• 文献检索
  • 文档翻译
  • 深度研究
  • 学术资讯
  • Suppr Zotero 插件Zotero 插件
  • 邀请有礼
  • 套餐&价格
  • 历史记录
应用&插件
Suppr Zotero 插件Zotero 插件浏览器插件Mac 客户端Windows 客户端微信小程序
定价
高级版会员购买积分包购买API积分包
服务
文献检索文档翻译深度研究API 文档MCP 服务
关于我们
关于 Suppr公司介绍联系我们用户协议隐私条款
关注我们

Suppr 超能文献

核心技术专利:CN118964589B侵权必究
粤ICP备2023148730 号-1Suppr @ 2026

文献检索

告别复杂PubMed语法,用中文像聊天一样搜索,搜遍4000万医学文献。AI智能推荐,让科研检索更轻松。

立即免费搜索

文件翻译

保留排版,准确专业,支持PDF/Word/PPT等文件格式,支持 12+语言互译。

免费翻译文档

深度研究

AI帮你快速写综述,25分钟生成高质量综述,智能提取关键信息,辅助科研写作。

立即免费体验

通过独特抗体(A3)标记的体干细胞参与大鼠毛囊周期和皮肤创伤愈合。该抗体可识别 N-糖链和肽。

Participation of Somatic Stem Cells, Labeled by a Unique Antibody (A3) Recognizing both N-glycan and Peptide, to Hair Follicle Cycle and Cutaneous Wound Healing in Rats.

机构信息

Laboratory of Veterinary Pathology, Osaka Prefecture University, Izumisano City, Osaka 598-0048, Japan.

Department of Clinical Nutrition, Osaka Prefecture University, Habikino City, Osaka 583-8555, Japan.

出版信息

Int J Mol Sci. 2020 May 27;21(11):3806. doi: 10.3390/ijms21113806.

DOI:10.3390/ijms21113806
PMID:32471256
原文链接:https://pmc.ncbi.nlm.nih.gov/articles/PMC7312608/
Abstract

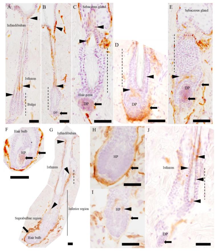
A monoclonal antibody (A3) was generated by using rat malignant fibrous histiocytoma (MFH) cells as the antigen. Generally, MFH is considered to be a sarcoma derived from undifferentiated mesenchymal cells. Molecular biological analyses using the lysate of rat MFH cells revealed that A3 is a conformation specific antibody recognizing both -glycan and peptide. A3-labeled cells in bone marrow were regarded as somatic stem cells, because the cells partly coexpressed CD90 and CD105 (both immature mesenchymal markers). In the hair follicle cycle, particularly the anagen, the immature epithelial cells (suprabasal cells) near the bulge and some immature mesenchymal cells in the disassembling dermal papilla and regenerating connective tissue sheath/hair papilla reacted to A3. In the cutaneous wound-healing process, A3-labeled epithelial cells participated in re-epithelialization in the wound bed, and apparently, the labeled cells were derived from the hair bulge; in addition, A3-labeled immature mesenchymal cells in the connective tissue sheath of hair follicles at the wound edge showed the expansion of the A3 immunolabeling. A3-labeled immature epithelial and mesenchymal cells contributed to morphogenesis in the hair cycle and tissue repair after a cutaneous wound. A3 could become a unique antibody to identify somatic stem cells capable of differentiating both epithelial and mesenchymal cells in rat tissues.

摘要

一种单克隆抗体(A3)是通过使用大鼠恶性纤维组织细胞瘤(MFH)细胞作为抗原产生的。一般来说,MFH 被认为是一种源自未分化间充质细胞的肉瘤。使用大鼠 MFH 细胞的裂解物进行的分子生物学分析表明,A3 是一种识别β-聚糖和肽的构象特异性抗体。骨髓中被 A3 标记的细胞被认为是体干细胞,因为这些细胞部分表达 CD90 和 CD105(两者都是未成熟的间充质标志物)。在毛囊周期中,特别是在生长期,隆起附近的未成熟上皮细胞(基底上层细胞)和正在解体的真皮乳头中的一些未成熟间充质细胞以及再生的结缔组织鞘/毛乳头对 A3 有反应。在皮肤伤口愈合过程中,A3 标记的上皮细胞参与创面的再上皮化,显然,标记的细胞来自于毛囊隆起;此外,在伤口边缘的毛囊结缔组织鞘中的 A3 标记的未成熟间充质细胞显示出 A3 免疫标记的扩张。A3 标记的未成熟上皮细胞和间充质细胞有助于毛发周期中的形态发生和皮肤伤口后的组织修复。A3 可能成为一种独特的抗体,可识别大鼠组织中能够分化为上皮细胞和间充质细胞的体干细胞。

https://cdn.ncbi.nlm.nih.gov/pmc/blobs/086b/7312608/c176cfc058d0/ijms-21-03806-g011.jpg
https://cdn.ncbi.nlm.nih.gov/pmc/blobs/086b/7312608/396b866395de/ijms-21-03806-g001.jpg
https://cdn.ncbi.nlm.nih.gov/pmc/blobs/086b/7312608/a2197ca8b719/ijms-21-03806-g002.jpg
https://cdn.ncbi.nlm.nih.gov/pmc/blobs/086b/7312608/bd0bba02ea77/ijms-21-03806-g003.jpg
https://cdn.ncbi.nlm.nih.gov/pmc/blobs/086b/7312608/c0734bed07b3/ijms-21-03806-g004.jpg
https://cdn.ncbi.nlm.nih.gov/pmc/blobs/086b/7312608/6a227cdf1770/ijms-21-03806-g005.jpg
https://cdn.ncbi.nlm.nih.gov/pmc/blobs/086b/7312608/6a41be3a2aa2/ijms-21-03806-g006.jpg
https://cdn.ncbi.nlm.nih.gov/pmc/blobs/086b/7312608/aad7385f29f7/ijms-21-03806-g007.jpg
https://cdn.ncbi.nlm.nih.gov/pmc/blobs/086b/7312608/b25a3bb755ca/ijms-21-03806-g008.jpg
https://cdn.ncbi.nlm.nih.gov/pmc/blobs/086b/7312608/0e4d34481a08/ijms-21-03806-g009.jpg
https://cdn.ncbi.nlm.nih.gov/pmc/blobs/086b/7312608/8f8fa449fed7/ijms-21-03806-g010.jpg
https://cdn.ncbi.nlm.nih.gov/pmc/blobs/086b/7312608/c176cfc058d0/ijms-21-03806-g011.jpg
https://cdn.ncbi.nlm.nih.gov/pmc/blobs/086b/7312608/396b866395de/ijms-21-03806-g001.jpg
https://cdn.ncbi.nlm.nih.gov/pmc/blobs/086b/7312608/a2197ca8b719/ijms-21-03806-g002.jpg
https://cdn.ncbi.nlm.nih.gov/pmc/blobs/086b/7312608/bd0bba02ea77/ijms-21-03806-g003.jpg
https://cdn.ncbi.nlm.nih.gov/pmc/blobs/086b/7312608/c0734bed07b3/ijms-21-03806-g004.jpg
https://cdn.ncbi.nlm.nih.gov/pmc/blobs/086b/7312608/6a227cdf1770/ijms-21-03806-g005.jpg
https://cdn.ncbi.nlm.nih.gov/pmc/blobs/086b/7312608/6a41be3a2aa2/ijms-21-03806-g006.jpg
https://cdn.ncbi.nlm.nih.gov/pmc/blobs/086b/7312608/aad7385f29f7/ijms-21-03806-g007.jpg
https://cdn.ncbi.nlm.nih.gov/pmc/blobs/086b/7312608/b25a3bb755ca/ijms-21-03806-g008.jpg
https://cdn.ncbi.nlm.nih.gov/pmc/blobs/086b/7312608/0e4d34481a08/ijms-21-03806-g009.jpg
https://cdn.ncbi.nlm.nih.gov/pmc/blobs/086b/7312608/8f8fa449fed7/ijms-21-03806-g010.jpg
https://cdn.ncbi.nlm.nih.gov/pmc/blobs/086b/7312608/c176cfc058d0/ijms-21-03806-g011.jpg

相似文献

1
Participation of Somatic Stem Cells, Labeled by a Unique Antibody (A3) Recognizing both N-glycan and Peptide, to Hair Follicle Cycle and Cutaneous Wound Healing in Rats.通过独特抗体(A3)标记的体干细胞参与大鼠毛囊周期和皮肤创伤愈合。该抗体可识别 N-糖链和肽。
Int J Mol Sci. 2020 May 27;21(11):3806. doi: 10.3390/ijms21113806.
2
Rat hair follicle-constituting cells labeled by a newly-developed somatic stem cell-recognizing antibody: a possible marker of hair follicle development.新型体干细胞识别抗体标记的大鼠毛囊构成细胞:毛囊发育的可能标志物。
Histol Histopathol. 2013 Feb;28(2):257-68. doi: 10.14670/HH-28.257.
3
The localization and distribution of cells labeled by a somatic stem cell-recognizing antibody (A3) in rat colon development; possible presence of a new cell type forming the intestinal stem cell niche.大鼠结肠发育过程中由体干细胞识别抗体(A3)标记的细胞的定位和分布;形成肠干细胞生态位的新细胞类型的可能存在。
J Toxicol Pathol. 2019 Jan;32(1):37-48. doi: 10.1293/tox.2018-0037. Epub 2018 Sep 9.
4
Hair Follicle Bulge Stem Cells Appear Dispensable for the Acute Phase of Wound Re-epithelialization.毛囊隆突干细胞在伤口再上皮化急性期似乎并非不可或缺。
Stem Cells. 2016 May;34(5):1377-85. doi: 10.1002/stem.2289. Epub 2016 Feb 2.
5
Bulge Hair Follicle Stem Cells Accelerate Cutaneous Wound Healing in Rats.隆起毛囊干细胞加速大鼠皮肤伤口愈合
Wounds. 2016 Apr;28(4):132-41.
6
Adipogenic, osteogenic and myofibrogenic differentiations of a rat malignant fibrous histiocytoma (MFH)-derived cell line, and a relationship of MFH cells with embryonal mesenchymal, perivascular and bone marrow stem cells.大鼠恶性纤维组织细胞瘤(MFH)来源的细胞系的脂肪生成、成骨和成肌纤维生成分化,以及MFH细胞与胚胎间充质、血管周围和骨髓干细胞的关系。
Eur J Cancer. 2007 Dec;43(18):2747-56. doi: 10.1016/j.ejca.2007.10.021.
7
Distribution of cells labelled by a monoclonal antibody (A3) against a cloned cell line derived from a rat malignant fibrous histiocytoma.一种针对源自大鼠恶性纤维组织细胞瘤的克隆细胞系的单克隆抗体(A3)标记的细胞分布情况。
J Comp Pathol. 2000 Aug-Oct;123(2-3):77-87. doi: 10.1053/jcpa.2000.0389.
8
Hair Follicle Transplantation for Wound Repair.毛发移植修复创面。
Adv Wound Care (New Rochelle). 2021 Mar;10(3):153-163. doi: 10.1089/wound.2019.1139. Epub 2020 Jun 10.
9
Immunophenotypical analyses of myofibroblasts in rat excisional wound healing: possible transdifferentiation of blood vessel pericytes and perifollicular dermal sheath cells into myofibroblasts.免疫表型分析大鼠切创愈合中的肌成纤维细胞:血管周细胞和毛囊周围真皮鞘细胞向肌成纤维细胞的可能转分化。
Histol Histopathol. 2012 Apr;27(4):515-27. doi: 10.14670/HH-27.515.
10
Epithelial stem cells and implications for wound repair.上皮干细胞及其在伤口修复中的意义。
Semin Cell Dev Biol. 2012 Dec;23(9):946-53. doi: 10.1016/j.semcdb.2012.10.001. Epub 2012 Oct 17.

引用本文的文献

1
The regenerative wound healing effects and molecular mechanism of Isaria cicadae Miquel rice fermentation extract.蝉拟青霉大米发酵提取物的再生性伤口愈合作用及分子机制
Appl Microbiol Biotechnol. 2025 Feb 10;109(1):40. doi: 10.1007/s00253-025-13412-6.
2
Stem cell pathology: histogenesis of malignant fibrous histiocytoma and characterization of myofibroblasts appearing in fibrotic lesions.干细胞病理学:恶性纤维组织细胞瘤的组织发生和纤维病变中出现的肌纤维母细胞的特征。
J Vet Med Sci. 2023 Sep 1;85(9):895-906. doi: 10.1292/jvms.23-0225. Epub 2023 Jul 17.
3
Critical Overview on Regenerative Medicine: New Insights into the Role of Stem Cells and Innovative Biomaterials.

本文引用的文献

1
Participation of Somatic Stem Cells, Recognized by a Unique A3 Antibody, in Mucosal Epithelial Regeneration in Dextran Sulfate Sodium (DSS)-Induced Rat Colonic Lesions.A3 抗体识别的体干细胞参与葡聚糖硫酸钠(DSS)诱导的大鼠结肠病变中黏膜上皮的再生。
Toxicol Pathol. 2020 Jun;48(4):560-569. doi: 10.1177/0192623320906817. Epub 2020 Mar 3.
2
The localization and distribution of cells labeled by a somatic stem cell-recognizing antibody (A3) in rat colon development; possible presence of a new cell type forming the intestinal stem cell niche.大鼠结肠发育过程中由体干细胞识别抗体(A3)标记的细胞的定位和分布;形成肠干细胞生态位的新细胞类型的可能存在。
J Toxicol Pathol. 2019 Jan;32(1):37-48. doi: 10.1293/tox.2018-0037. Epub 2018 Sep 9.
3
再生医学综述:干细胞和创新生物材料作用的新见解
Int J Mol Sci. 2023 Apr 27;24(9):7936. doi: 10.3390/ijms24097936.
4
Healing Mechanisms in Cutaneous Wounds: Tipping the Balance.皮肤创伤的愈合机制:平衡倾斜。
Tissue Eng Part B Rev. 2022 Oct;28(5):1151-1167. doi: 10.1089/ten.TEB.2021.0114. Epub 2022 Mar 11.
Bimodal behaviour of interfollicular epidermal progenitors regulated by hair follicle position and cycling.由毛囊位置和周期性调控的毛囊间表皮祖细胞的双峰行为
EMBO J. 2016 Dec 15;35(24):2658-2670. doi: 10.15252/embj.201693806. Epub 2016 Oct 21.
4
Pericyte-fibroblast transition promotes tumor growth and metastasis.周细胞-成纤维细胞转变促进肿瘤生长和转移。
Proc Natl Acad Sci U S A. 2016 Sep 20;113(38):E5618-27. doi: 10.1073/pnas.1608384113. Epub 2016 Sep 7.
5
Structural and quantitative evidence of α2-6-sialylated N-glycans as markers of the differentiation potential of human mesenchymal stem cells.α2-6-唾液酸化 N-糖作为人骨髓间充质干细胞分化潜能标志物的结构和定量证据。
Glycoconj J. 2017 Dec;34(6):797-806. doi: 10.1007/s10719-016-9699-6. Epub 2016 Jun 17.
6
Transient effects of empty liposomes on hepatic macrophage populations in rats.空脂质体对大鼠肝脏巨噬细胞群体的短暂影响。
J Toxicol Pathol. 2016 Apr;29(2):139-44. doi: 10.1293/tox.2015-0082. Epub 2016 Feb 12.
7
Muse Cells Provide the Pluripotency of Mesenchymal Stem Cells: Direct Contribution of Muse Cells to Tissue Regeneration.多能分化应激耐受细胞赋予间充质干细胞多能性:多能分化应激耐受细胞对组织再生的直接贡献。
Cell Transplant. 2016;25(5):849-61. doi: 10.3727/096368916X690881. Epub 2016 Feb 15.
8
Hair follicle and interfollicular epidermal stem cells make varying contributions to wound regeneration.毛囊和毛囊间表皮干细胞对伤口再生的贡献各不相同。
Cell Cycle. 2015;14(21):3408-17. doi: 10.1080/15384101.2015.1090062.
9
Rat malignant fibrous histiocytoma (MFH)-derived cloned cell lines (MT-8 and MT-9) show different differentiation in mesenchymal stem cell lineage.大鼠恶性纤维组织细胞瘤(MFH)衍生的克隆细胞系(MT-8和MT-9)在间充质干细胞谱系中表现出不同的分化情况。
Exp Toxicol Pathol. 2015 Oct;67(10):499-507. doi: 10.1016/j.etp.2015.07.004. Epub 2015 Jul 21.
10
Perivascular Gli1+ progenitors are key contributors to injury-induced organ fibrosis.血管周围Gli1+祖细胞是损伤诱导器官纤维化的关键促成因素。
Cell Stem Cell. 2015 Jan 8;16(1):51-66. doi: 10.1016/j.stem.2014.11.004. Epub 2014 Nov 20.