Chinese herbal medicine was suspected to play a role in the pathogenesis of MP.

CONCLUSION

The clinical manifestations of MP are nonspecific. Recognition of its typical imaging findings, including multiple calcifications on computed tomography and purple-blue mucosal discoloration on colonoscopy, is vital.

摘要

背景

肠系膜静脉硬化(MP)是一种罕见的结肠疾病。该疾病的临床表现不具有特异性,容易被误诊。我们报告一例患有高血压且饮用中药酒10年的患者,其结肠血管壁出现淀粉样变性的MP病例。我们还回顾了相关文献并总结了中国大陆患者MP的特征。

病例摘要

一名64岁男性因腹痛、腹泻和发热近10天从基层医院转诊至我科。计算机断层扫描显示结肠壁增厚,横结肠肠系膜静脉有丝状钙化。结肠镜检查显示升结肠和横结肠黏膜呈紫蓝色,有多处溃疡。活检显示静脉壁增厚、钙化及血管周围和黏膜胶原变性,还有淀粉样变性。该患者饮用中药酒(主要由栀子果实制成)已有10年。基于这些结果,诊断为伴有淀粉样变性的MP。经过保守治疗,患者的不适症状缓解并接受密切随访。怀疑使用中草药在MP的发病机制中起作用。

结论

MP的临床表现不具有特异性。认识其典型的影像学表现至关重要,包括计算机断层扫描上的多处钙化以及结肠镜检查时黏膜呈紫蓝色。

https://cdn.ncbi.nlm.nih.gov/pmc/blobs/6bc9/7052551/5296e407e14d/WJCC-8-798-g005.jpg
https://cdn.ncbi.nlm.nih.gov/pmc/blobs/6bc9/7052551/16fdd294e5df/WJCC-8-798-g001.jpg
https://cdn.ncbi.nlm.nih.gov/pmc/blobs/6bc9/7052551/5fbce70d0bb2/WJCC-8-798-g002.jpg
https://cdn.ncbi.nlm.nih.gov/pmc/blobs/6bc9/7052551/d924e44fca48/WJCC-8-798-g003.jpg
https://cdn.ncbi.nlm.nih.gov/pmc/blobs/6bc9/7052551/15082814a877/WJCC-8-798-g004.jpg
https://cdn.ncbi.nlm.nih.gov/pmc/blobs/6bc9/7052551/5296e407e14d/WJCC-8-798-g005.jpg
https://cdn.ncbi.nlm.nih.gov/pmc/blobs/6bc9/7052551/16fdd294e5df/WJCC-8-798-g001.jpg
https://cdn.ncbi.nlm.nih.gov/pmc/blobs/6bc9/7052551/5fbce70d0bb2/WJCC-8-798-g002.jpg
https://cdn.ncbi.nlm.nih.gov/pmc/blobs/6bc9/7052551/d924e44fca48/WJCC-8-798-g003.jpg
https://cdn.ncbi.nlm.nih.gov/pmc/blobs/6bc9/7052551/15082814a877/WJCC-8-798-g004.jpg
https://cdn.ncbi.nlm.nih.gov/pmc/blobs/6bc9/7052551/5296e407e14d/WJCC-8-798-g005.jpg

相似文献

1
Mesenteric phlebosclerosis with amyloidosis in association with the long-term use of medicinal liquor: A case report.肠系膜静脉硬化合并淀粉样变性与长期饮用药用酒:一例报告。
World J Clin Cases. 2020 Feb 26;8(4):798-805. doi: 10.12998/wjcc.v8.i4.798.
2
Idiopathic mesenteric phlebosclerosis associated with long-term oral intake of geniposide.特发性肠系膜静脉硬化症与长期口服栀子苷有关。
World J Gastroenterol. 2021 Jun 14;27(22):3097-3108. doi: 10.3748/wjg.v27.i22.3097.
3
Mesenteric Phlebosclerosis Associated with Herbal Medicine.与草药相关的肠系膜静脉硬化
Case Rep Gastroenterol. 2020 Oct 27;14(3):516-521. doi: 10.1159/000508931. eCollection 2020 Sep-Dec.
4
Ascending colon cancer coincident with mesenteric phlebosclerosis associated with the long-term oral intake of Chinese herb containing gardenia fruit: A case report and literature review.升结肠癌合并肠系膜静脉硬化与长期口服含栀子的中药有关:一例报告及文献复习
Int Cancer Conf J. 2017 Feb 25;6(2):70-75. doi: 10.1007/s13691-017-0277-y. eCollection 2017 Apr.
5
Widespread mesenteric phlebosclerosis presenting as intestinal obstruction due to stenosis of the right-sided colon.广泛肠系膜静脉硬化症表现为右半结肠癌狭窄引起的肠梗阻。
Clin J Gastroenterol. 2022 Aug;15(4):717-721. doi: 10.1007/s12328-022-01637-1. Epub 2022 Apr 30.
6
Clinical Search for Undiagnosed Mesenteric Phlebosclerosis at Outpatient Departments Specializing in Herbal (Kampo) Medicine.在汉方(日本传统草药医学)门诊对未确诊的肠系膜静脉硬化进行临床筛查。
Intern Med. 2016;55(6):573-81. doi: 10.2169/internalmedicine.55.5642. Epub 2016 Mar 15.
7
Idiopathic mesenteric phlebosclerosis associated with long-term use of medical liquor: two case reports and literature review.与长期饮用药酒相关的特发性肠系膜静脉硬化:两例报告及文献复习
World J Gastroenterol. 2014 May 14;20(18):5561-6. doi: 10.3748/wjg.v20.i18.5561.
8
Idiopathic mesenteric phlebosclerosis: clinical and CT imaging characteristics.特发性肠系膜静脉硬化:临床及CT影像特征
Quant Imaging Med Surg. 2021 Feb;11(2):763-771. doi: 10.21037/qims-20-301.
9
Idiopathic mesenteric phlebosclerosis occurring in a patient with liver cirrhosis: A case report.特发性肠系膜静脉硬化症发生于肝硬化患者:病例报告。
Medicine (Baltimore). 2024 Mar 15;103(11):e37608. doi: 10.1097/MD.0000000000037608.
10
[Idiopathic mesenteric phlebosclerosis associated with long-term use of Chinese herbs: a case report].[长期使用中药所致特发性肠系膜静脉硬化:1例报告]
Nihon Shokakibyo Gakkai Zasshi. 2012 Sep;109(9):1567-74.

引用本文的文献

1
Phlebosclerosis: An overlooked complication of varicose veins that affects clinical outcome: A case report.静脉硬化:一种影响临床结局的被忽视的静脉曲张并发症:病例报告
World J Clin Cases. 2023 Dec 16;11(35):8404-8410. doi: 10.12998/wjcc.v11.i35.8404.
2
Idiopathic mesenteric phlebosclerosis: one case report and systematic literature review of 240 cases.特发性肠系膜静脉硬化:一例报告及240例病例的系统文献综述
Am J Transl Res. 2021 Nov 15;13(11):13156-13166. eCollection 2021.

本文引用的文献

1
Mesenteric phlebosclerosis causing a polypoid lesion mimicking colorectal carcinoma.肠系膜静脉硬化导致息肉样病变,酷似结直肠癌。
Dig Endosc. 2019 Mar;31(2):211. doi: 10.1111/den.13336. Epub 2019 Jan 24.
2
Early-stage idiopathic mesenteric phlebosclerosis incidentally combined with adenocarcinoma of the ascending colon: A report of two cases.早期特发性肠系膜静脉硬化偶然合并升结肠癌:两例报告
Pathol Int. 2018 Feb;68(2):139-141. doi: 10.1111/pin.12614. Epub 2017 Dec 27.
3
Total dosage of gardenia fruit used by patients with mesenteric phlebosclerosis.
患有肠系膜静脉硬化症患者使用的栀子总剂量。
BMC Complement Altern Med. 2016 Jul 11;16:207. doi: 10.1186/s12906-016-1182-1.
4
A Case of Idiopathic Mesenteric Phlebosclerosis with Progressive Intestinal Necrosis.一例特发性肠系膜静脉硬化伴进行性肠坏死
Tokai J Exp Clin Med. 2016 Jun 20;41(2):70-5.
5
Involvement of herbal medicine as a cause of mesenteric phlebosclerosis: results from a large-scale nationwide survey.草药作为肠系膜静脉硬化病因的相关情况:一项全国性大规模调查的结果
J Gastroenterol. 2017 Mar;52(3):308-314. doi: 10.1007/s00535-016-1218-9. Epub 2016 May 24.
6
Update on Colon Ischemia: Recent Insights and Advances.结肠缺血的最新进展:近期见解与进展
Curr Gastroenterol Rep. 2015 Dec;17(12):45. doi: 10.1007/s11894-015-0469-6.
7
Phlebosclerotic colitis: case report and literature review focused on the radiologic findings in relation to the intake period of toxic material.静脉硬化性结肠炎:病例报告及文献综述,重点关注与有毒物质摄入期相关的放射学表现。
Jpn J Radiol. 2015 Oct;33(10):663-7. doi: 10.1007/s11604-015-0467-5. Epub 2015 Aug 5.
8
A case of phlebosclerotic colitis.
Clin Res Hepatol Gastroenterol. 2015 Dec;39(6):651-2. doi: 10.1016/j.clinre.2015.06.013. Epub 2015 Jul 20.
9
Relationship between severity of venous calcifications and symptoms of phlebosclerotic colitis.静脉钙化严重程度与静脉硬化性结肠炎症状之间的关系。
World J Gastroenterol. 2015 Jul 14;21(26):8148-55. doi: 10.3748/wjg.v21.i26.8148.
10
Development of phlebosclerotic colitis under treatment with Chinese herbal therapy.接受中药治疗期间发生静脉硬化性结肠炎
Intern Med. 2014;53(15):1709-10. doi: 10.2169/internalmedicine.53.2248. Epub 2014 Aug 1.