Suppr超能文献

病例报告与文献综述

: Case Reports and Review of the Literature.

作者信息

Khan Shanza, Wong Ting Ting, Prasad Nishant, Lee Benjamin, Urban Carl, Segal-Maurer Sorana, Turett Glenn

机构信息

Division of Infectious Diseases, NewYork Presbyterian Queens, Flushing, NY, USA.

NewYork-Presbyterian Brooklyn Methodist Hospital, Brooklyn, NY, USA.

出版信息

Case Rep Infect Dis. 2020 Apr 22;2020:4135246. doi: 10.1155/2020/4135246. eCollection 2020.

Abstract

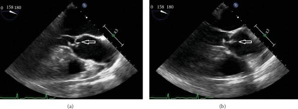
is a beta-hemolytic Gram-positive, catalase-negative, nonmotile coccus arranged in short chains, usually found in the female genitourinary tract and differentiated from in 2006. Only two human infections associated with this organism have been reported to date: one in a patient with a first digit wound infection and another with lower extremity cellulitis. We describe two novel cases of causing endocarditis in one and pneumonia with empyema in another, illustrating the potential of these bacteria to cause severe invasive and life-threatening disease.

摘要

是一种β溶血性革兰氏阳性、过氧化氢酶阴性、无动力的球菌,呈短链排列,通常存在于女性泌尿生殖道,于2006年与[未提及的菌]区分开来。迄今为止,仅报告了两例与该菌相关的人类感染病例:一例是手指伤口感染患者,另一例是下肢蜂窝织炎患者。我们描述了两例新病例,一例由[该菌]引起心内膜炎,另一例引起肺炎伴脓胸,说明了这些细菌引发严重侵袭性和危及生命疾病的可能性。

https://cdn.ncbi.nlm.nih.gov/pmc/blobs/88cf/7195636/de2fa580faa4/CRIID2020-4135246.001.jpg

文献检索

告别复杂PubMed语法,用中文像聊天一样搜索,搜遍4000万医学文献。AI智能推荐,让科研检索更轻松。

立即免费搜索

文件翻译

保留排版,准确专业,支持PDF/Word/PPT等文件格式,支持 12+语言互译。

免费翻译文档

深度研究

AI帮你快速写综述,25分钟生成高质量综述,智能提取关键信息,辅助科研写作。

立即免费体验