• 文献检索
  • 文档翻译
  • 深度研究
  • 学术资讯
  • Suppr Zotero 插件Zotero 插件
  • 邀请有礼
  • 套餐&价格
  • 历史记录
应用&插件
Suppr Zotero 插件Zotero 插件浏览器插件Mac 客户端Windows 客户端微信小程序
定价
高级版会员购买积分包购买API积分包
服务
文献检索文档翻译深度研究API 文档MCP 服务
关于我们
关于 Suppr公司介绍联系我们用户协议隐私条款
关注我们

Suppr 超能文献

核心技术专利:CN118964589B侵权必究
粤ICP备2023148730 号-1Suppr @ 2026

文献检索

告别复杂PubMed语法,用中文像聊天一样搜索,搜遍4000万医学文献。AI智能推荐,让科研检索更轻松。

立即免费搜索

文件翻译

保留排版,准确专业,支持PDF/Word/PPT等文件格式,支持 12+语言互译。

免费翻译文档

深度研究

AI帮你快速写综述,25分钟生成高质量综述,智能提取关键信息,辅助科研写作。

立即免费体验

一名医护人员的皮肤接种性结核病:病例报告及文献综述

Cutaneous inoculation tuberculosis in a healthcare worker: Case report and literature review.

作者信息

Soto-Febres F, Ballena-López J, Alva D, Riboty A, León R, Chang J, Pérez-Lazo G, Hidalgo J

机构信息

Infectious Diseases Unit, Guillermo Almenara Irigoyen National Hospital, EsSalud. Lima - Peru.

Head, Neck and Maxillofacial Surgery Service, Guillermo Almenara Irigoyen National Hospital, EsSalud. Lima - Peru.

出版信息

IDCases. 2020 May 7;20:e00788. doi: 10.1016/j.idcr.2020.e00788. eCollection 2020.

DOI:10.1016/j.idcr.2020.e00788
PMID:32426232
原文链接:https://pmc.ncbi.nlm.nih.gov/articles/PMC7225731/
Abstract

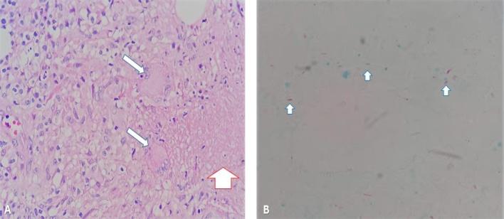
In all health care settings, particularly those in developing countries, healthcare workers have a high risk for exposure to tuberculosis. Tuberculosis can involve any organ, including the skin. Cutaneous tuberculosis is uncommon and may be secondary to an exogenous inoculation. We report the case of a surgical resident at a tertiary care hospital in Lima, Peru who developed cutaneous inoculation tuberculosis after sustaining a needlestick injury while performing a diagnostic cervical lymph node aspiration from a patient with HIV infection and tuberculous cervical lymphadenopathy.

摘要

在所有医疗环境中,尤其是在发展中国家的医疗环境中,医护人员面临着很高的结核病暴露风险。结核病可累及任何器官,包括皮肤。皮肤结核并不常见,可能继发于外源性接种。我们报告了秘鲁利马一家三级护理医院的一名外科住院医师的病例,该医师在为一名患有艾滋病毒感染和结核性颈淋巴结病的患者进行诊断性颈淋巴结穿刺抽吸时发生针刺伤后,患上了皮肤接种性结核病。

https://cdn.ncbi.nlm.nih.gov/pmc/blobs/8ea7/7225731/0f434b60d0dc/gr2.jpg
https://cdn.ncbi.nlm.nih.gov/pmc/blobs/8ea7/7225731/0286186a24d3/gr1.jpg
https://cdn.ncbi.nlm.nih.gov/pmc/blobs/8ea7/7225731/0f434b60d0dc/gr2.jpg
https://cdn.ncbi.nlm.nih.gov/pmc/blobs/8ea7/7225731/0286186a24d3/gr1.jpg
https://cdn.ncbi.nlm.nih.gov/pmc/blobs/8ea7/7225731/0f434b60d0dc/gr2.jpg

相似文献

1
Cutaneous inoculation tuberculosis in a healthcare worker: Case report and literature review.一名医护人员的皮肤接种性结核病:病例报告及文献综述
IDCases. 2020 May 7;20:e00788. doi: 10.1016/j.idcr.2020.e00788. eCollection 2020.
2
Primary Multidrug-resistant Tuberculosis in a Surgeon Secondary to a Needlestick Injury: A Neglected Problem.一名外科医生因针刺伤继发原发性耐多药结核病:一个被忽视的问题。
Infect Drug Resist. 2022 Nov 14;15:6651-6657. doi: 10.2147/IDR.S387363. eCollection 2022.
3
A Case of Generalized, Superinfected Dermatitis and Inguinal Mycobacterium Lymphadenitis - TB or not TB?一例全身性、合并感染性皮炎及腹股沟淋巴结结核——是结核吗?
Acta Dermatovenerol Croat. 2018 Oct;26(3):270-272.
4
Lymphatic Dissemination and Axillary Web Syndrome in Primary Cutaneous Tuberculosis Secondary to Needlestick Injury.针刺伤继发原发性皮肤结核中的淋巴播散及腋网综合征
Open Forum Infect Dis. 2021 Mar 30;8(7):ofab160. doi: 10.1093/ofid/ofab160. eCollection 2021 Jul.
5
Importance of human immunodeficiency virus-associated lymphadenopathy and tuberculous lymphadenitis in patients undergoing lymph node biopsy in Zambia.赞比亚接受淋巴结活检患者中人类免疫缺陷病毒相关淋巴结病和结核性淋巴结炎的重要性。
Br J Surg. 1996 Jan;83(1):75-8. doi: 10.1002/bjs.1800830124.
6
Fine-needle extrathoracic lymph-node aspiration in HIV-associated sputum-negative tuberculosis.HIV 相关痰菌阴性肺结核的细针胸外淋巴结穿刺抽吸术
Lancet. 1992;340(8834-8835):1504-5. doi: 10.1016/0140-6736(92)92758-8.
7
Primary inoculation skin tuberculosis by accidental needle stick.因意外针刺导致的原发性接种皮肤结核。
BMJ Case Rep. 2011 Jun 15;2011:bcr1120103496. doi: 10.1136/bcr.11.2010.3496.
8
Primary cutaneous inoculation tuberculosis in a healthcare worker as a result of a surgical accident.一名医护人员因手术意外导致原发性皮肤接种性结核病。
Int J Dermatol. 2008 Aug;47(8):833-5. doi: 10.1111/j.1365-4632.2008.03656.x.
9
Human immunodeficiency virus-positive tuberculous lymphadenitis in Central Africa: clinical presentation of 157 cases.中非地区人类免疫缺陷病毒阳性的结核性淋巴结炎:157例临床病例报告
Int J Tuberc Lung Dis. 1997 Jun;1(3):215-9.
10
[A study of 9 cases of cervical tuberculous lymphadenitis with the diagnosis of cervical tuberculous lymphadenitis].[9例颈部结核性淋巴结炎的研究及颈部结核性淋巴结炎的诊断]
Nihon Jibiinkoka Gakkai Kaiho. 2014 Mar;117(3):184-90. doi: 10.3950/jibiinkoka.117.184.

引用本文的文献

1
Primary Multidrug-resistant Tuberculosis in a Surgeon Secondary to a Needlestick Injury: A Neglected Problem.一名外科医生因针刺伤继发原发性耐多药结核病:一个被忽视的问题。
Infect Drug Resist. 2022 Nov 14;15:6651-6657. doi: 10.2147/IDR.S387363. eCollection 2022.

本文引用的文献

1
Prevalence and risk factors of tuberculosis in developing countries through health care workers.发展中国家医护人员中结核病的流行情况和危险因素。
Microb Pathog. 2018 Nov;124:279-283. doi: 10.1016/j.micpath.2018.08.057. Epub 2018 Aug 27.
2
Risk of Tuberculosis Infection and Disease for Health Care Workers: An Updated Meta-Analysis.医护人员感染结核病和患结核病的风险:一项更新的荟萃分析。
Open Forum Infect Dis. 2017 Aug 29;4(3):ofx137. doi: 10.1093/ofid/ofx137. eCollection 2017 Summer.
3
Cutaneous Tuberculosis.皮肤结核病。
Microbiol Spectr. 2017 Jan;5(1). doi: 10.1128/microbiolspec.TNMI7-0010-2016.
4
Primary cutaneous tuberculosis in a 27-year-old medical intern from needle-stick injury: a case report.一名27岁医学实习生因针刺伤导致原发性皮肤结核:病例报告
Clin Case Rep. 2015 Jan;3(1):39-42. doi: 10.1002/ccr3.143. Epub 2014 Nov 6.
5
Primary inoculation tuberculosis after an accidental scalpel injury.意外被手术刀刺伤后原发性接种性肺结核。
Infection. 2013 Aug;41(4):841-4. doi: 10.1007/s15010-013-0442-y. Epub 2013 Mar 7.
6
Primary inoculation skin tuberculosis by accidental needle stick.因意外针刺导致的原发性接种皮肤结核。
BMJ Case Rep. 2011 Jun 15;2011:bcr1120103496. doi: 10.1136/bcr.11.2010.3496.
7
Finger ulceration in a healthcare professional.
Ann Afr Med. 2010 Jan-Mar;9(1):45-7. doi: 10.4103/1596-3519.62626.
8
Primary cutaneous inoculation tuberculosis in a healthcare worker as a result of a surgical accident.一名医护人员因手术意外导致原发性皮肤接种性结核病。
Int J Dermatol. 2008 Aug;47(8):833-5. doi: 10.1111/j.1365-4632.2008.03656.x.
9
Transmission of Mycobacterium tuberculosis by accidental needlestick.
Respiration. 2000;67(6):696-7. doi: 10.1159/000056304.
10
Primary cutaneous tuberculosis after a needlestick injury from a patient with AIDS and undiagnosed tuberculosis.一名患有艾滋病且未被诊断出患有结核病的患者发生针刺伤后出现原发性皮肤结核。
Ann Intern Med. 1993 Oct 1;119(7 Pt 1):594-5. doi: 10.7326/0003-4819-119-7_part_1-199310010-00007.