Department of Physiology, School of Dentistry, Seoul National University and Dental Research Institute, Seoul 110-749, Korea.
Medical Oncology, CHA Bundang Medical Center, CHA University, Seongnam 13488, Korea.
Int J Mol Sci. 2020 May 14;21(10):3460. doi: 10.3390/ijms21103460.
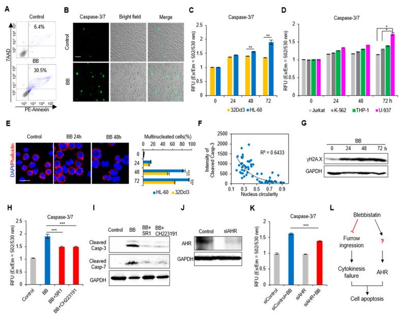
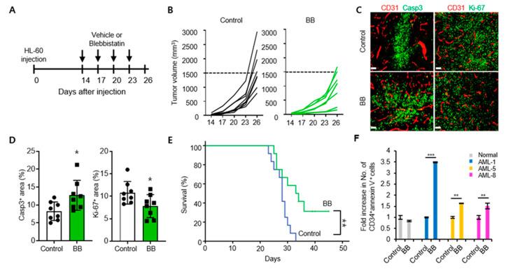
Actomyosin-mediated contractility is required for the majority of force-driven cellular events such as cell division, adhesion, and migration. Under pathological conditions, the role of actomyosin contractility in malignant phenotypes of various solid tumors has been extensively discussed, but the pathophysiological relevance in hematopoietic malignancies has yet to be elucidated. In this study, we found enhanced actomyosin contractility in diverse acute myeloid leukemia (AML) cell lines represented by highly expressed non-muscle myosin heavy chain A (NMIIA) and increased phosphorylation of the myosin regulatory light chain. Genetic and pharmacological inhibition of actomyosin contractility induced multivalent malignancy- suppressive effects in AML cells. In this context, perturbed actomyosin contractility enhances AML cell apoptosis through cytokinesis failure and aryl hydrocarbon receptor activation. Moreover, leukemic oncogenes were downregulated by the YAP/TAZ-mediated mechanotransduction pathway. Our results provide a theoretical background for targeting actomyosin contractility to suppress the malignancy of AML cells.
肌球蛋白介导的收缩性对于大多数力驱动的细胞事件是必需的,如细胞分裂、黏附和迁移。在病理条件下,肌球蛋白收缩性在各种实体瘤的恶性表型中的作用已被广泛讨论,但在造血恶性肿瘤中的病理生理学相关性尚未阐明。在这项研究中,我们发现多种急性髓系白血病(AML)细胞系中肌球蛋白收缩性增强,其特征是高度表达非肌肉肌球蛋白重链 A(NMIIA)和肌球蛋白调节轻链的磷酸化增加。肌球蛋白收缩性的遗传和药理学抑制在 AML 细胞中诱导了多效性的恶性抑制作用。在这种情况下,肌球蛋白收缩性的紊乱通过胞质分裂失败和芳烃受体激活增强 AML 细胞凋亡。此外,白血病致癌基因被 YAP/TAZ 介导的机械转导途径下调。我们的结果为靶向肌球蛋白收缩性抑制 AML 细胞恶性提供了理论基础。