Kayal Dima, Minkara Samer, Tleiss Faissal
Pediatrics, Lebanese University, Beirut, LBN.
Internal Medicine, Beirut Arab University, Beirut, LBN.
Cureus. 2020 Feb 5;12(2):e6889. doi: 10.7759/cureus.6889.
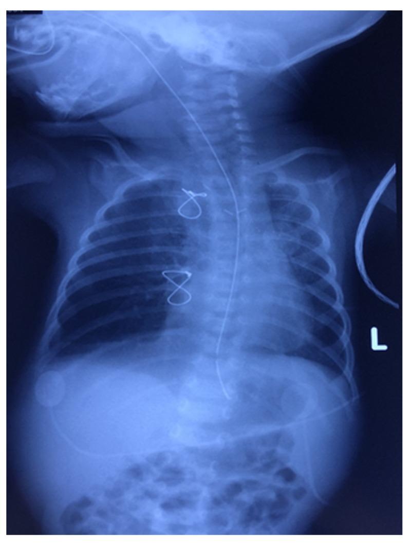
Pulmonary artery sling is a rare cause of neonatal respiratory distress. Most patients with pulmonary artery sling present in early infancy with stridor and signs of respiratory distress. Diagnosis of pulmonary artery sling, like other vascular ring anomalies, can be made using various imaging modalities, and management encompasses urgent surgical repair as a definitive treatment. This is the first paper to report a successfully managed case of an early detected left pulmonary artery sling during the first week of life in a term male patient and to evaluate the diagnostic characteristics in alliance with it. CAse REports (CARE) guidelines were followed for reporting our case. In brief, a case of full-term baby boy was born by normal vaginal delivery and shortly after birth, the baby started to have respiratory distress not improving on O. Chest X-ray revealed right upper lobe atelectasis which persisted despite mechanical ventilation and antibiotics. A thoracic CT scan showed developmental malformation of left main pulmonary artery, confirming the diagnosis of "left pulmonary artery sling." The baby was immediately operated. One week later, chest X-ray showed gradual improvement and the baby was discharged home with no postoperative complications. Hence, we suggest that pulmonary artery sling should be suspected in any neonate with respiratory distress and unilateral lung field opacification. The fact that there are only very few reports on this disease raises a need to establish and implement well-defined guidelines and criteria for early diagnosis and management of pulmonary artery sling among newborns.
肺动脉吊带是新生儿呼吸窘迫的罕见病因。大多数肺动脉吊带患者在婴儿早期出现喘鸣和呼吸窘迫症状。与其他血管环异常一样,肺动脉吊带的诊断可通过多种成像方式进行,治疗包括紧急手术修复作为最终治疗手段。本文首次报道了一例足月男婴在出生第一周被早期检测出左肺动脉吊带并成功治疗的病例,并结合该病例评估诊断特征。本病例报告遵循了病例报告(CARE)指南。简而言之,一名足月男婴通过正常阴道分娩出生,出生后不久,婴儿开始出现呼吸窘迫,吸氧后无改善。胸部X线显示右上叶肺不张,尽管进行了机械通气和使用抗生素,仍持续存在。胸部CT扫描显示左主肺动脉发育畸形,确诊为“左肺动脉吊带”。婴儿立即接受手术。一周后,胸部X线显示逐渐改善,婴儿出院,无术后并发症。因此,我们建议,对于任何出现呼吸窘迫和单侧肺野模糊的新生儿,都应怀疑有肺动脉吊带。关于这种疾病的报道非常少,这就需要建立并实施明确的新生儿肺动脉吊带早期诊断和管理指南及标准。