Kapoor Ashima, Manje Gowda Anusha, Kaur Supreet, Estifan Elias, Maroules Michael
Internal Medicine, St. Joseph's University Medical Center, Paterson, USA.
Hematology/Oncology, St. Joseph's University Medical Center, Paterson, USA.
Cureus. 2020 Mar 11;12(3):e7245. doi: 10.7759/cureus.7245.
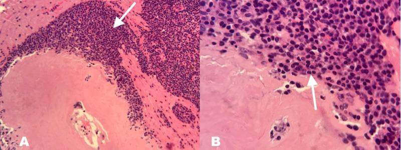
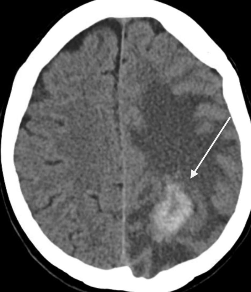
Cerebral amyloidoma is a rare form of amyloidosis with a localized tumor like an amyloid deposition in the brain composed of insoluble fibrillary protein with cross beta-sheet conformation. Its usual presentation includes vision loss, seizures, behavioral changes, cognitive decline, and recurrent headaches. It has a benign course with a slow progression, and it is not associated with dissemination. We report a case of a 65-year-old Caucasian woman who presented with symptoms of progressively worsening cognitive dysfunction of six months' duration. From CT of the brain, it was found that she had a right frontal and left parietal hemorrhagic mass with a large amount of vasogenic edema and a midline shift. MRI showed heterogeneously enhancing hemorrhagic mass of 5.2 cm x 2.6 cm x 3.6 cm in size, with a satellite lesion. Initially, this was suspected to be a high-grade glioma vs. metastatic hemorrhagic lesions. She underwent stereotactic biopsy of the mass, and histopathology was consistent with cerebral amyloidoma with marked IgA lambda plasma cell differentiation. She did not have any evidence of systemic amyloidosis, and therefore, she is being clinically observed with a regular follow-up and annual CT surveillance. She has remained stable over the past two years, although she has residual cognitive dysfunction. Cerebral amyloidoma can mimic malignant central nervous system (CNS) neoplasms and should be considered as a differential of any single or multiple mass lesions occurring in the white matter region of the brain with a characteristic appearance of "hyperdense lesions" on CT. It is a benign disease with no metastatic potential that usually resolves entirely after resection.
脑淀粉样瘤是一种罕见的淀粉样变性形式,表现为局限性肿瘤,即脑内有淀粉样物质沉积,由具有交叉β折叠构象的不溶性纤维状蛋白组成。其常见表现包括视力丧失、癫痫发作、行为改变、认知衰退和反复头痛。它病程良性,进展缓慢,且不伴有播散。我们报告一例65岁白种女性,出现持续6个月的进行性认知功能障碍症状。脑部CT检查发现她有右侧额叶和左侧顶叶出血性肿块,伴有大量血管源性水肿和中线移位。MRI显示大小为5.2 cm×2.6 cm×3.6 cm的不均匀强化出血性肿块,并有一个卫星病灶。最初,怀疑为高级别胶质瘤与转移性出血性病变。她接受了肿块的立体定向活检,组织病理学结果与脑淀粉样瘤相符,伴有明显的IgA λ浆细胞分化。她没有任何系统性淀粉样变性的证据,因此,目前对其进行临床观察,定期随访并每年进行CT监测。尽管她仍有残余认知功能障碍,但在过去两年中病情一直稳定。脑淀粉样瘤可模仿恶性中枢神经系统(CNS)肿瘤,对于脑白质区域出现的任何单个或多个具有CT上“高密度病灶”特征性表现的肿块病变,均应将其视为鉴别诊断之一。它是一种无转移潜能的良性疾病,通常切除后可完全治愈。