• 文献检索
  • 文档翻译
  • 深度研究
  • 学术资讯
  • Suppr Zotero 插件Zotero 插件
  • 邀请有礼
  • 套餐&价格
  • 历史记录
应用&插件
Suppr Zotero 插件Zotero 插件浏览器插件Mac 客户端Windows 客户端微信小程序
定价
高级版会员购买积分包购买API积分包
服务
文献检索文档翻译深度研究API 文档MCP 服务
关于我们
关于 Suppr公司介绍联系我们用户协议隐私条款
关注我们

Suppr 超能文献

核心技术专利:CN118964589B侵权必究
粤ICP备2023148730 号-1Suppr @ 2026

文献检索

告别复杂PubMed语法,用中文像聊天一样搜索,搜遍4000万医学文献。AI智能推荐,让科研检索更轻松。

立即免费搜索

文件翻译

保留排版,准确专业,支持PDF/Word/PPT等文件格式,支持 12+语言互译。

免费翻译文档

深度研究

AI帮你快速写综述,25分钟生成高质量综述,智能提取关键信息,辅助科研写作。

立即免费体验

原发性结直肠平滑肌肉瘤的肠系膜淋巴结复发

Mesenteric Lymph Node Recurrence of a Primary Colorectal Leiomyosarcoma.

作者信息

Beauchamp Amélie, Hajjar Roy, Khullar Sharmila, Latour Mathieu, Schwenter Frank, Sebajang Herawaty

机构信息

Department of Surgery, Université de Montréal, Montreal, Canada.

Digestive Surgery Service, Department of Surgery, Centre Hospitalier de l'Université de Montréal (CHUM), Montreal, Canada.

出版信息

Case Rep Surg. 2020 Mar 23;2020:6935834. doi: 10.1155/2020/6935834. eCollection 2020.

DOI:10.1155/2020/6935834
PMID:32257499
原文链接:https://pmc.ncbi.nlm.nih.gov/articles/PMC7125469/
Abstract

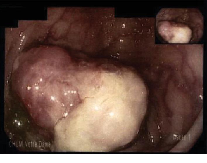
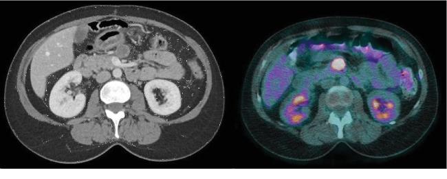
Primary colorectal leiomyosarcoma is an excessively rare entity. It is associated with an aggressive behavior and typically favor hematogenous spread. The current standard of care is surgical resection. A 49-year-old patient presented with a 2-month history of fever. A PET-scan revealed a hypermetabolic mass in the transverse colon, and colonoscopy confirmed a tumor. A right hemicolectomy was performed. Histopathological diagnosis was of a leiomyosarcoma. Fourteen months after the surgery, a follow-up abdominal scan revealed a 2 cm mesenteric lymph node that was hypermetabolic on PET-scan. The mesenteric lymph node was resected and histopathology confirmed a leiomyosarcoma metastasis. This case opens the controversy on the management of rare lymph node recurrences in colorectal leiomyosarcoma.

摘要

原发性结直肠平滑肌肉瘤是一种极其罕见的疾病。它具有侵袭性,通常倾向于血行转移。目前的标准治疗方法是手术切除。一名49岁患者有2个月的发热病史。PET扫描显示横结肠有一个高代谢肿块,结肠镜检查证实为肿瘤。进行了右半结肠切除术。组织病理学诊断为平滑肌肉瘤。手术后14个月,腹部随访扫描显示一个2厘米的肠系膜淋巴结,PET扫描显示其代谢活跃。切除该肠系膜淋巴结,组织病理学证实为平滑肌肉瘤转移。该病例引发了关于结直肠平滑肌肉瘤罕见淋巴结复发治疗的争议。

https://cdn.ncbi.nlm.nih.gov/pmc/blobs/45a7/7125469/85d45bee9daa/CRIS2020-6935834.005.jpg
https://cdn.ncbi.nlm.nih.gov/pmc/blobs/45a7/7125469/644cfe4fcf65/CRIS2020-6935834.001.jpg
https://cdn.ncbi.nlm.nih.gov/pmc/blobs/45a7/7125469/7e11ba29d28f/CRIS2020-6935834.002.jpg
https://cdn.ncbi.nlm.nih.gov/pmc/blobs/45a7/7125469/55ac8eb2b2d1/CRIS2020-6935834.003.jpg
https://cdn.ncbi.nlm.nih.gov/pmc/blobs/45a7/7125469/fc4b7ea99dc1/CRIS2020-6935834.004.jpg
https://cdn.ncbi.nlm.nih.gov/pmc/blobs/45a7/7125469/85d45bee9daa/CRIS2020-6935834.005.jpg
https://cdn.ncbi.nlm.nih.gov/pmc/blobs/45a7/7125469/644cfe4fcf65/CRIS2020-6935834.001.jpg
https://cdn.ncbi.nlm.nih.gov/pmc/blobs/45a7/7125469/7e11ba29d28f/CRIS2020-6935834.002.jpg
https://cdn.ncbi.nlm.nih.gov/pmc/blobs/45a7/7125469/55ac8eb2b2d1/CRIS2020-6935834.003.jpg
https://cdn.ncbi.nlm.nih.gov/pmc/blobs/45a7/7125469/fc4b7ea99dc1/CRIS2020-6935834.004.jpg
https://cdn.ncbi.nlm.nih.gov/pmc/blobs/45a7/7125469/85d45bee9daa/CRIS2020-6935834.005.jpg

相似文献

1
Mesenteric Lymph Node Recurrence of a Primary Colorectal Leiomyosarcoma.原发性结直肠平滑肌肉瘤的肠系膜淋巴结复发
Case Rep Surg. 2020 Mar 23;2020:6935834. doi: 10.1155/2020/6935834. eCollection 2020.
2
Leiomyosarcoma of the transverse colon with lymph node metastasis and malignant transformation: a case report.横结肠平滑肌肉瘤伴淋巴结转移及恶性转化:一例报告
Surg Case Rep. 2020 Oct 2;6(1):256. doi: 10.1186/s40792-020-00998-4.
3
Giant leiomyosarcoma of the rectum with lymph node metastasis: A case report and review of the literature.伴有淋巴结转移的直肠巨大平滑肌肉瘤:病例报告及文献复习
Int J Surg Case Rep. 2017;34:27-31. doi: 10.1016/j.ijscr.2017.03.008. Epub 2017 Mar 8.
4
Primary adrenal leiomyosarcoma with lymph node metastasis: a case report.原发性肾上腺平滑肌肉瘤伴淋巴结转移:一例报告
World J Surg Oncol. 2016 Jul 2;14(1):176. doi: 10.1186/s12957-016-0936-z.
5
Spontaneous regression of advanced transverse colon cancer with remaining lymph node metastasis.伴有残留淋巴结转移的晚期横结肠癌自发消退
Surg Case Rep. 2020 May 11;6(1):100. doi: 10.1186/s40792-020-00858-1.
6
Primary leiomyosarcoma of the pancreas.胰腺原发性平滑肌肉瘤
J Korean Surg Soc. 2011 Dec;81 Suppl 1(Suppl 1):S69-73. doi: 10.4174/jkss.2011.81.Suppl1.S69. Epub 2011 Nov 25.
7
A case report of primary pancreatic leiomyosarcoma requiring six additional resections for recurrences.一例原发性胰腺平滑肌肉瘤病例报告,该病例因复发需额外进行六次切除术。
Int J Surg Case Rep. 2017;41:272-276. doi: 10.1016/j.ijscr.2017.10.039. Epub 2017 Oct 27.
8
Metachronous mediastinal lymph node metastasis from ascending colon cancer: A case report and literature review.升结肠癌异时性纵隔淋巴结转移:1例报告并文献复习
Int J Surg Case Rep. 2017;41:336-339. doi: 10.1016/j.ijscr.2017.11.008. Epub 2017 Nov 9.
9
[Mesenteric recurrence of leiomyosarcoma of the kidney seven years after the first operation - a case report].
Gan To Kagaku Ryoho. 2014 Nov;41(12):2465-7.
10
[A Case of Resection of Para-Aortic Lymph Node Recurrence and Peritoneal Recurrence Following Sigmoid Colon Cancer Surgery].[1例乙状结肠癌术后主动脉旁淋巴结复发及腹膜复发的切除术病例]
Gan To Kagaku Ryoho. 2015 Nov;42(12):1603-5.

引用本文的文献

1
A Case of Colon Leiomyosarcoma Arising from the Muscularis Mucosae: A Case Report and Literature Review.一例源于黏膜肌层的结肠平滑肌肉瘤:病例报告及文献复习
Surg Case Rep. 2025;11(1). doi: 10.70352/scrj.cr.25-0146. Epub 2025 Jul 2.
2
Colorectal Leiomyosarcoma: Demographics Patterns, Treatment Characteristics, and Survival Analysis in the U.S. Population.结直肠平滑肌肉瘤:美国人群的人口统计学模式、治疗特征和生存分析。
J Gastrointest Cancer. 2024 Dec;55(4):1588-1597. doi: 10.1007/s12029-024-01110-x. Epub 2024 Aug 27.
3
Anal leiomyosarcoma: A case report and review of literature.

本文引用的文献

1
Laparoscopic surgery to treat leiomyosarcomas of the sigmoid colon:a case report and literature review.腹腔镜手术治疗乙状结肠平滑肌肉瘤:1例报告及文献复习
Surg Case Rep. 2019 Feb 12;5(1):20. doi: 10.1186/s40792-019-0579-8.
2
Colorectal sarcoma: more than a gastrointestinal stromal tumor.结直肠肉瘤:不仅仅是胃肠道间质瘤。
Transl Gastroenterol Hepatol. 2018 Jul 16;3:42. doi: 10.21037/tgh.2018.07.05. eCollection 2018.
3
Primary Leiomyosarcoma of the Colon: A Report of Two Cases, Review of the Literature, and Association with Immunosuppression for IBD and Rheumatoid Arthritis.
肛管平滑肌肉瘤:一例病例报告及文献复习
Int J Surg Case Rep. 2023 Sep;110:108744. doi: 10.1016/j.ijscr.2023.108744. Epub 2023 Sep 1.
4
High grade leiomyosarcoma of the transverse colon with positive lymph node metastasis: to treat or not to treat with adjuvant radiation therapy?升结肠癌高级别平滑肌肉瘤伴淋巴结转移:是否需要辅助放疗?
BMJ Case Rep. 2023 Jun 19;16(6):e253466. doi: 10.1136/bcr-2022-253466.
5
Colorectal leiomyosarcoma: A case report.结直肠平滑肌肉瘤:一例报告。
Radiol Case Rep. 2022 Jun 7;17(8):2812-2814. doi: 10.1016/j.radcr.2022.05.023. eCollection 2022 Aug.
6
Laparoscopic Right Hemicolectomy to Curatively Treat Primary Leiomyosarcoma at the Ileocecal Valve.腹腔镜右半结肠切除术根治性治疗回盲部原发性平滑肌肉瘤
ACG Case Rep J. 2021 Oct 5;8(9):e00670. doi: 10.14309/crj.0000000000000670. eCollection 2021 Sep.
7
Leiomyosarcoma of the rectosigmoid junction, a case report.直肠乙状结肠交界处平滑肌肉瘤,一例报告。
Radiol Case Rep. 2020 Aug 14;15(10):1887-1890. doi: 10.1016/j.radcr.2020.07.052. eCollection 2020 Oct.
结肠原发性平滑肌肉瘤:两例报告、文献综述以及与炎症性肠病和类风湿关节炎免疫抑制的关联
Case Rep Surg. 2018 Jan 30;2018:6824643. doi: 10.1155/2018/6824643. eCollection 2018.
4
Primary leiomyosarcoma in the colon: A case report.结肠原发性平滑肌肉瘤:一例报告。
Medicine (Baltimore). 2018 Feb;97(7):e9923. doi: 10.1097/MD.0000000000009923.
5
Giant leiomyosarcoma of the rectum with lymph node metastasis: A case report and review of the literature.伴有淋巴结转移的直肠巨大平滑肌肉瘤:病例报告及文献复习
Int J Surg Case Rep. 2017;34:27-31. doi: 10.1016/j.ijscr.2017.03.008. Epub 2017 Mar 8.
6
Outcomes of Primary Colorectal Sarcoma: A National Cancer Data Base (NCDB) Review.原发性结直肠癌肉瘤的治疗结果:一项国家癌症数据库(NCDB)综述
J Gastrointest Surg. 2017 Mar;21(3):560-568. doi: 10.1007/s11605-016-3347-0. Epub 2017 Jan 17.
7
A Rare Case of Colonic Leiomyosarcoma in Association with Ulcerative Colitis.1例罕见的结肠平滑肌肉瘤合并溃疡性结肠炎病例
Intern Med. 2016;55(19):2799-2803. doi: 10.2169/internalmedicine.55.6770. Epub 2016 Oct 1.
8
Unusual evolution of leiomyosarcoma of the rectum: a case report and review of the literature.直肠平滑肌肉瘤的罕见演变:一例病例报告及文献复习
J Med Case Rep. 2016 Sep 15;10(1):249. doi: 10.1186/s13256-016-1047-8.
9
Liver resection for metastatic colorectal leiomyosarcoma: a single center experience.转移性结直肠平滑肌肉瘤的肝切除术:单中心经验
J Gastrointest Oncol. 2015 Oct;6(5):E70-6. doi: 10.3978/j.issn.2078-6891.2015.044.
10
Primary leiomyosarcoma of the colon.结肠原发性平滑肌肉瘤
Clin J Gastroenterol. 2015 Aug;8(4):217-22. doi: 10.1007/s12328-015-0584-9. Epub 2015 Jul 25.