Suppr超能文献

一名类风湿性关节炎和终末期肾病患者的淀粉样变甲状腺肿

Amyloid Goiter in a Patient with Rheumatoid Arthritis and End-Stage Renal Disease.

作者信息

Şeker Ayşe, Erkinüresin Taşkin, Demirci Hakan

机构信息

Department of Nephrology, Yuksek Ihtisas Educational and Research Hospital, Bursa, Turkey.

Department of Pathology, Yuksek Ihtisas Educational and Research Hospital, Bursa, Turkey.

出版信息

Indian J Nephrol. 2020 Mar-Apr;30(2):125-128. doi: 10.4103/ijn.IJN_271_18. Epub 2020 Feb 19.

Abstract

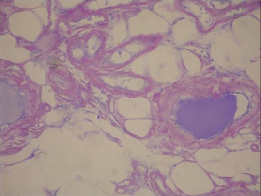
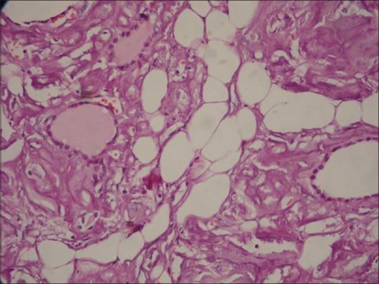
The association between amyloidosis and collagen vascular diseases, such as rheumatoid arthritis (RA) is well-documented. Amyloid goiter is an extremely rare pathologic condition caused by a massive amyloid infiltration of the thyroid tissue. Our patient had been diagnosed with RA 20 years ago and was on hemodialysis for 7 years. He was assessed for decreased appetite, dysphagia, and nausea during the hemodialysis. On physical examination, the thyroid was diffusely enlarged with multiple nodules. He was biochemically euthyroid. Ultrasound of the thyroid gland showed multinodular goiter. A total thyroidectomy was performed. Histopathological examination showed dilated follicles surrounded by abundant homogeneous substance that stained positive with Congo red. The patient was reported as amyloid goiter. Complaints of the patient improved after the surgery. In the literature, amyloid goiter with RA in a hemodialysis patient is very rare. Amyloid goiter should be considered if there is a rapid thyromegaly causing pressure symptoms in the background of any disease with chronic inflammation.

摘要

淀粉样变性与胶原血管疾病(如类风湿关节炎(RA))之间的关联已有充分记录。淀粉样甲状腺肿是一种极为罕见的病理状况,由甲状腺组织的大量淀粉样蛋白浸润所致。我们的患者20年前被诊断为RA,已接受7年血液透析。在血液透析期间,对其进行了食欲减退、吞咽困难和恶心的评估。体格检查发现甲状腺弥漫性肿大,有多个结节。生化检查显示甲状腺功能正常。甲状腺超声显示为结节性甲状腺肿。遂行甲状腺全切除术。组织病理学检查显示滤泡扩张,周围有大量均匀物质,刚果红染色呈阳性。该患者被诊断为淀粉样甲状腺肿。术后患者的症状有所改善。在文献中,血液透析患者合并RA的淀粉样甲状腺肿非常罕见。在任何伴有慢性炎症的疾病背景下,如果出现导致压迫症状的快速甲状腺肿大,应考虑淀粉样甲状腺肿。

https://cdn.ncbi.nlm.nih.gov/pmc/blobs/3d83/7132848/afa404e2efe7/IJN-30-125-g001.jpg

相似文献

1
Amyloid Goiter in a Patient with Rheumatoid Arthritis and End-Stage Renal Disease.
Indian J Nephrol. 2020 Mar-Apr;30(2):125-128. doi: 10.4103/ijn.IJN_271_18. Epub 2020 Feb 19.
3
Co-occurrence of Amyloid Goiter and Adipose Metaplasia in a Patient With History of Pulmonary Tuberculosis: A Case Report.
Cureus. 2023 Mar 11;15(3):e36008. doi: 10.7759/cureus.36008. eCollection 2023 Mar.
5
Amyloid goiter associated with amyloidosis secondary to rheumatoid arthritis.
Case Rep Med. 2013;2013:792413. doi: 10.1155/2013/792413. Epub 2013 Dec 4.
6
Nodular goiter with amyloid deposition in an elderly patient: fine-needle cytology diagnosis and review of the literature.
BMC Surg. 2013;13 Suppl 2(Suppl 2):S43. doi: 10.1186/1471-2482-13-S2-S43. Epub 2013 Oct 8.
7
A rare case of primary thyroid amyloidosis.
Int J Surg Case Rep. 2018;53:179-181. doi: 10.1016/j.ijscr.2018.10.033. Epub 2018 Oct 25.
8
Amyloid goiter: report of two cases and review of the literature.
Endocr Pract. 2000 Jul-Aug;6(4):318-23. doi: 10.4158/EP.6.4.318.
9
Amyloid goiter related with Crohn's disease: A rare association: Amyloid goiter secondary to Crohn's disease.
Int J Surg Case Rep. 2014;5(8):480-3. doi: 10.1016/j.ijscr.2014.06.004. Epub 2014 Jun 10.
10
Rapidly progressive thyroid mass: amyloid goiter.
J Craniofac Surg. 2012 Nov;23(6):e555-6. doi: 10.1097/SCS.0b013e31825cef34.

引用本文的文献

1
Co-occurrence of Amyloid Goiter and Adipose Metaplasia in a Patient With History of Pulmonary Tuberculosis: A Case Report.
Cureus. 2023 Mar 11;15(3):e36008. doi: 10.7759/cureus.36008. eCollection 2023 Mar.

本文引用的文献

1
Amyloid Goiter: A Diagnosis to Consider in Diffuse Fatty Infiltration of the Thyroid.
J Ultrasound Med. 2017 May;36(5):1045-1049. doi: 10.7863/ultra.16.04037. Epub 2017 Mar 4.
2
Amyloid goiter associated with amyloidosis secondary to rheumatoid arthritis.
Case Rep Med. 2013;2013:792413. doi: 10.1155/2013/792413. Epub 2013 Dec 4.
3
Amyloid accumulation in the toxic nodule of the thyroid gland in a patient with end stage renal failure.
Case Rep Endocrinol. 2012;2012:741754. doi: 10.1155/2012/741754. Epub 2012 Oct 23.
4
[Amyloid goiter secondary to rheumatoid arthritis. a case report].
Endocrinol Nutr. 2012 Jan;59(1):76-8. doi: 10.1016/j.endonu.2011.05.009. Epub 2011 Jul 31.
5
Amyloid goiter: two cases and a review of the literature.
Ann Saudi Med. 2009 Mar-Apr;29(2):138-41. doi: 10.4103/0256-4947.51808.
6
Amyloid goiter.
Int J Surg. 2008;6 Suppl 1:S16-8. doi: 10.1016/j.ijsu.2008.12.025. Epub 2008 Dec 13.
7
Mortality in rheumatoid arthritis: 2008 update.
Clin Exp Rheumatol. 2008 Sep-Oct;26(5 Suppl 51):S35-61.
8
Dialysis-related amyloidosis: late finding or hidden epidemic?
Semin Dial. 2006 Mar-Apr;19(2):105-9. doi: 10.1111/j.1525-139X.2006.00134.x.
10
The clinical significance of amyloid fat deposits in rheumatoid arthritis: a systematic long-term followup study using abdominal fat aspiration.
Arthritis Rheum. 2001 Jan;44(1):66-72. doi: 10.1002/1529-0131(200101)44:1<66::AID-ANR10>3.0.CO;2-H.

文献AI研究员

20分钟写一篇综述,助力文献阅读效率提升50倍。

立即体验

用中文搜PubMed

大模型驱动的PubMed中文搜索引擎

马上搜索

文档翻译

学术文献翻译模型,支持多种主流文档格式。

立即体验