• 文献检索
  • 文档翻译
  • 深度研究
  • 学术资讯
  • Suppr Zotero 插件Zotero 插件
  • 邀请有礼
  • 套餐&价格
  • 历史记录
应用&插件
Suppr Zotero 插件Zotero 插件浏览器插件Mac 客户端Windows 客户端微信小程序
定价
高级版会员购买积分包购买API积分包
服务
文献检索文档翻译深度研究API 文档MCP 服务
关于我们
关于 Suppr公司介绍联系我们用户协议隐私条款
关注我们

Suppr 超能文献

核心技术专利:CN118964589B侵权必究
粤ICP备2023148730 号-1Suppr @ 2026

文献检索

告别复杂PubMed语法,用中文像聊天一样搜索,搜遍4000万医学文献。AI智能推荐,让科研检索更轻松。

立即免费搜索

文件翻译

保留排版,准确专业,支持PDF/Word/PPT等文件格式,支持 12+语言互译。

免费翻译文档

深度研究

AI帮你快速写综述,25分钟生成高质量综述,智能提取关键信息,辅助科研写作。

立即免费体验

空气污染暴露加重了预先患有 COPD 的大鼠的炎症。

Exposure to Air Pollution Exacerbates Inflammation in Rats with Preexisting COPD.

机构信息

Henan Key Laboratory of Chinese Medicine for Respiratory Disease, Henan University of Chinese Medicine, Zhengzhou 450046, China.

Co-construction Collaborative Innovation Center for Chinese Medicine and Respiratory Diseases by Henan & Education Ministry of P.R. China, Zhengzhou 450046, China.

出版信息

Mediators Inflamm. 2020 May 8;2020:4260204. doi: 10.1155/2020/4260204. eCollection 2020.

DOI:10.1155/2020/4260204
PMID:32454790
原文链接:https://pmc.ncbi.nlm.nih.gov/articles/PMC7231193/
Abstract

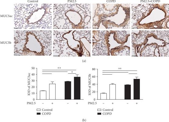
Particulate matter with an aerodynamic diameter equal or less than 2.5 micrometers (PM2.5) is associated with the development of chronic obstructive pulmonary disease (COPD). The mechanisms by which PM2.5 accelerates disease progression in COPD are poorly understood. In this study, we aimed to investigate the effect of PM2.5 on lung injury in rats with hallmark features of COPD. Cardinal features of human COPD were induced in a rat model by repeated cigarette smoke inhalation and bacterial infection for 8 weeks. Then, from week 9 to week 16, some of these rats with COPD were subjected to real-time concentrated atmospheric PM2.5. Lung function, pathology, inflammatory cytokines, oxidative stress, and mucus and collagen production were measured. As expected, the COPD rats had developed emphysema, inflammation, and deterioration in lung function. PM2.5 exposure resulted in greater lung function decline and histopathological changes, as reflected by increased Mucin (MUC) 5ac, MUC5b, Collagen I, Collagen III, and the profibrotic cytokine -smooth muscle-actin (SMA), transforming growth factor- (TGF-) 1 in lung tissues. PM2.5 also aggravated inflammation, increasing neutrophils and eosinophils in bronchoalveolar lavage fluid (BALF) and cytokines including Interleukin- (IL-) 1, granulocyte-macrophage colony-stimulating factor (GM-CSF), and IL-4. The likely mechanism is through oxidative stress as antioxidants levels were decreased, whereas oxidants were increased, indicating a detrimental shift in the oxidant-antioxidant balance. Altogether, these results suggest that PM2.5 exposure could promote the development of COPD by impairing lung function and exacerbating pulmonary injury, and the potential mechanisms are related to inflammatory response and oxidative stress.

摘要

粒径等于或小于 2.5 微米的颗粒物(PM2.5)与慢性阻塞性肺疾病(COPD)的发展有关。PM2.5 加速 COPD 疾病进展的机制尚不清楚。在这项研究中,我们旨在研究 PM2.5 对具有 COPD 标志性特征的大鼠肺损伤的影响。通过重复吸烟和细菌感染 8 周,在大鼠模型中诱导具有人类 COPD 主要特征。然后,从第 9 周到第 16 周,这些 COPD 大鼠中的一些接受了实时浓缩大气 PM2.5。测量了肺功能、病理学、炎症细胞因子、氧化应激以及粘液和胶原蛋白的产生。正如预期的那样,COPD 大鼠已经发展为肺气肿、炎症和肺功能恶化。PM2.5 暴露导致更大的肺功能下降和组织病理学变化,反映为肺组织中粘蛋白(MUC)5ac、MUC5b、I 型胶原蛋白、III 型胶原蛋白和促纤维化细胞因子 -平滑肌肌动蛋白(SMA)、转化生长因子 -(TGF-)1 的增加。PM2.5 还加重了炎症,增加了支气管肺泡灌洗液(BALF)中的中性粒细胞和嗜酸性粒细胞以及细胞因子,包括白细胞介素-(IL-)1、粒细胞-巨噬细胞集落刺激因子(GM-CSF)和 IL-4。可能的机制是通过氧化应激,因为抗氧化剂水平降低,而氧化剂增加,表明氧化还原平衡发生有害转变。总之,这些结果表明,PM2.5 暴露可能通过损害肺功能和加重肺损伤来促进 COPD 的发展,潜在机制与炎症反应和氧化应激有关。

https://cdn.ncbi.nlm.nih.gov/pmc/blobs/9a7f/7231193/2d4b5bcfaa95/MI2020-4260204.008.jpg
https://cdn.ncbi.nlm.nih.gov/pmc/blobs/9a7f/7231193/0339f683b4d8/MI2020-4260204.001.jpg
https://cdn.ncbi.nlm.nih.gov/pmc/blobs/9a7f/7231193/b29e21ac43b3/MI2020-4260204.002.jpg
https://cdn.ncbi.nlm.nih.gov/pmc/blobs/9a7f/7231193/d46d4479014a/MI2020-4260204.003.jpg
https://cdn.ncbi.nlm.nih.gov/pmc/blobs/9a7f/7231193/39d29bc468d2/MI2020-4260204.004.jpg
https://cdn.ncbi.nlm.nih.gov/pmc/blobs/9a7f/7231193/0a6f8dd1f9aa/MI2020-4260204.005.jpg
https://cdn.ncbi.nlm.nih.gov/pmc/blobs/9a7f/7231193/4455aeada3f7/MI2020-4260204.006.jpg
https://cdn.ncbi.nlm.nih.gov/pmc/blobs/9a7f/7231193/6709d71679fe/MI2020-4260204.007.jpg
https://cdn.ncbi.nlm.nih.gov/pmc/blobs/9a7f/7231193/2d4b5bcfaa95/MI2020-4260204.008.jpg
https://cdn.ncbi.nlm.nih.gov/pmc/blobs/9a7f/7231193/0339f683b4d8/MI2020-4260204.001.jpg
https://cdn.ncbi.nlm.nih.gov/pmc/blobs/9a7f/7231193/b29e21ac43b3/MI2020-4260204.002.jpg
https://cdn.ncbi.nlm.nih.gov/pmc/blobs/9a7f/7231193/d46d4479014a/MI2020-4260204.003.jpg
https://cdn.ncbi.nlm.nih.gov/pmc/blobs/9a7f/7231193/39d29bc468d2/MI2020-4260204.004.jpg
https://cdn.ncbi.nlm.nih.gov/pmc/blobs/9a7f/7231193/0a6f8dd1f9aa/MI2020-4260204.005.jpg
https://cdn.ncbi.nlm.nih.gov/pmc/blobs/9a7f/7231193/4455aeada3f7/MI2020-4260204.006.jpg
https://cdn.ncbi.nlm.nih.gov/pmc/blobs/9a7f/7231193/6709d71679fe/MI2020-4260204.007.jpg
https://cdn.ncbi.nlm.nih.gov/pmc/blobs/9a7f/7231193/2d4b5bcfaa95/MI2020-4260204.008.jpg

相似文献

1
Exposure to Air Pollution Exacerbates Inflammation in Rats with Preexisting COPD.空气污染暴露加重了预先患有 COPD 的大鼠的炎症。
Mediators Inflamm. 2020 May 8;2020:4260204. doi: 10.1155/2020/4260204. eCollection 2020.
2
Effects of concentrated ambient particles on normal and hypersecretory airways in rats.浓缩环境颗粒物对大鼠正常和分泌亢进气道的影响。
Res Rep Health Eff Inst. 2004 Aug(120):1-68; discussion 69-79.
3
Hydrogen-rich saline inhibits tobacco smoke-induced chronic obstructive pulmonary disease by alleviating airway inflammation and mucus hypersecretion in rats.富氢盐水通过减轻大鼠气道炎症和黏液高分泌来抑制烟草烟雾诱导的慢性阻塞性肺疾病。
Exp Biol Med (Maywood). 2017 Sep;242(15):1534-1541. doi: 10.1177/1535370217725249. Epub 2017 Aug 10.
4
Guggulsterone protects against cigarette smoke-induced COPD linked lung inflammation.古柯皂素可预防香烟烟雾引起的 COPD 相关肺部炎症。
Cell Biochem Biophys. 2024 Jun;82(2):1145-1158. doi: 10.1007/s12013-024-01265-1. Epub 2024 Apr 12.
5
Preventive effect of ursolic acid derivative on particulate matter 2.5-induced chronic obstructive pulmonary disease involves suppression of lung inflammation.熊果酸衍生物对细颗粒物2.5诱导的慢性阻塞性肺疾病的预防作用涉及对肺部炎症的抑制。
IUBMB Life. 2020 Apr;72(4):632-640. doi: 10.1002/iub.2201. Epub 2019 Dec 16.
6
3-week inhalation exposure to cigarette smoke and/or lipopolysaccharide in AKR/J mice.AKR/J小鼠为期3周的香烟烟雾和/或脂多糖吸入暴露。
Inhal Toxicol. 2007 Jan;19(1):23-35. doi: 10.1080/08958370600985784.
7
Vitamin D deficiency exacerbates COPD-like characteristics in the lungs of cigarette smoke-exposed mice.维生素D缺乏会加剧暴露于香烟烟雾的小鼠肺部的慢性阻塞性肺疾病(COPD)样特征。
Respir Res. 2015 Sep 16;16(1):110. doi: 10.1186/s12931-015-0271-x.
8
Exposure to Ambient Particulate Matter Induced COPD in a Rat Model and a Description of the Underlying Mechanism.暴露于环境细颗粒物导致大鼠模型中 COPD 的发生及其潜在机制的描述。
Sci Rep. 2017 Mar 31;7:45666. doi: 10.1038/srep45666.
9
Hydrogen ameliorates lung injury in a rat model of subacute exposure to concentrated ambient PM2.5 via Aryl hydrocarbon receptor.氢气通过芳香烃受体减轻大鼠亚急性暴露于浓缩环境 PM2.5 所致的肺损伤。
Int Immunopharmacol. 2019 Dec;77:105939. doi: 10.1016/j.intimp.2019.105939. Epub 2019 Nov 9.
10
[Effect of aminophylline and simvastatin on airway inflammation and mucus hypersecretion in rats with chronic obstructive pulmonary disease].氨茶碱与辛伐他汀对慢性阻塞性肺疾病大鼠气道炎症及黏液高分泌的影响
Zhong Nan Da Xue Xue Bao Yi Xue Ban. 2016 Jan;41(1):37-43. doi: 10.11817/j.issn.1672-7347.2016.01.006.

引用本文的文献

1
Omega‑3 Modify the Adverse Effects of Long-Term Exposure to Ambient Air Pollution on the Incidence of Chronic Obstructive Pulmonary Disease: Evidence from a Nationwide Prospective Cohort Study.ω-3改善长期暴露于环境空气污染对慢性阻塞性肺疾病发病率的不良影响:来自一项全国性前瞻性队列研究的证据。
Environ Health (Wash). 2025 Apr 28;3(7):787-794. doi: 10.1021/envhealth.4c00198. eCollection 2025 Jul 18.
2
Particulate matter-related ITIH4 deficiency is associated with an emphysema phenotype of COPD through JNK-dependent and JNK-independent signalling.与颗粒物相关的ITIH4缺乏通过JNK依赖性和JNK非依赖性信号传导与慢性阻塞性肺疾病的肺气肿表型相关。
Eur Respir J. 2025 Sep 17;66(3). doi: 10.1183/13993003.01610-2024. Print 2025 Sep.
3

本文引用的文献

1
Association of Long-term Ambient Ozone Exposure With Respiratory Morbidity in Smokers.长期暴露于环境臭氧中与吸烟者的呼吸系统疾病的关联。
JAMA Intern Med. 2020 Jan 1;180(1):106-115. doi: 10.1001/jamainternmed.2019.5498.
2
Association Between Long-term Exposure to Ambient Air Pollution and Change in Quantitatively Assessed Emphysema and Lung Function.长期暴露于环境空气污染与定量评估的肺气肿和肺功能变化之间的关联。
JAMA. 2019 Aug 13;322(6):546-556. doi: 10.1001/jama.2019.10255.
3
Source Contributions to Ambient Fine Particulate Matter for Canada.
Protective Effects of Atractylodis Rhizoma Extracts on Lung Injury Induced by Particulate Matter 2.5 in Mice.
白术提取物对小鼠细颗粒物2.5诱导的肺损伤的保护作用
Antioxidants (Basel). 2025 Jan 23;14(2):127. doi: 10.3390/antiox14020127.
4
Oxidative stress response to gasoline generator exhaust emission in adult male wistar rats.成年雄性Wistar大鼠对汽油发电机废气排放的氧化应激反应
Environ Anal Health Toxicol. 2024 Dec;39(4):e2024030-0. doi: 10.5620/eaht.2024030. Epub 2024 Dec 26.
5
Climate change, air pollution and chronic respiratory diseases: understanding risk factors and the need for adaptive strategies.气候变化、空气污染与慢性呼吸道疾病:了解风险因素及对适应性策略的需求
Environ Health Prev Med. 2025;30:7. doi: 10.1265/ehpm.24-00243.
6
Particulate matter-induced epigenetic modifications and lung complications.颗粒物引起的表观遗传修饰与肺部并发症。
Eur Respir Rev. 2024 Nov 13;33(174). doi: 10.1183/16000617.0129-2024. Print 2024 Oct.
7
In vivo and in vitro Models of PM2.5 Induced COPD: Focus on the Role of RTA-408.PM2.5 诱导 COPD 的体内和体外模型:聚焦于 RTA-408 的作用。
Int J Chron Obstruct Pulmon Dis. 2024 Oct 9;19:2239-2257. doi: 10.2147/COPD.S475281. eCollection 2024.
8
Effects of PM2.5 on mucus hypersecretion in airway through miR-133b-5p/EGFR/Claudin1/MUC5AC axis.PM2.5 通过 miR-133b-5p/EGFR/Claudin1/MUC5AC 轴对气道黏液高分泌的影响。
Aging (Albany NY). 2024 May 26;16(10):8472-8483. doi: 10.18632/aging.205785.
9
Melatonin and mesenchymal stem cells co-administration alleviates chronic obstructive pulmonary disease via modulation of angiogenesis at the vascular-alveolar unit.褪黑素和间充质干细胞共同给药通过调节血管肺泡单元的血管生成缓解慢性阻塞性肺疾病。
Pflugers Arch. 2024 Jul;476(7):1155-1168. doi: 10.1007/s00424-024-02968-3. Epub 2024 May 14.
10
Effects of environmental exposure to iron powder on healthy and elastase-exposed mice.环境暴露于铁粉对健康小鼠和经弹性蛋白酶处理小鼠的影响。
Sci Rep. 2024 Apr 21;14(1):9134. doi: 10.1038/s41598-024-59573-8.
加拿大环境细颗粒物的来源贡献。
Environ Sci Technol. 2019 Sep 3;53(17):10269-10278. doi: 10.1021/acs.est.9b02461. Epub 2019 Aug 21.
4
The Effect of Fine Particulate Matter on the Inflammatory Responses in Human Upper Airway Mucosa.细颗粒物对人上呼吸道黏膜炎症反应的影响
Am J Respir Crit Care Med. 2019 Nov 15;200(10):1315-1318. doi: 10.1164/rccm.201903-0635LE.
5
Air pollution, lung function and COPD: results from the population-based UK Biobank study.空气污染、肺功能与 COPD:基于人群的英国生物库研究结果。
Eur Respir J. 2019 Jul 25;54(1). doi: 10.1183/13993003.02140-2018. Print 2019 Jul.
6
Mortality, morbidity, and risk factors in China and its provinces, 1990-2017: a systematic analysis for the Global Burden of Disease Study 2017.死亡率、发病率和风险因素在中国及其省份,1990-2017 年:2017 年全球疾病负担研究的系统分析。
Lancet. 2019 Sep 28;394(10204):1145-1158. doi: 10.1016/S0140-6736(19)30427-1. Epub 2019 Jun 24.
7
Associations between daily air quality and hospitalisations for acute exacerbation of chronic obstructive pulmonary disease in Beijing, 2013-17: an ecological analysis.2013-2017 年北京市每日空气质量与慢性阻塞性肺疾病急性加重住院的关系:一项生态学分析。
Lancet Planet Health. 2019 Jun;3(6):e270-e279. doi: 10.1016/S2542-5196(19)30085-3.
8
Role of PM in the development and progression of COPD and its mechanisms.PM 在 COPD 的发生发展及其机制中的作用。
Respir Res. 2019 Jun 13;20(1):120. doi: 10.1186/s12931-019-1081-3.
9
Fine-particulate matter aggravates cigarette smoke extract-induced airway inflammation via Wnt5a-ERK pathway in COPD.细颗粒物通过 Wnt5a-ERK 通路加剧 COPD 患者香烟烟雾提取物诱导的气道炎症。
Int J Chron Obstruct Pulmon Dis. 2019 May 9;14:979-994. doi: 10.2147/COPD.S195794. eCollection 2019.
10
Seasonal characteristics and health risks of PM-bound organic pollutants in industrial and urban areas of a China megacity.中国特大城市工业及城区大气细颗粒物中有机污染物的季节特征及健康风险。
J Environ Manage. 2019 Sep 1;245:273-281. doi: 10.1016/j.jenvman.2019.05.061. Epub 2019 May 31.