• 文献检索
  • 文档翻译
  • 深度研究
  • 学术资讯
  • Suppr Zotero 插件Zotero 插件
  • 邀请有礼
  • 套餐&价格
  • 历史记录
应用&插件
Suppr Zotero 插件Zotero 插件浏览器插件Mac 客户端Windows 客户端微信小程序
定价
高级版会员购买积分包购买API积分包
服务
文献检索文档翻译深度研究API 文档MCP 服务
关于我们
关于 Suppr公司介绍联系我们用户协议隐私条款
关注我们

Suppr 超能文献

核心技术专利:CN118964589B侵权必究
粤ICP备2023148730 号-1Suppr @ 2026

文献检索

告别复杂PubMed语法,用中文像聊天一样搜索,搜遍4000万医学文献。AI智能推荐,让科研检索更轻松。

立即免费搜索

文件翻译

保留排版,准确专业,支持PDF/Word/PPT等文件格式,支持 12+语言互译。

免费翻译文档

深度研究

AI帮你快速写综述,25分钟生成高质量综述,智能提取关键信息,辅助科研写作。

立即免费体验

2019年新型冠状病毒(COVID-19):一例病例报告及治疗综述

Novel coronavirus 2019 (COVID-19): A case report and review of treatments.

作者信息

Douedi Steven, Miskoff Jeffrey

机构信息

Department of Medicine, Hackensack Meridian Jersey Shore University Medical Center Neptune.

Department of Medicine, Hackensack Meridian School of Medicine at Seton Hall University Nutley.

出版信息

Medicine (Baltimore). 2020 May;99(19):e20207. doi: 10.1097/MD.0000000000020207.

DOI:10.1097/MD.0000000000020207
PMID:32384516
原文链接:https://pmc.ncbi.nlm.nih.gov/articles/PMC7220032/
Abstract

RATIONALE

Novel coronavirus 2019 (COVID-19) also known as severe acute respiratory syndrome coronavirus 2 (SARS-CoV-2) is an enveloped, non-segmented positive-sense RNA virus belonging to the beta-coronaviridae family. This virus is known to cause severe bilateral pneumonia and acute respiratory distress syndrome (ARDS) which can lead to difficulty breathing requiring mechanical ventilation and intensive care unit management.

PATIENT CONCERNS

A 77-year-old female with a history of hypertension and hyperlipidemia who presented as a transfer to our hospital facility with worsening fevers, cough, and respiratory distress.

DIAGNOSIS

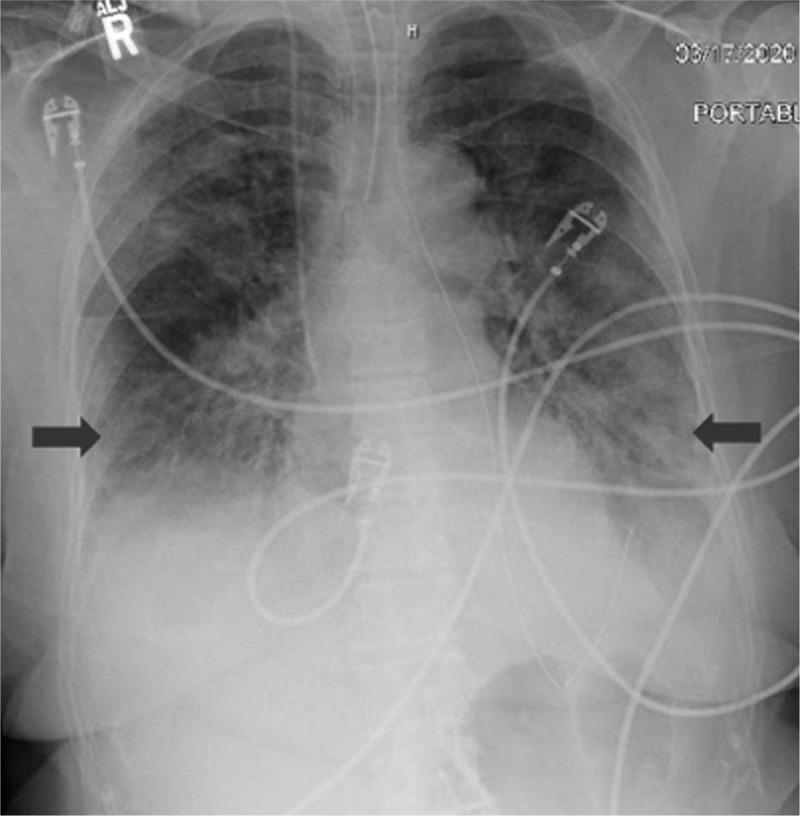
Chest X-rays revealed bilateral infiltrates worse at the lung bases and CT scan of the chest showed bilateral ground-glass opacities consistent with COVID-19. While our testing revealed a negative COVID-19 result at our institution, the result at a previous hospital returned a positive result.

INTERVENTIONS

She was being treated aggressively in the intensive care unit with high dose intravenous ascorbic acid, hydroxychloroquine, and anti-interleukin-6 monoclonal antibody. She also received a loading dose of remdesivir however was unable to complete the course due to organ failure and requirement of vasopressors for hemodynamic stability.

OUTCOMES

She remained critically ill and was eventually placed on comfort care as per the family's wishes and passed away.

LESSONS

With a rapidly growing death rate and more than 200,000 confirmed cases worldwide, COVID-19 has become a global pandemic and major hit to our healthcare systems. While several companies have already begun vaccine trials and healthcare facilities have been using a wide-range of medications to treat the virus and symptoms, there is not yet an approved medication regimen for COVID-19 infections. The alarming increase in cases per day adds additional pressure to find a cure and decrease the global health burden and mortality rate.

摘要

原理

2019新型冠状病毒(COVID-19),也称为严重急性呼吸综合征冠状病毒2(SARS-CoV-2),是一种包膜的、不分节段的正链RNA病毒,属于β冠状病毒科。已知这种病毒会导致严重的双侧肺炎和急性呼吸窘迫综合征(ARDS),可导致呼吸困难,需要机械通气和重症监护病房管理。

患者情况

一名77岁女性,有高血压和高脂血症病史,因发热、咳嗽和呼吸窘迫加重被转至我院。

诊断

胸部X光显示双侧肺底部浸润更严重,胸部CT扫描显示双侧磨玻璃样混浊,符合COVID-19表现。虽然我院检测结果为COVID-19阴性,但之前就诊医院的检测结果为阳性。

干预措施

她在重症监护病房接受积极治疗,使用大剂量静脉注射维生素C、羟氯喹和抗白细胞介素-6单克隆抗体。她还接受了瑞德西韦的负荷剂量治疗,但由于器官衰竭和需要血管加压药来维持血流动力学稳定,未能完成疗程。

结果

她病情一直危重,最终根据家人的意愿接受了舒适护理,随后去世。

经验教训

随着全球死亡率迅速上升,确诊病例超过20万例,COVID-19已成为全球大流行疾病,对我们的医疗系统造成了重大冲击。虽然几家公司已经开始进行疫苗试验,医疗机构也一直在使用多种药物来治疗该病毒及其症状,但目前尚无针对COVID-19感染的批准用药方案。每日病例数的惊人增加给寻找治愈方法、减轻全球健康负担和降低死亡率带来了额外压力。

https://cdn.ncbi.nlm.nih.gov/pmc/blobs/b150/7220032/930a45128a4e/medi-99-e20207-g002.jpg
https://cdn.ncbi.nlm.nih.gov/pmc/blobs/b150/7220032/441c04473d59/medi-99-e20207-g001.jpg
https://cdn.ncbi.nlm.nih.gov/pmc/blobs/b150/7220032/930a45128a4e/medi-99-e20207-g002.jpg
https://cdn.ncbi.nlm.nih.gov/pmc/blobs/b150/7220032/441c04473d59/medi-99-e20207-g001.jpg
https://cdn.ncbi.nlm.nih.gov/pmc/blobs/b150/7220032/930a45128a4e/medi-99-e20207-g002.jpg

相似文献

1
Novel coronavirus 2019 (COVID-19): A case report and review of treatments.2019年新型冠状病毒(COVID-19):一例病例报告及治疗综述
Medicine (Baltimore). 2020 May;99(19):e20207. doi: 10.1097/MD.0000000000020207.
2
Expanded Umbilical Cord Mesenchymal Stem Cells (UC-MSCs) as a Therapeutic Strategy in Managing Critically Ill COVID-19 Patients: The Case for Compassionate Use.扩充脐带间充质干细胞(UC-MSCs)作为治疗危重症 COVID-19 患者的一种治疗策略:同情用药的理由。
Pain Physician. 2020 Mar;23(2):E71-E83.
3
Severe Acute Respiratory Distress Syndrome Secondary to Coronavirus 2 (SARS-CoV-2).新型冠状病毒2型(SARS-CoV-2)继发的严重急性呼吸窘迫综合征
Int J Occup Environ Med. 2020 Oct;11(4):157-178. doi: 10.34172/ijoem.2020.2202.
4
Successful treatment with Remdesivir and corticosteroids in a patient with COVID-19-associated pneumonia: A case report.瑞德西韦和皮质类固醇成功治疗1例新冠肺炎相关肺炎患者:病例报告
Medwave. 2020 Aug 19;20(7):e7998. doi: 10.5867/medwave.2020.07.7998.
5
The race against COVID-19.与新冠病毒的赛跑。
Nat Nanotechnol. 2020 Apr;15(4):239-240. doi: 10.1038/s41565-020-0680-y.
6
A Phase 3 Open-label, Randomized, Controlled Study to Evaluate the Efficacy and Safety of Intravenously Administered Ravulizumab Compared with Best Supportive Care in Patients with COVID-19 Severe Pneumonia, Acute Lung Injury, or Acute Respiratory Distress Syndrome: A structured summary of a study protocol for a randomised controlled trial.一项评估静脉注射瑞维鲁单抗对比 COVID-19 重症肺炎、急性肺损伤或急性呼吸窘迫综合征患者最佳支持治疗的疗效和安全性的 III 期开放性标签、随机对照研究:一项随机对照试验研究方案的结构性总结。
Trials. 2020 Jul 13;21(1):639. doi: 10.1186/s13063-020-04548-z.
7
Delayed Initiation of Remdesivir in a COVID-19-Positive Patient.瑞德西韦治疗 COVID-19 阳性患者的时机延误。
Pharmacotherapy. 2020 Jun;40(6):592-598. doi: 10.1002/phar.2403. Epub 2020 May 20.
8
Case report study of the first five COVID-19 patients treated with remdesivir in France.法国首例 5 例 COVID-19 患者接受瑞德西韦治疗的病例研究
Int J Infect Dis. 2020 Sep;98:290-293. doi: 10.1016/j.ijid.2020.06.093. Epub 2020 Jun 30.
9
Repurposing antimalarials and other drugs for COVID-19.将抗疟药及其他药物重新用于治疗新冠肺炎。
Travel Med Infect Dis. 2020 Mar-Apr;34:101658. doi: 10.1016/j.tmaid.2020.101658. Epub 2020 Apr 2.
10
Safety and Efficacy of Imatinib for Hospitalized Adults with COVID-19: A structured summary of a study protocol for a randomised controlled trial.COVID-19 住院成人患者使用伊马替尼的安全性和疗效:一项随机对照试验研究方案的结构化总结。
Trials. 2020 Oct 28;21(1):897. doi: 10.1186/s13063-020-04819-9.

引用本文的文献

1
Evaluation of severe acute respiratory syndrome coronavirus 2 (SARS-CoV-2) using a high figure-of-merit plasmonic multimode refractive index optical sensor.采用高品质因子等离子体多模折射率光学生物传感器评估严重急性呼吸综合征冠状病毒 2(SARS-CoV-2)。
Sci Rep. 2024 Oct 26;14(1):25499. doi: 10.1038/s41598-024-77336-3.
2
Central Diabetes Insipidus: An Acute Manifestation of COVID-19 Infection.中枢性尿崩症:新冠病毒感染的一种急性表现
Cureus. 2023 Aug 21;15(8):e43884. doi: 10.7759/cureus.43884. eCollection 2023 Aug.
3
V-CarE-A Conceptual Design Model for Providing COVID-19 Pandemic Awareness: Proposal for a Virtual Reality Design Approach to Facilitate People With Persistent Postural-Perceptual Dizziness.

本文引用的文献

1
Hydroxychloroquine and azithromycin as a treatment of COVID-19: results of an open-label non-randomized clinical trial.羟氯喹和阿奇霉素治疗 COVID-19:一项开放标签非随机临床试验的结果。
Int J Antimicrob Agents. 2020 Jul;56(1):105949. doi: 10.1016/j.ijantimicag.2020.105949. Epub 2020 Mar 20.
2
Clinical features and treatment of COVID-19 patients in northeast Chongqing.重庆东北部地区 COVID-19 患者的临床特征和治疗方法。
J Med Virol. 2020 Jul;92(7):797-806. doi: 10.1002/jmv.25783. Epub 2020 Apr 1.
3
COVID-19: consider cytokine storm syndromes and immunosuppression.
V-CarE-A:一种用于提供新冠疫情认知的概念设计模型:关于促进持续性姿势-感知性头晕患者的虚拟现实设计方法的提案
JMIR Res Protoc. 2023 Jul 27;12:e38369. doi: 10.2196/38369.
4
A performance comparison of heterostructure surface plasmon resonance biosensor for the diagnosis of novel coronavirus SARS-CoV-2.用于诊断新型冠状病毒SARS-CoV-2的异质结构表面等离子体共振生物传感器的性能比较
Opt Quantum Electron. 2023;55(5):448. doi: 10.1007/s11082-023-04700-4. Epub 2023 Mar 25.
5
Resolution of persistent SARS-CoV-2 infection with prolonged intravenous remdesivir and vaccination in a patient post CAR-T.CAR-T 治疗后患者使用长时间静脉注射瑞德西韦和接种疫苗治愈持续性 SARS-CoV-2 感染
Int J Hematol. 2023 May;117(5):765-768. doi: 10.1007/s12185-022-03518-2. Epub 2023 Feb 9.
6
A Review of SARS-CoV2: Compared With SARS-CoV and MERS-CoV.严重急性呼吸综合征冠状病毒2(SARS-CoV-2)综述:与严重急性呼吸综合征冠状病毒(SARS-CoV)和中东呼吸综合征冠状病毒(MERS-CoV)的比较
Front Med (Lausanne). 2021 Dec 7;8:628370. doi: 10.3389/fmed.2021.628370. eCollection 2021.
7
The Effects of Vitamin C on the Multiple Pathophysiological Stages of COVID-19.维生素C对新型冠状病毒肺炎多病理生理阶段的影响
Life (Basel). 2021 Dec 3;11(12):1341. doi: 10.3390/life11121341.
8
COVID-19-Induced Cavitary Lesion: A Rare Presentation.新冠病毒感染所致空洞性病变:一种罕见表现
Cureus. 2021 Oct 12;13(10):e18723. doi: 10.7759/cureus.18723. eCollection 2021 Oct.
9
Remdesivir and Coronavirus Disease 2019 (COVID-19): Essential Questions and Answers for Pharmacists and Pharmacy Technicians.瑞德西韦与2019冠状病毒病(COVID-19):药剂师和药房技术员的重要问答
J Pharm Technol. 2021 Feb;37(1):62-74. doi: 10.1177/8755122520967634. Epub 2020 Oct 30.
10
Case report of a spontaneous pneumothorax after the recovery from COVID-19 pneumonia: A delayed complication.1例新型冠状病毒肺炎康复后自发性气胸的病例报告:一种延迟并发症。
Clin Case Rep. 2021 Oct 18;9(10):e04971. doi: 10.1002/ccr3.4971. eCollection 2021 Oct.
2019冠状病毒病:考虑细胞因子风暴综合征和免疫抑制。
Lancet. 2020 Mar 28;395(10229):1033-1034. doi: 10.1016/S0140-6736(20)30628-0. Epub 2020 Mar 16.
4
Discovering drugs to treat coronavirus disease 2019 (COVID-19).发现治疗2019冠状病毒病(COVID-19)的药物。
Drug Discov Ther. 2020;14(1):58-60. doi: 10.5582/ddt.2020.01012.
5
Clinical course and outcomes of critically ill patients with SARS-CoV-2 pneumonia in Wuhan, China: a single-centered, retrospective, observational study.中国武汉严重 COVID-19 患者的临床病程和结局:一项单中心、回顾性、观察性研究。
Lancet Respir Med. 2020 May;8(5):475-481. doi: 10.1016/S2213-2600(20)30079-5. Epub 2020 Feb 24.
6
Breakthrough: Chloroquine phosphate has shown apparent efficacy in treatment of COVID-19 associated pneumonia in clinical studies.突破:磷酸氯喹在临床研究中显示出对 COVID-19 相关肺炎的明显疗效。
Biosci Trends. 2020 Mar 16;14(1):72-73. doi: 10.5582/bst.2020.01047. Epub 2020 Feb 19.
7
Remdesivir and chloroquine effectively inhibit the recently emerged novel coronavirus (2019-nCoV) in vitro.瑞德西韦和氯喹在体外能有效抑制新出现的新型冠状病毒(2019 - 新冠病毒)。
Cell Res. 2020 Mar;30(3):269-271. doi: 10.1038/s41422-020-0282-0. Epub 2020 Feb 4.
8
Clinical features of patients infected with 2019 novel coronavirus in Wuhan, China.中国武汉地区 2019 年新型冠状病毒感染患者的临床特征。
Lancet. 2020 Feb 15;395(10223):497-506. doi: 10.1016/S0140-6736(20)30183-5. Epub 2020 Jan 24.
9
Origin and evolution of pathogenic coronaviruses.致病冠状病毒的起源与演化。
Nat Rev Microbiol. 2019 Mar;17(3):181-192. doi: 10.1038/s41579-018-0118-9.
10
Paradoxical Effect of Chloroquine Treatment in Enhancing Chikungunya Virus Infection.氯喹治疗增强基孔肯雅热病毒感染的矛盾效应。
Viruses. 2018 May 17;10(5):268. doi: 10.3390/v10050268.