Suppr超能文献

膀胱原发性发育异常的临床病理学重要性

Clinicopathological importance of primary dysplasia of bladder.

作者信息

Zuk R J, Rogers H S, Martin J E, Baithun S I

机构信息

University Department of Morbid Anatomy, London Hospital, Whitechapel.

出版信息

J Clin Pathol. 1988 Dec;41(12):1277-80. doi: 10.1136/jcp.41.12.1277.

Abstract

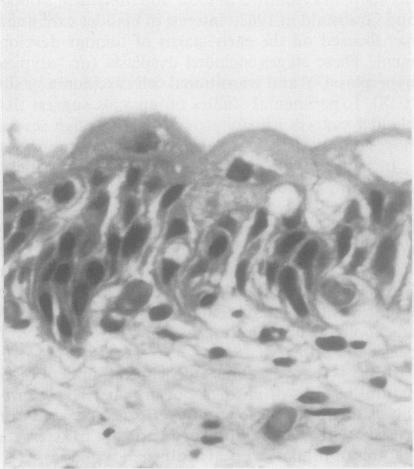
A retrospective study of 15 patients with primary dysplasia of bladder urothelium was performed in an attempt to clarify some of the clinical and histopathological features. The lesion occurs predominantly in middle aged men who present with irritative bladder symptoms with or without haematuria and show no evidence of bacteriological urinary tract infection. Appearances at cystoscopy are non-specific. Thirteen patients showed no progression to carcinoma in situ after a long period of follow up, but primary dysplasia cannot be regarded as an entirely innocuous condition as the remaining two patients did develop carcinoma in situ. The grade of dysplasia on presentation bears no relation to the final outcome. Regular cytological analysis of urine seems to be the best means of follow up, and more active treatment does not seem to be justified.

摘要

对15例原发性膀胱尿路上皮发育异常患者进行了回顾性研究,以明确一些临床和组织病理学特征。该病变主要发生在中年男性,表现为膀胱刺激症状,伴或不伴血尿,且无细菌性尿路感染证据。膀胱镜检查表现无特异性。13例患者经过长期随访未进展为原位癌,但原发性发育异常不能被视为完全无害的情况,因为其余2例患者确实发生了原位癌。初次出现时发育异常的分级与最终结果无关。定期尿液细胞学分析似乎是最佳的随访手段,积极治疗似乎没有依据。

https://cdn.ncbi.nlm.nih.gov/pmc/blobs/c152/1141760/2788a9a2b733/jclinpath00344-0030-a.jpg

文献AI研究员

20分钟写一篇综述,助力文献阅读效率提升50倍。

立即体验

用中文搜PubMed

大模型驱动的PubMed中文搜索引擎

马上搜索

文档翻译

学术文献翻译模型,支持多种主流文档格式。

立即体验