Suppr超能文献

梅克尔憩室鱼刺穿孔致肝脓肿:一例报告

Liver abscess caused by fish bone perforation of Meckel's diverticulum: a case report.

作者信息

Natsuki Seiji, Iseki Yasuhito, Nagahara Hishashi, Fukuoka Tatsunari, Shibutani Masatsune, Ohira Masaichi

机构信息

Department of Gastroenterological surgery, Osaka City University Graduate School of Medicine, 1-5-7 asahimachi, abeno-ku, osaka-shi, Osaka-fu, 545-8586, Japan.

出版信息

BMC Surg. 2020 Jun 5;20(1):121. doi: 10.1186/s12893-020-00783-y.

Abstract

BACKGROUND

Liver abscess due to gastrointestinal perforation by foreign bodies is rare. Furthermore, there are few case reports of liver abscess via the portal vein caused by perforation of the lower gastrointestinal tract by a foreign body.

CASE PRESENTATION

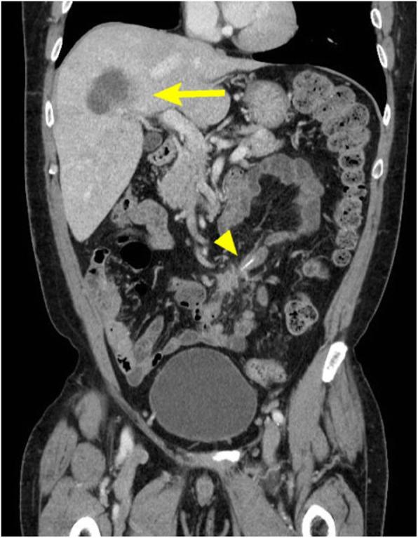
A 54-year-old man visited our hospital because of a fever that had lasted for 1 month. There were no physical findings except for the fever. Laboratory tests showed only elevated inflammatory markers. Abdominal contrast-enhanced computed tomography revealed an abscess in the right lobe of the liver and a high-density object in the small intestine. We diagnosed him with liver abscess secondary to intestinal perforation by a foreign body. The patient underwent drainage of the liver abscess and laparoscopic surgery for perforation of the small intestine. A fish bone had perforated the top of Meckel's diverticulum, which had been covered by the ileal mesentery. We successfully performed diverticulectomy and removed the fish bone. The patient was discharged without complications on the 13th postoperative day.

CONCLUSIONS

Liver abscess caused by foreign bodies requires multidisciplinary treatment, so we must detect and remove the cause of the abscess earlier. Liver abscess can form via the portal vein secondary to lower gastrointestinal perforation, as in this case. When exploring the cause of liver abscess, we should investigate the whole body, including the lower gastrointestinal tract.

摘要

背景

异物导致胃肠道穿孔引起肝脓肿较为罕见。此外,关于异物导致下消化道穿孔经门静脉引发肝脓肿的病例报告也很少。

病例介绍

一名54岁男性因持续发热1个月前来我院就诊。除发热外,无其他体征。实验室检查仅显示炎症指标升高。腹部增强计算机断层扫描显示肝脏右叶有脓肿,小肠内有高密度物体。我们诊断他为异物导致肠穿孔继发肝脓肿。患者接受了肝脓肿引流及小肠穿孔的腹腔镜手术。一根鱼骨穿透了梅克尔憩室顶部,该憩室被回肠系膜覆盖。我们成功进行了憩室切除术并取出了鱼骨。患者术后第13天无并发症出院。

结论

异物引起的肝脓肿需要多学科治疗,因此我们必须尽早发现并消除脓肿病因。如本病例所示,肝脓肿可继发于下消化道穿孔经门静脉形成。在探究肝脓肿病因时,我们应全面检查,包括下消化道。

https://cdn.ncbi.nlm.nih.gov/pmc/blobs/6315/7275410/d84847c868f7/12893_2020_783_Fig1_HTML.jpg

文献检索

告别复杂PubMed语法,用中文像聊天一样搜索,搜遍4000万医学文献。AI智能推荐,让科研检索更轻松。

立即免费搜索

文件翻译

保留排版,准确专业,支持PDF/Word/PPT等文件格式,支持 12+语言互译。

免费翻译文档

深度研究

AI帮你快速写综述,25分钟生成高质量综述,智能提取关键信息,辅助科研写作。

立即免费体验