Departamento de Parasitologia, Instituto de Ciências Biomédicas, Universidade de São Paulo, São Paulo, SP, Brazil.
Faculdade de Medicina, Centro de Ciências Sociais, Saúde e Tecnologia, Universidade Federal do Maranhão, Imperatriz, MA, Brazil.
Sci Adv. 2020 Mar 4;6(10):eaax6346. doi: 10.1126/sciadv.aax6346. eCollection 2020 Mar.
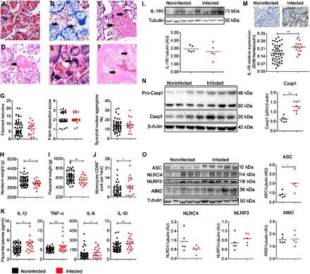
Placental malaria (PM) is associated with severe inflammation leading to abortion, preterm delivery, and intrauterine growth restriction. Innate immunity responses play critical roles, but the mechanisms underlying placental immunopathology are still unclear. Here, we investigated the role of inflammasome activation in PM by scrutinizing human placenta samples from an endemic area and ablating inflammasome components in a PM mouse model. The reduction in birth weight in babies from infected mothers is paralleled by increased placental expression of AIM2 and NLRP3 inflammasomes. Using genetic dissection, we reveal that inflammasome activation pathways are involved in the production and detrimental action of interleukin-1β (IL-1β) in the infected placenta. The IL-1R pharmacological antagonist Anakinra improved pregnancy outcomes by restoring fetal growth and reducing resorption in an experimental model. These findings unveil that IL-1β-mediated signaling is a determinant of PM pathogenesis, suggesting that IL-1R antagonists can improve clinical outcomes of malaria infection in pregnancy.
胎盘疟疾(PM)与严重炎症有关,可导致流产、早产和宫内生长受限。先天免疫反应起着关键作用,但胎盘免疫病理学的机制尚不清楚。在这里,我们通过仔细研究来自流行地区的人胎盘样本和在 PM 小鼠模型中消除炎症小体成分,研究了炎症小体激活在 PM 中的作用。感染母亲所生孩子的出生体重减轻与胎盘中 AIM2 和 NLRP3 炎症小体的表达增加相平行。通过遗传剖析,我们揭示了炎症小体激活途径参与了感染胎盘中白细胞介素-1β(IL-1β)的产生和有害作用。IL-1R 药理学拮抗剂 Anakinra 通过恢复胎儿生长和减少实验模型中的吸收来改善妊娠结局。这些发现揭示了 IL-1β 介导的信号转导是 PM 发病机制的决定因素,表明 IL-1R 拮抗剂可以改善妊娠期间疟疾感染的临床结局。