Suppr超能文献

伴有甲状腺受累的三发性异时性恶性肿瘤:基于20年机构经验的5例病例报告简要概述

Triple Metachronous Malignancies with Thyroid Involvement: A Brief Overview of Five Case Reports over 20 Years of Institutional Experience.

作者信息

Bădan Marius-Ioan, Piciu Doina

机构信息

Department of Morphological Sciences, Iuliu Hațieganu University of Medicine and Pharmacy, 400012 Cluj-Napoca, Romania.

Department of Endocrinology and Nuclear Medicine, "Prof. Dr. Ion Chiricuta" Institute of Oncology, 400015 Cluj-Napoca, Romania.

出版信息

Diagnostics (Basel). 2020 Mar 20;10(3):168. doi: 10.3390/diagnostics10030168.

Abstract

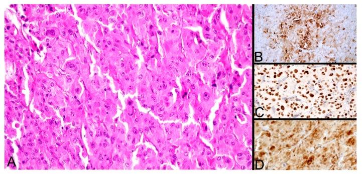
Multiple primary malignant tumors are defined by the development of more than one malignancy in a single patient. These can be subdivided into synchronous or metachronous malignant tumors, depending on their time of appearance, relative to the first malignancy. Triple primary malignancies are a relatively rare occurrence in day-to-day practice and triple synchronous or metachronous carcinomas involving a thyroid localization are even less common. In this case series, we report our 20-year experience in diagnosing and managing five patients with triple malignant tumors with thyroid involvement.

摘要

多原发性恶性肿瘤是指在单个患者中发生一种以上恶性肿瘤。根据它们相对于首次发生的恶性肿瘤的出现时间,可将其细分为同时性或异时性恶性肿瘤。三原发性恶性肿瘤在日常实践中相对少见,而涉及甲状腺定位的三发性同时性或异时性癌则更为罕见。在本病例系列中,我们报告了我们在诊断和管理5例伴有甲状腺受累的三发性恶性肿瘤患者方面的20年经验。

https://cdn.ncbi.nlm.nih.gov/pmc/blobs/18a8/7151349/e493954297f1/diagnostics-10-00168-g001.jpg

文献检索

告别复杂PubMed语法,用中文像聊天一样搜索,搜遍4000万医学文献。AI智能推荐,让科研检索更轻松。

立即免费搜索

文件翻译

保留排版,准确专业,支持PDF/Word/PPT等文件格式,支持 12+语言互译。

免费翻译文档

深度研究

AI帮你快速写综述,25分钟生成高质量综述,智能提取关键信息,辅助科研写作。

立即免费体验