Suppr超能文献

贲门失弛缓症继发巨食管压迫导致气管软化引起的急性气道梗阻和心肺骤停。

Acute Airway Obstruction and Cardiopulmonary Arrest due to Tracheomalacia Caused by Megaesophagus Compression Secondary to Achalasia.

作者信息

Aubignat Mickael, Roger Pierre-Alexandre, Dernoncourt Amandine, Salle Valery, Smail Amar, Gourguechon Clement, Schmidt Jean, Duhaut Pierre

机构信息

Department of Internal Medicine, Amiens University Hospital, France.

Department of Respiratory Diseases and Intensive Care Unit, Amiens University Hospital, France.

出版信息

Case Rep Pulmonol. 2020 May 9;2020:5946985. doi: 10.1155/2020/5946985. eCollection 2020.

Abstract

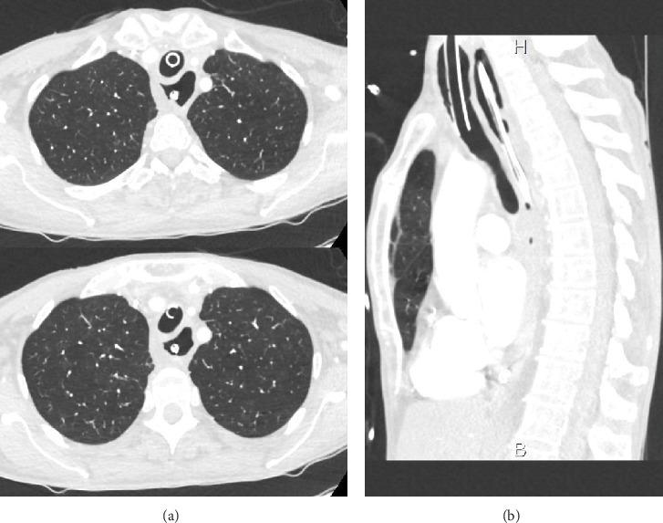
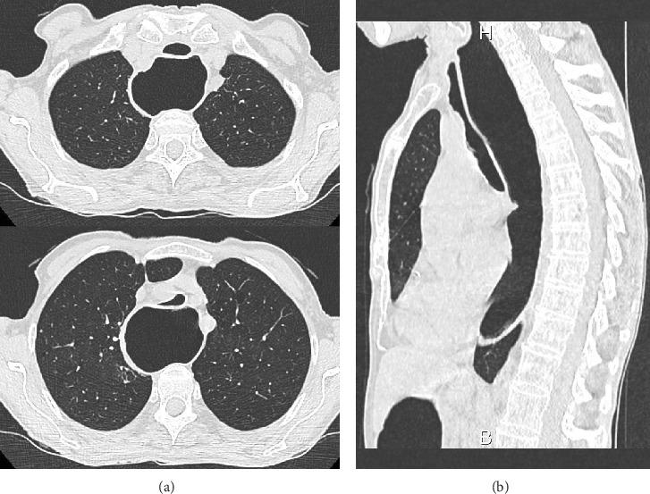
We report the case of an 80-year-old woman who presented one episode of cardiopulmonary arrest and two episodes of acute airway obstruction. We found in this patient the presence of tracheomalacia caused by megaesophagus compression secondary to achalasia probably responsible for episodes of acute airway obstruction and cardiopulmonary arrest.

摘要

我们报告了一名80岁女性的病例,该患者出现了一次心肺骤停和两次急性气道梗阻。我们发现该患者存在由贲门失弛缓症继发的巨食管压迫导致的气管软化,这可能是急性气道梗阻和心肺骤停发作的原因。

https://cdn.ncbi.nlm.nih.gov/pmc/blobs/c3c9/7232722/b2917892c670/CRIPU2020-5946985.001.jpg

文献检索

告别复杂PubMed语法,用中文像聊天一样搜索,搜遍4000万医学文献。AI智能推荐,让科研检索更轻松。

立即免费搜索

文件翻译

保留排版,准确专业,支持PDF/Word/PPT等文件格式,支持 12+语言互译。

免费翻译文档

深度研究

AI帮你快速写综述,25分钟生成高质量综述,智能提取关键信息,辅助科研写作。

立即免费体验