Suppr超能文献

绝经后自发性脐部子宫内膜异位症:一例报告

Postmenopausal Spontaneous Umbilical Endometriosis: A Case Report.

作者信息

Choi Jung Keom, Bae Hyun A, Sang Jae Hong, Chung Soo Ho

机构信息

Department of Obstetrics and Gynecology, Soon Chun Hyang University Bucheon Hospital, Soon Chun Hyang University College of Medicine, Bucheon, Korea.

出版信息

J Menopausal Med. 2020 Apr;26(1):44-46. doi: 10.6118/jmm.19016.

Abstract

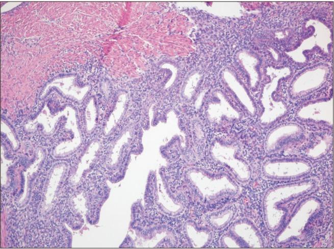
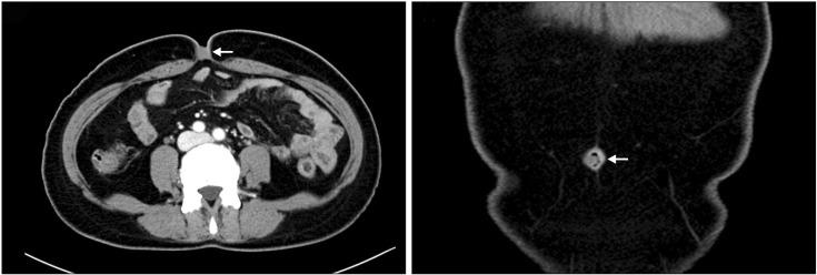
Endometriosis is a benign gynecologic disease that highly influences women of childbearing age. It is characterized by ectopic endometrial tissue. Primary umbilical endometriosis is a rare condition. It is a benign disease with endometrial tissue in an abnormal site in the navel. It may be accompanied with pain in the navel and a discolored bump. Among all locations with the potential for endometriosis, the navel has less than 1% incidence of primary umbilical endometriosis. In the present study, we reported a rare case of umbilical endometriosis revealed via a biopsy performed for a 49-year-old menopausal woman with the complaint of pain in the navel who underwent surgical excision and a biopsy after a scan.

摘要

子宫内膜异位症是一种对育龄女性影响极大的良性妇科疾病。其特征为异位的子宫内膜组织。原发性脐部子宫内膜异位症是一种罕见病症。它是一种良性疾病,在肚脐这个异常部位存在子宫内膜组织。可能伴有肚脐疼痛和变色肿块。在所有可能发生子宫内膜异位症的部位中,原发性脐部子宫内膜异位症的发病率低于1%。在本研究中,我们报告了一例罕见的脐部子宫内膜异位症病例,该病例是通过对一名49岁绝经女性进行活检发现的,该女性因肚脐疼痛前来就诊,在扫描后接受了手术切除及活检。

https://cdn.ncbi.nlm.nih.gov/pmc/blobs/4306/7160592/4fd8c877047f/jmm-26-44-g001.jpg

文献AI研究员

20分钟写一篇综述,助力文献阅读效率提升50倍。

立即体验

用中文搜PubMed

大模型驱动的PubMed中文搜索引擎

马上搜索

文档翻译

学术文献翻译模型,支持多种主流文档格式。

立即体验