Suppr超能文献

广泛心包受累的 Erdheim-Chester 病:一例报告及系统评价

Erdheim-Chester Disease With Extensive Pericardial Involvement: A Case Report and Systematic Review.

作者信息

Sanchez-Nadales Alejandro, Anampa-Guzman Andrea, Navarro-Motta Jessica

机构信息

Department of Medicine, Advocate Illinois Masonic Medical Center, Chicago, IL, USA.

Sociedad Cientifica de San Fernando, Faculty of Medicine, Universidad Nacional Mayor de San Marcos, Lima, Peru.

出版信息

Cardiol Res. 2020 Apr;11(2):118-128. doi: 10.14740/cr1025. Epub 2020 Mar 10.

Abstract

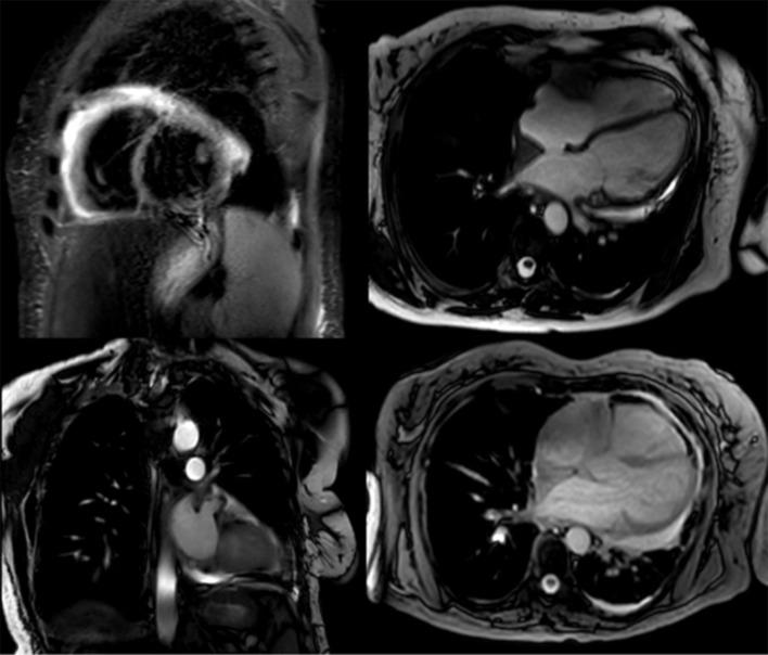
Erdheim-Chester disease (ECD) is a rare non-Langerhans cell histiocytosis characterized by systemic xanthogranulomatous infiltration. We described the case of a female adult presenting with pericardial effusion. Pericardial infiltration is the most frequent cardiac manifestation of ECD and is the one discussed in this article. We found that the majority of patients with pericardial infiltration needed a cardiovascular procedure.

摘要

Erdheim-Chester病(ECD)是一种罕见的非朗格汉斯细胞组织细胞增多症,其特征为全身性黄色瘤样肉芽肿浸润。我们描述了一例出现心包积液的成年女性病例。心包浸润是ECD最常见的心脏表现,也是本文所讨论的内容。我们发现,大多数有心包浸润的患者需要进行心血管手术。

https://cdn.ncbi.nlm.nih.gov/pmc/blobs/7203/7092773/071385541c79/cr-11-118-g001.jpg

文献检索

告别复杂PubMed语法,用中文像聊天一样搜索,搜遍4000万医学文献。AI智能推荐,让科研检索更轻松。

立即免费搜索

文件翻译

保留排版,准确专业,支持PDF/Word/PPT等文件格式,支持 12+语言互译。

免费翻译文档

深度研究

AI帮你快速写综述,25分钟生成高质量综述,智能提取关键信息,辅助科研写作。

立即免费体验