Nagra Navroop, Singhvi Ajeet R, Singhvi Gaurav
Gastroenterology, Virginia Mason Medical Center, Seattle, USA.
Gastroenterology, Valley Endoscopy, Hemet, USA.
Cureus. 2020 Mar 27;12(3):e7438. doi: 10.7759/cureus.7438.
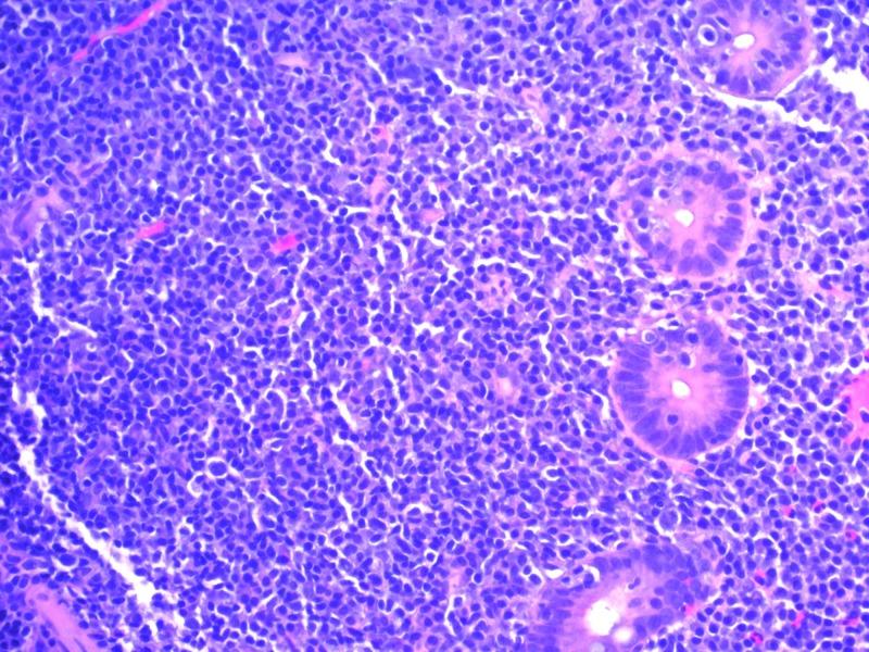
Mucosa-associated lymphoid tissue lymphoma (MALT lymphoma) accounts for approximately 5% of non-Hodgkin lymphomas, and the gastrointestinal (GI) tract is the most common site of involvement. The stomach and small intestine are the most common sites of involvement in the GI tract. Colonic MALT lymphoma is a rare condition that comprises only 2.5% of MALT lymphomas and less than 0.5% of all colon cancers. They usually present as colon mass or polyps. In this case report, we present a case of colonic MALT lymphoma diagnosed on random colon biopsies which is very rare.
黏膜相关淋巴组织淋巴瘤(MALT淋巴瘤)约占非霍奇金淋巴瘤的5%,胃肠道是最常受累的部位。胃和小肠是胃肠道中最常受累的部位。结肠MALT淋巴瘤是一种罕见疾病,仅占MALT淋巴瘤的2.5%,占所有结肠癌的比例不到0.5%。它们通常表现为结肠肿块或息肉。在本病例报告中,我们呈现了一例通过随机结肠活检诊断出的结肠MALT淋巴瘤病例,这非常罕见。