Suppr超能文献

院内死亡的死后计算机断层扫描要点:临床放射科医生应了解的内容。

Essence of postmortem computed tomography for in-hospital deaths: what clinical radiologists should know.

机构信息

Department of Radiology, Graduate School of Medicine, The University of Tokyo, 7-3-1 Hongo, Bunkyo-Ku, Tokyo, 113-8655, Japan.

Department of Pathology, Graduate School of Medicine, The University of Tokyo, 7-3-1 Hongo, Bunkyo-Ku, Tokyo, 113-8655, Japan.

出版信息

Jpn J Radiol. 2023 Oct;41(10):1039-1050. doi: 10.1007/s11604-023-01443-w. Epub 2023 May 17.

Abstract

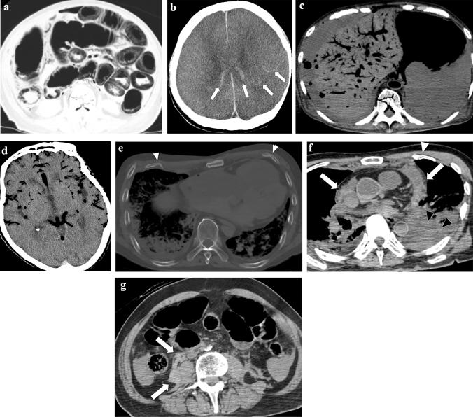
Postmortem computed tomography (CT) is an essential tool for investigating the causes of death. Postmortem CT has characteristic imaging findings and should not be interpreted in the same manner as clinical antemortem images. In analyzing the cause of death in in-hospital death cases using postmortem images, it is crucial to understand early postmortem and post-resuscitation changes. In addition, it is essential to understand the limitations of diagnosing the cause of death or significant pathology relating to death on non-contrast-enhanced postmortem CT. In Japan, there has also been social demand to establish a system for postmortem imaging at the time of death. To facilitate such a system, clinical radiologists should be prepared to interpret postmortem images and assess the cause of death. This review article provides comprehensive information regarding unenhanced postmortem CT for in-hospital death cases in daily clinical practice in Japan.

摘要

死后计算机断层扫描(CT)是研究死亡原因的重要工具。死后 CT 具有特征性的影像学表现,不应与临床生前图像以相同的方式进行解读。在使用死后图像分析院内死亡病例的死亡原因时,了解早期死后和复苏后变化至关重要。此外,了解在非增强死后 CT 上诊断死亡原因或与死亡相关的重要病理学的局限性也很重要。在日本,也有社会需求建立死亡时的死后影像学系统。为了促进这样的系统,临床放射科医生应该准备好解读死后图像并评估死亡原因。这篇综述文章提供了关于日本日常临床实践中院内死亡病例的非增强死后 CT 的全面信息。

https://cdn.ncbi.nlm.nih.gov/pmc/blobs/cb13/10543514/1072064efc50/11604_2023_1443_Fig1_HTML.jpg

文献AI研究员

20分钟写一篇综述,助力文献阅读效率提升50倍。

立即体验

用中文搜PubMed

大模型驱动的PubMed中文搜索引擎

马上搜索

文档翻译

学术文献翻译模型,支持多种主流文档格式。

立即体验