Suppr超能文献

大鼠慢性高频刺激使失神经支配的比目鱼肌发生从慢到快的转变

Slow-to-fast transformation of denervated soleus muscles by chronic high-frequency stimulation in the rat.

作者信息

Gorza L, Gundersen K, Lømo T, Schiaffino S, Westgaard R H

机构信息

Institute of Neurophysiology, Oslo, Norway.

出版信息

J Physiol. 1988 Aug;402:627-49. doi: 10.1113/jphysiol.1988.sp017226.

Abstract
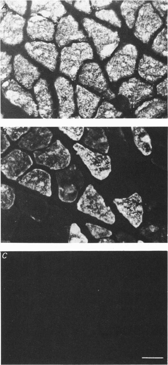
  1. Adult soleus muscles were denervated and stimulated directly for 2-130 days with 'fast' (short pulse trains at 100 Hz) or 'slow' (continuously at 10 Hz, or long pulse trains at 15 Hz) stimulus patterns. 2. At the end of the period of stimulation isometric twitches and tetani and isotonic shortening velocities were measured. Frozen cross-sections were later examined with antibodies against myosin heavy chains specific for adult fast, adult slow and fetal myosin. 3. Isometric twitch duration (twitch time-to-peak and half-relaxation time) decreased during intermittent 100 Hz stimulation to values that were almost as fast as in the normal extensor digitorum longus (EDL) (95 and 94% transformation). The major part of the decrease occurred between 2 and 21 days after the onset of stimulation, and was accompanied by post-tetanic potentiation of the twitch, 'sag' in tension during an unfused tetanus, lower twitch/tetanus ratio and marked shifts to the right (higher frequencies) of the tension-frequency curve of the muscle. In contrast, during 10 or 15 Hz stimulation the isometric twitch duration remained slow, the twitch continued to show post-tetanic depression and absence of 'sag', while the twitch/tetanus ratio increased. 4. Denervation per se led to a slight increase and, then, after about a month, to a moderate and gradual decrease in twitch duration. The twitch/tetanus ratio increased markedly and post-tetanic depression became less pronounced or disappeared. Muscle weight and particularly tetanic tension were markedly reduced and these reductions were to a large extent counteracted by electrical stimulation. 5. Implantation of sham electrodes had no effect on twitch duration of denervated or innervated control muscles, but reduced tetanic tension in the innervated control muscles. 6. Maximum isotonic shortening velocity of the whole muscle (mm/s) increased during intermittent 100 Hz stimulation to a value as fast as in the normal EDL (110% transformation). Since the muscle fibres also increased in length (35%) maximum intrinsic shortening velocity (fibre lengths/s) was only incompletely transformed (55%). The increase in Vmax occurred between 7 and 14 days after the onset of stimulation. 7. All the fibres stimulated intermittently at 100 Hz were strongly labelled with anti-fast myosin and more than 90% were in addition weakly labelled by anti-slow myosin. Weak and variable labelling with anti-fast myosin was first detected 7 days after the onset of stimulation. In contrast, essentially all the fibres stimulated at 10 or 15 Hz showed no binding of anti-fast but strong binding of anti-slow myosin.(ABSTRACT TRUNCATED AT 400 WORDS)
摘要
  1. 对成年比目鱼肌进行去神经支配,并分别采用“快速”(100Hz的短脉冲串)或“慢速”(10Hz持续刺激或15Hz的长脉冲串)刺激模式直接刺激2 - 130天。2. 在刺激期结束时,测量等长收缩抽搐和强直收缩以及等张收缩缩短速度。随后用针对成年快肌、成年慢肌和胎儿肌球蛋白的肌球蛋白重链抗体对冷冻切片进行检测。3. 在间歇性100Hz刺激期间,等长收缩抽搐持续时间(抽搐达到峰值的时间和半松弛时间)缩短至几乎与正常趾长伸肌(EDL)一样快的值(95%和94%的转变)。这种缩短的主要部分发生在刺激开始后的2至21天之间,同时伴有抽搐的强直后增强、非融合强直收缩期间的张力“下垂”、较低的抽搐/强直收缩比率以及肌肉张力 - 频率曲线明显右移(更高频率)。相比之下,在10或15Hz刺激期间,等长收缩抽搐持续时间保持缓慢,抽搐持续表现出强直后抑制且无“下垂”现象,而抽搐/强直收缩比率增加。4. 去神经支配本身导致抽搐持续时间略有增加,然后在大约一个月后逐渐适度下降。抽搐/强直收缩比率显著增加,强直后抑制变得不那么明显或消失。肌肉重量尤其是强直收缩张力明显降低,而这些降低在很大程度上被电刺激抵消。5. 植入假电极对去神经支配或有神经支配的对照肌肉的抽搐持续时间没有影响,但会降低有神经支配的对照肌肉的强直收缩张力。6. 在间歇性100Hz刺激期间,整块肌肉的最大等张收缩缩短速度(mm/s)增加至与正常EDL一样快的值(110%的转变)。由于肌纤维长度也增加了(35%),最大内在缩短速度(纤维长度/秒)仅部分转变(55%)。最大缩短速度(Vmax)的增加发生在刺激开始后的7至14天之间。7. 所有间歇性接受100Hz刺激的纤维都被抗快肌球蛋白强烈标记,超过90%的纤维还被抗慢肌球蛋白弱标记。刺激开始7天后首次检测到抗快肌球蛋白的弱且可变标记。相比之下,基本上所有接受10或15Hz刺激的纤维都未显示抗快肌球蛋白的结合,但显示抗慢肌球蛋白的强结合。(摘要截断于400字)
https://cdn.ncbi.nlm.nih.gov/pmc/blobs/107f/1191913/d71fdbb32ad3/jphysiol00505-0635-a.jpg

文献检索

告别复杂PubMed语法,用中文像聊天一样搜索,搜遍4000万医学文献。AI智能推荐,让科研检索更轻松。

立即免费搜索

文件翻译

保留排版,准确专业,支持PDF/Word/PPT等文件格式,支持 12+语言互译。

免费翻译文档

深度研究

AI帮你快速写综述,25分钟生成高质量综述,智能提取关键信息,辅助科研写作。

立即免费体验