Suppr超能文献

II型糖尿病患者股骨软骨厚度的超声测量

Ultrasonographic measurement of femoral cartilage thickness in type II diabetic patients.

作者信息

Bedewi Mohamed A, Elsifey Ayman A, Naguib Moheyeldeen F, Saleh Ayman K, Al-Ghamdi Sameer, Alhariqi Bader A, Aldossary Nasser M, Gould Elaine S

机构信息

Department of Internal Medicine, Prince Sattam Bin Abdulaziz university, College of Medicine.

Department of Surgery, Prince Sattam Bin Abdulaziz university, College of Medicine, Kingdom of Saudi Arabia.

出版信息

Medicine (Baltimore). 2020 Apr;99(14):e19455. doi: 10.1097/MD.0000000000019455.

Abstract

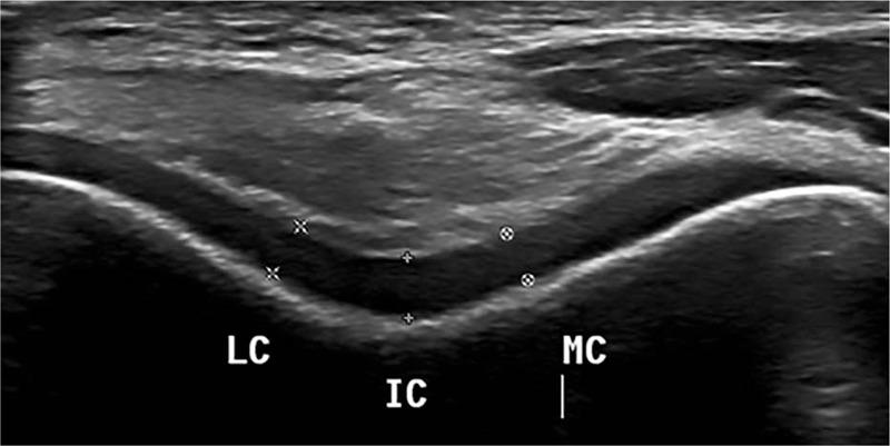
The aim of this study is to compare the distal femoral cartilage thickness of patients with type II diabetes mellitus with those of healthy subjects using ultrasonography. The study comprised 34 patients and 36 healthy subjects. Demographic characteristics of all the participants were recorded. The thickness of the femoral articular cartilage was measured using a 5-18MHzlinearprobe.Measurements were performed bilaterally from three points (intercondylar area, medial condyle, and lateral condyle). No significant difference could be found between patients and healthy subjects. Two demographic characteristics correlated positively with diabetic patients.

摘要

本研究的目的是使用超声检查比较II型糖尿病患者与健康受试者的股骨远端软骨厚度。该研究包括34例患者和36名健康受试者。记录了所有参与者的人口统计学特征。使用5-18MHz线性探头测量股骨关节软骨的厚度。从三个点(髁间区域、内侧髁和外侧髁)进行双侧测量。患者与健康受试者之间未发现显著差异。有两个人口统计学特征与糖尿病患者呈正相关。

https://cdn.ncbi.nlm.nih.gov/pmc/blobs/ca4d/7220742/824ea6dfe8d7/medi-99-e19455-g001.jpg

文献检索

告别复杂PubMed语法,用中文像聊天一样搜索,搜遍4000万医学文献。AI智能推荐,让科研检索更轻松。

立即免费搜索

文件翻译

保留排版,准确专业,支持PDF/Word/PPT等文件格式,支持 12+语言互译。

免费翻译文档

深度研究

AI帮你快速写综述,25分钟生成高质量综述,智能提取关键信息,辅助科研写作。

立即免费体验