Suppr超能文献

细胞内胶原纤维:来自肌腱成纤维细胞和成纤维细胞瘤细胞实验的细胞内来源证据。

Intracellular collagen fibrils: evidence of an intracellular source from experiments with tendon fibroblasts and fibroblastic tumour cells.

作者信息

Michna H

机构信息

Institut für Anatomie, Medizinischen Universität zu Lübeck, Federal Republic of Germany.

出版信息

J Anat. 1988 Jun;158:1-12.

Abstract

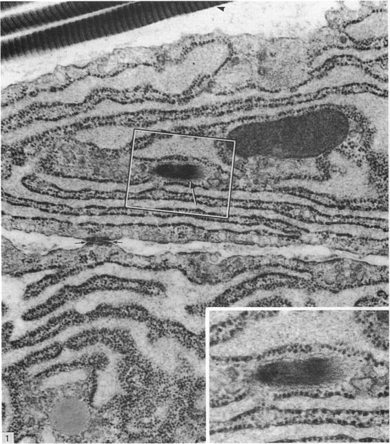
This study was designed to substantiate one or both of the two hypotheses for the explanation of intracellular collagen fibrils in collagen-producing cells. The more obvious is the phagocytosis of extracellular collagen fibrils by the cell and the other is a form of autophagocytosis of newly synthesised collagenous products. Information was collected on fibroblasts from murine tendons after exercise and simultaneously stimulating collagen synthesis by treatment with an anabolic steroid hormone. Moreover, in vivo and in vitro fibroblastic tumour cells which demonstrate enhanced protein synthesis were also treated with the anabolic steroid. The findings of intracellular collagen fibrils in tendon fibroblasts and the sarcoma cells after experimentally stimulating collagen synthesis are discussed in the light of the hypothesis that the findings may represent steps of autophagocytosis of newly synthesised collagenous products in the absence of a control mechanism to remove collagenous products which cannot be secreted.

摘要

本研究旨在证实用于解释胶原生成细胞内胶原纤维的两个假设中的一个或两个。较明显的一个假设是细胞对细胞外胶原纤维的吞噬作用,另一个假设是新合成的胶原产物的一种自噬形式。在运动后从小鼠肌腱的成纤维细胞收集信息,并同时用合成代谢类固醇激素处理以刺激胶原合成。此外,对显示出增强蛋白质合成的体内和体外成纤维细胞瘤细胞也用合成代谢类固醇进行处理。根据这一假设,即这些发现可能代表在缺乏去除无法分泌的胶原产物的控制机制的情况下,新合成的胶原产物自噬过程中的步骤,对实验性刺激胶原合成后肌腱成纤维细胞和肉瘤细胞内胶原纤维的发现进行了讨论。

https://cdn.ncbi.nlm.nih.gov/pmc/blobs/4360/1261972/6f435fdba475/janat00174-0012-a.jpg

文献AI研究员

20分钟写一篇综述,助力文献阅读效率提升50倍。

立即体验

用中文搜PubMed

大模型驱动的PubMed中文搜索引擎

马上搜索

文档翻译

学术文献翻译模型,支持多种主流文档格式。

立即体验