Suppr超能文献

基于用于检测麻风病临床类型中抗体的PGL-I类碳水化合物肽的生物技术和免疫平台。

Biotechnological and Immunological Platforms Based on PGL-I Carbohydrate-Like Peptide of for Antibodies Detection Among Leprosy Clinical Forms.

作者信息

Lima Mayara Ingrid Sousa, Capparelli Fausto Emilio, Dias Oliveira Jaqueline das Dores, Fujimura Patrícia Tiemi, Moraes Emilly Caroline Dos Santos, Araujo Ester Cristina Borges, Silva Neide Maria, Alves-Balvedi Renata Pereira, Brito-Madurro Ana Graci, Goulart Isabela Maria Bernardes, Goulart Luiz Ricardo

机构信息

Laboratory of Genetics and Molecular Biology, Department of Biology, Federal University of Maranhão, São Luís, Brazil.

Laboratory of Nanobiotechnology, Institute of Biotechnology, Federal University of Uberlândia, Uberlândia, Brazil.

出版信息

Front Microbiol. 2020 Mar 17;11:429. doi: 10.3389/fmicb.2020.00429. eCollection 2020.

Abstract

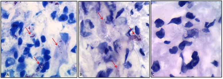
Phenolic glycolipid I (PGL-I) is an abundant antigen on the cell wall, commonly used for operational classification of leprosy patients. Our aim was to develop PGL-I mimotopes with similar characteristics and functions of the native antigen. We have used a random peptide () library for selections against the monoclonal antibody anti-PGL-I. After three selection cycles, six peptides were identified. All sequences were interspersed by a spacer generating a chimeric peptide (PGLI-M3) that was artificially synthesized. The highly reactive peptide was submitted to a reverse selection with a single-chain Fv (scFv) antibody fragment combinatorial library. The most reactive scFv was then validated by enzyme-linked immunosorbent assay (ELISA) against both native PGL-I and two derived synthetic (NDO and ND-O-HSA). We have further proved the scFv specificity by detecting bacilli in leprosy lesions through immunohistochemistry. We then described its applicability in ELISA for all clinical forms and household contacts (HC). Afterward, we showed differential binding affinities of PGLI-M3 to sera (anti-PGL-I IgM) from all leprosy clinical forms through surface plasmon resonance (SPR). ELISA IgM detection showed 89.1% sensitivity and 100% specificity, considering all clinical forms. Positivity for anti-PGL-I IgM was twofold higher in both HC and patients with paucibacillary forms in hyperendemic regions than in endemic ones. The SPR immunosensor was able to differentiate clinical forms with 100% accuracy. This is the first time that a PGL-I mimotope has efficiently mimicked the carbohydrate group of the antigen with successful immunoassay applications and may become a substitute for the native antigen.

摘要

酚糖脂I(PGL-I)是细胞壁上一种丰富的抗原,常用于麻风病患者的临床分类。我们的目标是开发具有与天然抗原相似特征和功能的PGL-I模拟表位。我们使用了一个随机肽库,针对抗PGL-I单克隆抗体进行筛选。经过三轮筛选,鉴定出六个肽段。所有序列都被一个间隔序列隔开,形成一个人工合成的嵌合肽(PGLI-M3)。将高反应性肽段与单链Fv(scFv)抗体片段组合库进行反向筛选。然后通过酶联免疫吸附测定(ELISA)针对天然PGL-I以及两种衍生合成物(NDO和ND-O-HSA)对反应性最强的scFv进行验证。我们通过免疫组织化学检测麻风病病变中的杆菌,进一步证明了scFv的特异性。然后我们描述了其在ELISA中对所有临床类型和家庭接触者(HC)的适用性。之后,我们通过表面等离子体共振(SPR)显示了PGLI-M3对所有麻风病临床类型血清(抗PGL-I IgM)的不同结合亲和力。考虑到所有临床类型,ELISA IgM检测显示敏感性为89.1%,特异性为100%。在高度流行地区,HC和少菌型患者中抗PGL-I IgM的阳性率是流行地区的两倍。SPR免疫传感器能够以100%的准确率区分临床类型。这是首次有PGL-I模拟表位有效模拟该抗原的碳水化合物基团,并成功应用于免疫测定,可能成为天然抗原的替代品。

https://cdn.ncbi.nlm.nih.gov/pmc/blobs/edeb/7092704/7b9c1d5f20ba/fmicb-11-00429-g001.jpg

文献检索

告别复杂PubMed语法,用中文像聊天一样搜索,搜遍4000万医学文献。AI智能推荐,让科研检索更轻松。

立即免费搜索

文件翻译

保留排版,准确专业,支持PDF/Word/PPT等文件格式,支持 12+语言互译。

免费翻译文档

深度研究

AI帮你快速写综述,25分钟生成高质量综述,智能提取关键信息,辅助科研写作。

立即免费体验