• 文献检索
  • 文档翻译
  • 深度研究
  • 学术资讯
  • Suppr Zotero 插件Zotero 插件
  • 邀请有礼
  • 套餐&价格
  • 历史记录
应用&插件
Suppr Zotero 插件Zotero 插件浏览器插件Mac 客户端Windows 客户端微信小程序
定价
高级版会员购买积分包购买API积分包
服务
文献检索文档翻译深度研究API 文档MCP 服务
关于我们
关于 Suppr公司介绍联系我们用户协议隐私条款
关注我们

Suppr 超能文献

核心技术专利:CN118964589B侵权必究
粤ICP备2023148730 号-1Suppr @ 2026

文献检索

告别复杂PubMed语法,用中文像聊天一样搜索,搜遍4000万医学文献。AI智能推荐,让科研检索更轻松。

立即免费搜索

文件翻译

保留排版,准确专业,支持PDF/Word/PPT等文件格式,支持 12+语言互译。

免费翻译文档

深度研究

AI帮你快速写综述,25分钟生成高质量综述,智能提取关键信息,辅助科研写作。

立即免费体验

日本一家三级护理医院中,非增强型尸检计算机断层扫描在3岁及以下儿童院内非创伤性死亡调查中的应用

Utility of unenhanced postmortem computed tomography for investigation of in-hospital nontraumatic death in children up to 3 years of age at a single Japanese tertiary care hospital.

作者信息

Ishida Masanori, Gonoi Wataru, Shirota Go, Abe Hiroyuki, Shintani-Domoto Yukako, Ikemura Masako, Ushiku Tetsuo, Abe Osamu

机构信息

Department of Radiology.

Department of Pathology, Graduate School of Medicine, The University of Tokyo, Bunkyo-ku, Tokyo, Japan.

出版信息

Medicine (Baltimore). 2020 May;99(19):e20130. doi: 10.1097/MD.0000000000020130.

DOI:10.1097/MD.0000000000020130
PMID:32384493
原文链接:https://pmc.ncbi.nlm.nih.gov/articles/PMC7220630/
Abstract

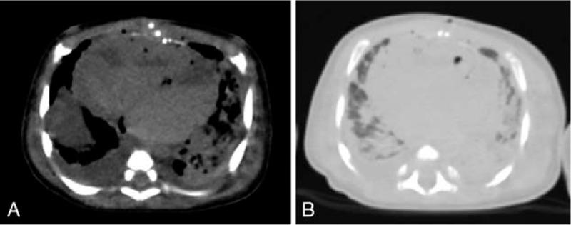
To evaluate the utility of unenhanced postmortem computed tomography (PMCT) for the investigation of in-hospital nontraumatic death in children up to 3 years of age.This study included the cadavers of children who died from intrinsic diseases before 3 years of age. The major underlying disease and the main organ-disease systems associated with the immediate causes of death were determined by clinical evaluation, PMCT, and autopsy, which were used as a reference standard. The rates of concordance between the former two methods and autopsy were calculated for all cases.In total, 22 cadavers (12 male and 10 female; mean age, 6.1 ± 8.2 months) were included. The rates of concordance between clinical evaluation/PMCT and autopsy for diagnosis of the major underlying disease and main organ-disease systems associated with the immediate causes of death were 100%/36% (P = .0015) and 59%/41% (P = .37), respectively. In cases where the respiratory system was associated with the immediate cause of death, PMCT showed greater diagnostic sensitivity (90%) than did clinical evaluation (20%). In contrast, the diagnostic sensitivity of PMCT was lower than that of clinical evaluation in cases involving disorders of the cardiac system and multiple organ systems (0% vs 100% for both).The findings of this study suggest that the use of unenhanced PMCT with clinical evaluation can result in improved detection of the immediate cause of death in select cases of in-hospital nontraumatic death before 3 years of age.

摘要

评估非增强型尸检计算机断层扫描(PMCT)在调查3岁以下儿童院内非创伤性死亡中的应用价值。本研究纳入了3岁前因内在疾病死亡的儿童尸体。通过临床评估、PMCT和作为参考标准的尸检来确定主要潜在疾病以及与直接死因相关的主要器官疾病系统。计算前两种方法与尸检在所有病例中的一致性率。总共纳入了22具尸体(12例男性和10例女性;平均年龄6.1±8.2个月)。临床评估/PMCT与尸检在诊断主要潜在疾病以及与直接死因相关的主要器官疾病系统方面的一致性率分别为100%/36%(P = 0.0015)和59%/41%(P = 0.37)。在呼吸系统与直接死因相关的病例中,PMCT显示出比临床评估更高的诊断敏感性(90%对20%)。相比之下,在涉及心脏系统和多器官系统疾病的病例中,PMCT的诊断敏感性低于临床评估(两者均为0%对100%)。本研究结果表明,在3岁以下儿童院内非创伤性死亡的特定病例中,结合临床评估使用非增强型PMCT可提高对直接死因的检测。

https://cdn.ncbi.nlm.nih.gov/pmc/blobs/980f/7220630/387e729c89ce/medi-99-e20130-g003.jpg
https://cdn.ncbi.nlm.nih.gov/pmc/blobs/980f/7220630/c00b834dd133/medi-99-e20130-g001.jpg
https://cdn.ncbi.nlm.nih.gov/pmc/blobs/980f/7220630/5c391757141b/medi-99-e20130-g002.jpg
https://cdn.ncbi.nlm.nih.gov/pmc/blobs/980f/7220630/387e729c89ce/medi-99-e20130-g003.jpg
https://cdn.ncbi.nlm.nih.gov/pmc/blobs/980f/7220630/c00b834dd133/medi-99-e20130-g001.jpg
https://cdn.ncbi.nlm.nih.gov/pmc/blobs/980f/7220630/5c391757141b/medi-99-e20130-g002.jpg
https://cdn.ncbi.nlm.nih.gov/pmc/blobs/980f/7220630/387e729c89ce/medi-99-e20130-g003.jpg

相似文献

1
Utility of unenhanced postmortem computed tomography for investigation of in-hospital nontraumatic death in children up to 3 years of age at a single Japanese tertiary care hospital.日本一家三级护理医院中,非增强型尸检计算机断层扫描在3岁及以下儿童院内非创伤性死亡调查中的应用
Medicine (Baltimore). 2020 May;99(19):e20130. doi: 10.1097/MD.0000000000020130.
2
Can virtual autopsy with postmortem CT improve clinical diagnosis of cause of death? A retrospective observational cohort study in a Dutch tertiary referral centre.尸检CT虚拟解剖能否改善死因的临床诊断?荷兰一家三级转诊中心的回顾性观察队列研究。
BMJ Open. 2018 Mar 16;8(3):e018834. doi: 10.1136/bmjopen-2017-018834.
3
Postmortem computed tomography imaging in the investigation of nontraumatic death in infants and children.死后计算机断层扫描成像在婴儿和儿童非创伤性死亡调查中的应用。
Biomed Res Int. 2013;2013:327903. doi: 10.1155/2013/327903. Epub 2013 Sep 4.
4
Diagnosable and non-diagnosable causes of death by postmortem computed tomography: a review of 339 forensic cases.通过尸体计算机断层扫描确定的可诊断和不可诊断死因:339例法医病例回顾
Leg Med (Tokyo). 2012 Sep;14(5):239-45. doi: 10.1016/j.legalmed.2012.03.007. Epub 2012 Apr 28.
5
Efficacy of postmortem CT and tissue sampling in establishing the cause of death in clinical practice: a prospective observational study.死后 CT 和组织取样在临床实践中确定死因的效果:一项前瞻性观察研究。
J Clin Pathol. 2024 Mar 20;77(4):259-265. doi: 10.1136/jcp-2021-207946.
6
Postmortem CT compared to autopsy in children; concordance in a forensic setting.儿童尸检CT与尸检的比较;法医环境中的一致性
Int J Legal Med. 2014 Nov;128(6):957-65. doi: 10.1007/s00414-014-0964-6. Epub 2014 Apr 1.
7
Postmortem imaging findings and cause of death determination compared with autopsy: a systematic review of diagnostic test accuracy and meta-analysis.尸检后影像学检查结果与尸检确定死因的比较:诊断试验准确性的系统评价和荟萃分析
Int J Legal Med. 2020 Jan;134(1):321-337. doi: 10.1007/s00414-019-02140-y. Epub 2019 Aug 27.
8
Analysis of death in major trauma: value of prompt post mortem computed tomography (pmCT) in comparison to office hour autopsy.严重创伤死亡分析:即时尸检计算机断层扫描(pmCT)与常规尸检的比较价值
Scand J Trauma Resusc Emerg Med. 2016 Mar 29;24:38. doi: 10.1186/s13049-016-0231-6.
9
Whole-body post-mortem computed tomography compared with autopsy in the investigation of unexpected death in infants and children.全身死后计算机断层扫描与尸检在婴儿和儿童意外死亡调查中的比较。
Eur Radiol. 2013 Jun;23(6):1711-9. doi: 10.1007/s00330-012-2738-1. Epub 2012 Dec 16.
10
Postmortem Computed Tomography in Firearm Homicides: A Retrospective Case Series.枪击命案的死后计算机断层扫描:回顾性病例系列。
J Forensic Sci. 2020 Sep;65(5):1568-1573. doi: 10.1111/1556-4029.14453. Epub 2020 May 13.

引用本文的文献

1
Clinical Significance of Whole-Body Computed Tomography Scans in Pediatric Out-of-Hospital Cardiac Arrest Patients Without Prehospital Return of Spontaneous Circulation.全身体层计算机断层扫描在无院前自主循环恢复的小儿院外心脏骤停患者中的临床意义
Diseases. 2024 Oct 20;12(10):261. doi: 10.3390/diseases12100261.
2
Essence of postmortem computed tomography for in-hospital deaths: what clinical radiologists should know.院内死亡的死后计算机断层扫描要点:临床放射科医生应了解的内容。
Jpn J Radiol. 2023 Oct;41(10):1039-1050. doi: 10.1007/s11604-023-01443-w. Epub 2023 May 17.
3
Current utilization of pediatric postmortem imaging in North America: a questionnaire-based survey.

本文引用的文献

1
Diagnostic Accuracy of Postmortem CT of Children: A Retrospective Single-Center Study.儿童尸检CT的诊断准确性:一项回顾性单中心研究
AJR Am J Roentgenol. 2019 Jun;212(6):1335-1347. doi: 10.2214/AJR.18.20534. Epub 2019 Mar 27.
2
Dutch guideline for clinical foetal-neonatal and paediatric post-mortem radiology, including a review of literature.荷兰临床胎儿-新生儿和儿科尸检放射学指南,包括文献回顾。
Eur J Pediatr. 2018 Jun;177(6):791-803. doi: 10.1007/s00431-018-3135-9. Epub 2018 Apr 19.
3
Comparison of the cardiothoracic ratio between postmortem and antemortem computed tomography.
北美地区儿科尸检后影像学的应用现状:一项基于问卷调查的研究。
Pediatr Radiol. 2023 May;53(6):1135-1143. doi: 10.1007/s00247-023-05586-w. Epub 2023 Feb 2.
4
Are non-invasive or minimally invasive autopsy techniques for detecting cause of death in prenates, neonates and infants accurate? A systematic review of diagnostic test accuracy.非侵入性或微创尸检技术在产前、新生儿和婴儿中检测死因的准确性如何?诊断试验准确性的系统评价。
BMJ Open. 2023 Jan 6;13(1):e064774. doi: 10.1136/bmjopen-2022-064774.
尸检后与生前计算机断层扫描心胸比的比较。
Leg Med (Tokyo). 2017 Jan;24:86-91. doi: 10.1016/j.legalmed.2016.12.006. Epub 2016 Dec 21.
4
Performance of post-mortem CT compared to autopsy in children.儿童尸检CT与尸检的性能比较。
Int J Legal Med. 2016 Jul;130(4):1089-1099. doi: 10.1007/s00414-016-1370-z. Epub 2016 May 24.
5
Postmortem CT is more accurate than clinical diagnosis for identifying the immediate cause of death in hospitalized patients: a prospective autopsy-based study.在确定住院患者的直接死因方面,尸检CT比临床诊断更准确:一项基于前瞻性尸检的研究。
Virchows Arch. 2016 Jul;469(1):101-9. doi: 10.1007/s00428-016-1937-6. Epub 2016 Apr 16.
6
Brain Swelling and Loss of Gray and White Matter Differentiation in Human Postmortem Cases by Computed Tomography.通过计算机断层扫描观察人类尸检病例中的脑肿胀及灰质和白质分化丧失
PLoS One. 2015 Nov 30;10(11):e0143848. doi: 10.1371/journal.pone.0143848. eCollection 2015.
7
Comparison of diagnostic performance for perinatal and paediatric post-mortem imaging: CT versus MRI.围产期和儿科尸检成像的诊断性能比较:CT与MRI对比
Eur Radiol. 2016 Jul;26(7):2327-36. doi: 10.1007/s00330-015-4057-9. Epub 2015 Oct 21.
8
Ventilated postmortem computed tomography in children: feasibility and initial experience.儿童通气后尸体计算机断层扫描:可行性与初步经验
Int J Legal Med. 2015 Sep;129(5):1113-20. doi: 10.1007/s00414-015-1189-z. Epub 2015 Apr 23.
9
Clinical utility of fetal autopsy and its impact on genetic counseling.胎儿尸检的临床应用及其对遗传咨询的影响。
Prenat Diagn. 2015 Jul;35(7):685-91. doi: 10.1002/pd.4592. Epub 2015 Apr 5.
10
Clinical or postmortem? The importance of the autopsy; a retrospective study.临床研究还是尸检?尸检的重要性:一项回顾性研究。
Maedica (Bucur). 2014 Sep;9(3):261-5.