• 文献检索
  • 文档翻译
  • 深度研究
  • 学术资讯
  • Suppr Zotero 插件Zotero 插件
  • 邀请有礼
  • 套餐&价格
  • 历史记录
应用&插件
Suppr Zotero 插件Zotero 插件浏览器插件Mac 客户端Windows 客户端微信小程序
定价
高级版会员购买积分包购买API积分包
服务
文献检索文档翻译深度研究API 文档MCP 服务
关于我们
关于 Suppr公司介绍联系我们用户协议隐私条款
关注我们

Suppr 超能文献

核心技术专利:CN118964589B侵权必究
粤ICP备2023148730 号-1Suppr @ 2026

文献检索

告别复杂PubMed语法,用中文像聊天一样搜索,搜遍4000万医学文献。AI智能推荐,让科研检索更轻松。

立即免费搜索

文件翻译

保留排版,准确专业,支持PDF/Word/PPT等文件格式,支持 12+语言互译。

免费翻译文档

深度研究

AI帮你快速写综述,25分钟生成高质量综述,智能提取关键信息,辅助科研写作。

立即免费体验

尼古丁可消除与记忆相关的突触增强作用,并促进 miR-132/212 敲除小鼠神经发生齿状回中的突触抑制。

Nicotine abolishes memory-related synaptic strengthening and promotes synaptic depression in the neurogenic dentate gyrus of miR-132/212 knockout mice.

机构信息

Center for Physiology and Pharmacology, Department of Neurophysiology and Neuropharmacology, Medical University of Vienna, Vienna, Austria.

出版信息

Addict Biol. 2021 Mar;26(2):e12905. doi: 10.1111/adb.12905. Epub 2020 Apr 15.

DOI:10.1111/adb.12905
PMID:32293776
原文链接:https://pmc.ncbi.nlm.nih.gov/articles/PMC7988623/
Abstract

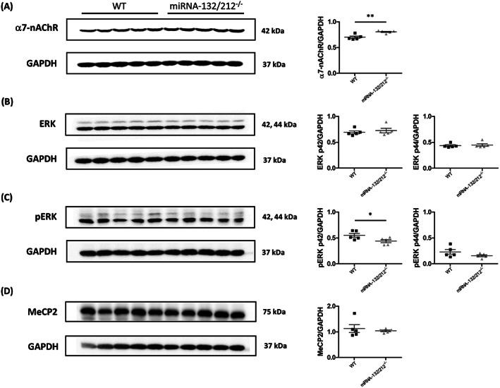
Micro-RNAs (miRNAs) are highly evolutionarily conserved short-length/noncoding RNA molecules that modulate a wide range of cellular functions in many cell types by regulating the expression of a variety of targeted genes. miRNAs have also recently emerged as key regulators of neuronal genes mediating the effects of psychostimulant drugs and memory-related neuroplasticity processes. Smoking is a predominant addictive behaviour associated with millions of deaths worldwide, and nicotine is a potent natural psychoactive agonist of cholinergic receptors, highly abundant in cigarettes. The influence of miRNAs modulation on cholinergic signalling in the nervous system remains however poorly explored. Using miRNA knockout mice and biochemical, electrophysiological and pharmacological approaches, we examined the effects of miR-132/212 gene disruption on the levels of hippocampal nicotinic acetylcholine receptors, total ERK and phosphorylated ERK (pERK) and MeCP2 protein levels, and studied the impact of nicotine stimulation on hippocampal synaptic transmission and synaptic depression and strengthening. miR-132/212 deletion significantly altered α7-nAChR and pERK protein levels, but not total ERK or MeCP2, and resulted in both exacerbated synaptic depression and virtually abolished memory-related synaptic strengthening upon nicotine stimulation. These observations reveal a functional miRNAs/nicotinergic signalling interplay critical for nicotinic-receptor expression and neuroplasticity in brain structures relevant for drug addiction and learning and memory functions.

摘要

微小 RNA(miRNAs)是高度进化保守的短长度/非编码 RNA 分子,通过调节多种靶向基因的表达,调节多种细胞类型的广泛细胞功能。miRNAs 最近也成为调节神经基因的关键调节剂,介导精神兴奋剂药物的作用和与记忆相关的神经可塑性过程。吸烟是一种与全球数百万人死亡相关的主要成瘾行为,尼古丁是烟碱型乙酰胆碱受体的一种有效的天然精神活性激动剂,在香烟中含量丰富。然而,miRNAs 调节对神经系统胆碱能信号的影响仍未得到充分探索。使用 miRNA 敲除小鼠和生化、电生理和药理学方法,我们研究了 miR-132/212 基因缺失对海马烟碱型乙酰胆碱受体、总 ERK 和磷酸化 ERK(pERK)以及 MeCP2 蛋白水平的影响,并研究了尼古丁刺激对海马突触传递和突触抑制和增强的影响。miR-132/212 缺失显著改变了α7-nAChR 和 pERK 蛋白水平,但不改变总 ERK 或 MeCP2,并且导致尼古丁刺激后的突触抑制加剧和记忆相关的突触增强几乎完全消除。这些观察结果揭示了 miRNAs/烟碱能信号相互作用的功能,对于与药物成瘾和学习记忆功能相关的脑结构中的烟碱受体表达和神经可塑性至关重要。

https://cdn.ncbi.nlm.nih.gov/pmc/blobs/1d6f/7988623/a911c9477106/ADB-26-e12905-g002.jpg
https://cdn.ncbi.nlm.nih.gov/pmc/blobs/1d6f/7988623/990e4e3fc817/ADB-26-e12905-g006.jpg
https://cdn.ncbi.nlm.nih.gov/pmc/blobs/1d6f/7988623/dcdcb6c46133/ADB-26-e12905-g005.jpg
https://cdn.ncbi.nlm.nih.gov/pmc/blobs/1d6f/7988623/713377bd2a7c/ADB-26-e12905-g004.jpg
https://cdn.ncbi.nlm.nih.gov/pmc/blobs/1d6f/7988623/9e939b9efdc6/ADB-26-e12905-g003.jpg
https://cdn.ncbi.nlm.nih.gov/pmc/blobs/1d6f/7988623/a911c9477106/ADB-26-e12905-g002.jpg
https://cdn.ncbi.nlm.nih.gov/pmc/blobs/1d6f/7988623/990e4e3fc817/ADB-26-e12905-g006.jpg
https://cdn.ncbi.nlm.nih.gov/pmc/blobs/1d6f/7988623/dcdcb6c46133/ADB-26-e12905-g005.jpg
https://cdn.ncbi.nlm.nih.gov/pmc/blobs/1d6f/7988623/713377bd2a7c/ADB-26-e12905-g004.jpg
https://cdn.ncbi.nlm.nih.gov/pmc/blobs/1d6f/7988623/9e939b9efdc6/ADB-26-e12905-g003.jpg
https://cdn.ncbi.nlm.nih.gov/pmc/blobs/1d6f/7988623/a911c9477106/ADB-26-e12905-g002.jpg

相似文献

1
Nicotine abolishes memory-related synaptic strengthening and promotes synaptic depression in the neurogenic dentate gyrus of miR-132/212 knockout mice.尼古丁可消除与记忆相关的突触增强作用,并促进 miR-132/212 敲除小鼠神经发生齿状回中的突触抑制。
Addict Biol. 2021 Mar;26(2):e12905. doi: 10.1111/adb.12905. Epub 2020 Apr 15.
2
Age-Dependent and Pathway-Specific Bimodal Action of Nicotine on Synaptic Plasticity in the Hippocampus of Mice Lacking the miR-132/212 Genes.年龄依赖性和通路特异性尼古丁对缺乏 miR-132/212 基因的小鼠海马突触可塑性的双模态作用。
Cells. 2022 Jan 13;11(2):261. doi: 10.3390/cells11020261.
3
miRNA-132/212 Gene-Deletion Aggravates the Effect of Oxygen-Glucose Deprivation on Synaptic Functions in the Female Mouse Hippocampus.miRNA-132/212 基因缺失加重氧葡萄糖剥夺对雌性小鼠海马突触功能的影响。
Cells. 2021 Jul 6;10(7):1709. doi: 10.3390/cells10071709.
4
Nicotine-induced enhancement of synaptic plasticity at CA3-CA1 synapses requires GABAergic interneurons in adult anti-NGF mice.尼古丁诱导成年抗神经生长因子(anti-NGF)小鼠CA3-CA1突触处突触可塑性增强需要GABA能中间神经元。
J Physiol. 2006 Oct 15;576(Pt 2):361-77. doi: 10.1113/jphysiol.2006.114587. Epub 2006 Jul 27.
5
Activation of nicotinic acetylcholine receptors induces long-term potentiation in vivo in the intact mouse dentate gyrus.烟碱型乙酰胆碱受体的激活在完整小鼠齿状回中可诱导体内长时程增强。
Eur J Neurosci. 2000 Oct;12(10):3741-7. doi: 10.1046/j.1460-9568.2000.00259.x.
6
Nicotinic receptor-mediated enhancement of long-term potentiation involves activation of metabotropic glutamate receptors and ryanodine-sensitive calcium stores in the dentate gyrus.烟碱受体介导的长时程增强作用增强涉及代谢型谷氨酸受体的激活以及齿状回中兰尼碱敏感钙库的激活。
Eur J Neurosci. 2006 Dec;24(11):3109-18. doi: 10.1111/j.1460-9568.2006.05187.x.
7
Nicotinic modulation of network and synaptic transmission in the immature hippocampus investigated with genetically modified mice.利用转基因小鼠研究未成熟海马体中网络和突触传递的烟碱调节作用。
J Physiol. 2006 Oct 15;576(Pt 2):533-46. doi: 10.1113/jphysiol.2006.117572. Epub 2006 Aug 10.
8
Endogenous ACh suppresses LTD induction and nicotine relieves the suppression via different nicotinic ACh receptor subtypes in the mouse hippocampus.内源性乙酰胆碱抑制 LTD 诱导,而尼古丁通过小鼠海马中的不同烟碱型乙酰胆碱受体亚型来缓解这种抑制。
Life Sci. 2014 Aug 28;111(1-2):62-8. doi: 10.1016/j.lfs.2014.07.014. Epub 2014 Jul 19.
9
Differential signalling induced by α7 nicotinic acetylcholine receptors in hippocampal dentate gyrus in vitro and in vivo.α7 型烟碱型乙酰胆碱受体在体外和体内海马齿状回诱导的差异信号转导。
J Physiol. 2021 Oct;599(20):4687-4704. doi: 10.1113/JP280505. Epub 2021 Sep 28.
10
Reparatory effects of nicotine on NMDA receptor-mediated synaptic plasticity in the hippocampal CA1 region of chronically lead-exposed rats.尼古丁对慢性铅暴露大鼠海马CA1区NMDA受体介导的突触可塑性的修复作用。
Eur J Neurosci. 2006 Mar;23(5):1111-9. doi: 10.1111/j.1460-9568.2006.04645.x.

引用本文的文献

1
MicroRNAs as biomarkers and molecular mediators of cognitive dysfunction in schizophrenia.微小RNA作为精神分裂症认知功能障碍的生物标志物和分子介质
J Neural Transm (Vienna). 2025 Aug 8. doi: 10.1007/s00702-025-02993-1.
2
Targeting epigenetic mechanisms in amyloid-β-mediated Alzheimer's pathophysiology: unveiling therapeutic potential.靶向淀粉样β蛋白介导的阿尔茨海默病病理生理过程中的表观遗传机制:揭示治疗潜力。
Neural Regen Res. 2025 Jan 1;20(1):54-66. doi: 10.4103/NRR.NRR-D-23-01827. Epub 2024 Mar 1.
3
miRNA-132/212 Deficiency Disrupts Selective Corticosterone Modulation of Dorsal vs. Ventral Hippocampal Metaplasticity.

本文引用的文献

1
Podoplanin Gene Disruption in Mice Promotes Neural Progenitor Cells Proliferation, Selectively Impairs Dentate Gyrus Synaptic Depression and Induces Anxiety-Like Behaviors.小鼠中血小板反应蛋白基序ⅩⅧ(Podoplanin)基因破坏促进神经祖细胞增殖,选择性损害齿状回突触抑制并诱发焦虑样行为。
Front Cell Neurosci. 2020 Jan 15;13:561. doi: 10.3389/fncel.2019.00561. eCollection 2019.
2
MicroRNA-132 promotes neurons cell apoptosis and activates Tau phosphorylation by targeting GTDC-1 in Alzheimer's disease.MicroRNA-132 通过靶向 Alzheimer 病中的 GTDC-1 促进神经元细胞凋亡并激活 Tau 磷酸化。
Eur Rev Med Pharmacol Sci. 2019 Oct;23(19):8523-8532. doi: 10.26355/eurrev_201910_19166.
3
miRNA-132/212 缺失破坏了皮质酮对背侧海马和腹侧海马易化可塑性的选择性调节。
Int J Mol Sci. 2023 May 31;24(11):9565. doi: 10.3390/ijms24119565.
4
A Novel and Selective Dopamine Transporter Inhibitor, -MK-26, Promotes Hippocampal Synaptic Plasticity and Restores Effort-Related Motivational Dysfunctions.一种新型、选择性的多巴胺转运体抑制剂 -MK-26,可促进海马突触可塑性,并恢复与努力相关的动机功能障碍。
Biomolecules. 2022 Jun 24;12(7):881. doi: 10.3390/biom12070881.
5
Age-Dependent and Pathway-Specific Bimodal Action of Nicotine on Synaptic Plasticity in the Hippocampus of Mice Lacking the miR-132/212 Genes.年龄依赖性和通路特异性尼古丁对缺乏 miR-132/212 基因的小鼠海马突触可塑性的双模态作用。
Cells. 2022 Jan 13;11(2):261. doi: 10.3390/cells11020261.
6
miRNA-132/212 Gene-Deletion Aggravates the Effect of Oxygen-Glucose Deprivation on Synaptic Functions in the Female Mouse Hippocampus.miRNA-132/212 基因缺失加重氧葡萄糖剥夺对雌性小鼠海马突触功能的影响。
Cells. 2021 Jul 6;10(7):1709. doi: 10.3390/cells10071709.
Upregulation of acetylcholinesterase caused by downregulation of microRNA-132 is responsible for the development of dementia after ischemic stroke.
乙酰胆碱酯酶的上调是由 microRNA-132 的下调引起的,这是缺血性中风后痴呆发展的原因。
J Cell Biochem. 2020 Jan;121(1):135-141. doi: 10.1002/jcb.28985. Epub 2019 Oct 2.
4
A New Discovery of MicroRNA-455-3p in Alzheimer's Disease.阿尔茨海默病中 microRNA-455-3p 的新发现。
J Alzheimers Dis. 2019;72(s1):S117-S130. doi: 10.3233/JAD-190583.
5
An investigation of microRNA-103 and microRNA-107 as potential blood-based biomarkers for disease risk and progression of Alzheimer's disease.探讨 microRNA-103 和 microRNA-107 作为阿尔茨海默病疾病风险和进展的潜在血液生物标志物。
J Clin Lab Anal. 2020 Jan;34(1):e23006. doi: 10.1002/jcla.23006. Epub 2019 Aug 16.
6
MicroRNA-326 decreases tau phosphorylation and neuron apoptosis through inhibition of the JNK signaling pathway by targeting VAV1 in Alzheimer's disease.MicroRNA-326 通过靶向 VAV1 抑制 JNK 信号通路减少阿尔茨海默病中的 tau 磷酸化和神经元凋亡。
J Cell Physiol. 2020 Jan;235(1):480-493. doi: 10.1002/jcp.28988. Epub 2019 Aug 5.
7
A Systematic Review of MicroRNA Expression as Biomarker of Late-Onset Alzheimer's Disease.作为生物标志物的晚期阿尔茨海默病的 microRNA 表达的系统评价。
Mol Neurobiol. 2019 Dec;56(12):8376-8391. doi: 10.1007/s12035-019-01676-9. Epub 2019 Jun 25.
8
Upregulation of microRNA-196a improves cognitive impairment and alleviates neuronal damage in hippocampus tissues of Alzheimer's disease through downregulating LRIG3 expression.miR-196a 的上调通过下调 LRIG3 表达改善阿尔茨海默病患者认知障碍并减轻海马组织神经元损伤。
J Cell Biochem. 2019 Oct;120(10):17811-17821. doi: 10.1002/jcb.29047. Epub 2019 May 22.
9
A role for miR-132 in learned safety.miR-132 在获得性安全中的作用
Sci Rep. 2019 Jan 24;9(1):528. doi: 10.1038/s41598-018-37054-z.
10
Down-regulated expression of microRNA-338-5p contributes to neuropathology in Alzheimer's disease.下调表达的 microRNA-338-5p 导致阿尔茨海默病的神经病理学改变。
FASEB J. 2019 Mar;33(3):4404-4417. doi: 10.1096/fj.201801846R. Epub 2018 Dec 21.