Suppr超能文献

一名 25 岁女性,因肠系膜上静脉大血栓形成导致急性腹膜炎,经非手术治疗获得成功。

Successful Nonsurgical Treatment of Acute Peritonitis Caused by a Large Thrombosis of the Superior Mesenteric Vein in a 25-year-old Woman.

机构信息

Center for Graduate Medical Education, Okayama University Hospital, Japan.

Department of Cardiovascular Medicine, Okayama City Hospital, Japan.

出版信息

Intern Med. 2020 Sep 1;59(17):2143-2147. doi: 10.2169/internalmedicine.4006-19. Epub 2020 May 26.

Abstract

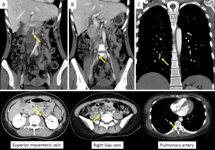
Superior mesenteric venous thrombosis (SMVT), which results from various etiologies, including coagulation disorders, can be diagnosed early using advanced imaging technology. However, few reports have described the nonsurgical treatment of acute peritonitis caused by SMVT. We encountered a young woman whose history included abdominal pain and daily oral contraceptives and who presented with acute peritonitis caused by SMVT. We administered nonsurgical treatment that included thrombolysis and anticoagulation for the peritonitis (without mesenteric ischemia as confirmed by contrast-enhanced computed tomography). In addition, we showed the importance of investigating persistent risk factors for thromboembolism in young patients to determine the duration of anticoagulation.

摘要

肠系膜上静脉血栓形成(SMVT)可由多种病因引起,包括凝血障碍等,可通过先进的影像学技术早期诊断。然而,很少有报道描述 SMVT 引起的急性腹膜炎的非手术治疗方法。我们遇到一位年轻女性,既往有腹痛病史,每日口服避孕药,因 SMVT 引起急性腹膜炎。我们对其进行了非手术治疗,包括针对腹膜炎的溶栓和抗凝治疗(增强 CT 未发现肠系膜缺血)。此外,我们还强调了在年轻患者中调查持续性血栓栓塞风险因素以确定抗凝时间的重要性。

https://cdn.ncbi.nlm.nih.gov/pmc/blobs/5c18/7516314/aa221ae9e68b/1349-7235-59-2143-g001.jpg

文献AI研究员

20分钟写一篇综述,助力文献阅读效率提升50倍。

立即体验

用中文搜PubMed

大模型驱动的PubMed中文搜索引擎

马上搜索

文档翻译

学术文献翻译模型,支持多种主流文档格式。

立即体验