Suppr超能文献

复发性成釉细胞瘤累及腓骨重建下颌骨:应用对侧游离腓骨瓣的数字化规划与重建治疗

Recurrent Ameloblastoma Involving Fibula Neo-mandible: Management with Digital Planning and Reconstruction Using a Contralateral Free Fibula Flap.

作者信息

Beecher Suzanne M, Lennon Paul, O'Shaughnessy Michael, Barry Conor P

机构信息

Plastic & Reconstructive Surgery, Cork University Hospital, Cork, IRL.

Ear, Nose & Throat Surgery, St. James's Hospital, Dublin, IRL.

出版信息

Cureus. 2020 Apr 29;12(4):e7880. doi: 10.7759/cureus.7880.

Abstract

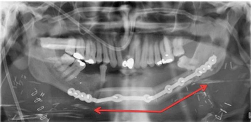
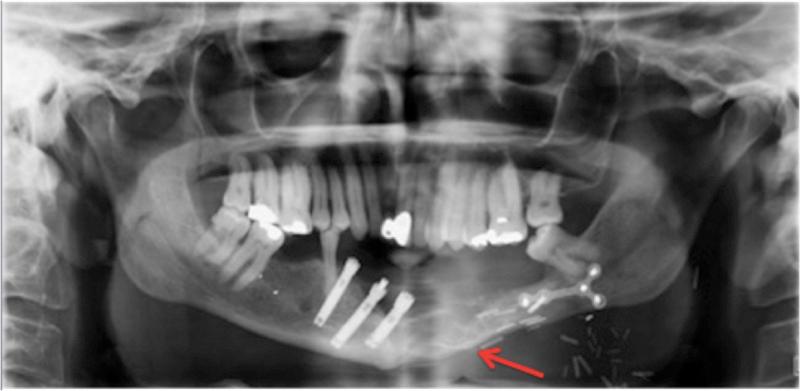
Ameloblastoma is a locally aggressive tumor that most commonly arises in the mandible. It has a high rate of recurrence if inadequately excised. We report a case of a patient who developed recurrence of his ameloblastoma in his fibula flap mandibular reconstruction despite clear resection margins 23 years after resection. This is the first reported case of recurrent ameloblastoma in a neo-mandible reconstruction in the setting of negative margins. We discuss its surgical management using digital planning and reconstruction using a contralateral free fibula flap. Ameloblastoma is a locally aggressive entity that requires complete excision. Recurrence can even occur in the reconstruction, which can present a challenge to manage. Consideration should be given to repeat excision and second osseous flap reconstruction.

摘要

成釉细胞瘤是一种具有局部侵袭性的肿瘤,最常发生于下颌骨。如果切除不充分,其复发率很高。我们报告一例患者,在切除23年后,其腓骨瓣下颌骨重建中的成釉细胞瘤出现复发,尽管切除边缘清晰。这是首例在切缘阴性情况下新下颌骨重建中复发性成釉细胞瘤的报道病例。我们讨论了使用数字规划进行手术管理以及使用对侧游离腓骨瓣进行重建的情况。成釉细胞瘤是一种需要完整切除的局部侵袭性病变。复发甚至可能发生在重建过程中,这给治疗带来了挑战。应考虑再次切除和二期骨瓣重建。

https://cdn.ncbi.nlm.nih.gov/pmc/blobs/b40c/7255542/5fe7c340e27b/cureus-0012-00000007880-i01.jpg

文献检索

告别复杂PubMed语法,用中文像聊天一样搜索,搜遍4000万医学文献。AI智能推荐,让科研检索更轻松。

立即免费搜索

文件翻译

保留排版,准确专业,支持PDF/Word/PPT等文件格式,支持 12+语言互译。

免费翻译文档

深度研究

AI帮你快速写综述,25分钟生成高质量综述,智能提取关键信息,辅助科研写作。

立即免费体验