Suppr超能文献

肝切除术后检查点抑制导致转移性肝细胞-胆管癌完全缓解

Checkpoint Inhibition Causing Complete Remission of Metastatic Combined Hepatocellular-Cholangiocarcinoma after Hepatic Resection.

作者信息

Rizell Magnus, Åberg Fredrik, Perman Mats, Ny Lars, Stén Liselotte, Hashimi Farida, Svanvik Joar, Lindnér Per

机构信息

Transplant Institute, Sahlgrenska University Hospital, Gothenburg, Sweden.

Department of Oncology, Sahlgrenska University Hospital, Gothenburg, Sweden.

出版信息

Case Rep Oncol. 2020 Apr 30;13(1):478-484. doi: 10.1159/000507320. eCollection 2020 Jan-Apr.

Abstract

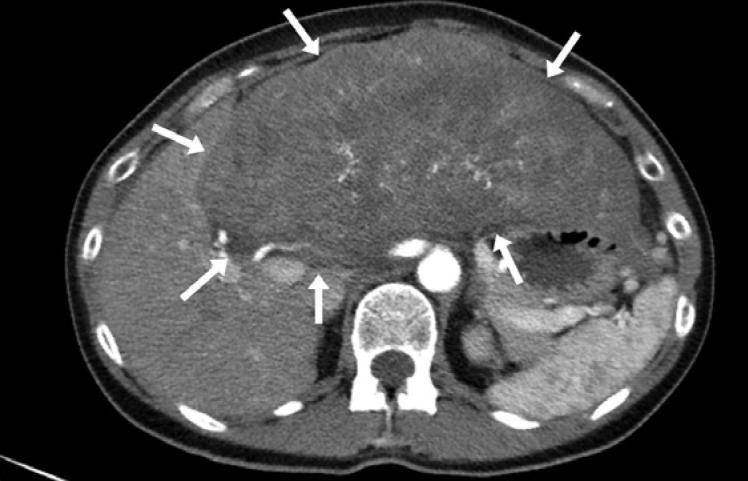
Combined hepatocellular-cholangiocarcinoma (CHC) is a rare type of primary liver cancer, speculated to arise from hepatic progenitor cells, and with a worse prognosis than hepatocellular carcinoma (HCC). Serum alpha-fetoprotein (AFP) levels may be one prognostic factor. It has been suggested that checkpoint inhibition might be useful in the treatment of HCC where there is an increased expression of PD-1 and PD-L1 in the microenvironment. Its effect on CHC is unknown. We report a case with a large CHC, which was radically resected, but the 53-year-old female patient subsequently developed pulmonary metastases. Histology demonstrated low-differentiated CHC without microsatellite instability. Treatment with sorafenib was started but was stopped due to angioedema. Under subsequent gemcitabine/cisplatin treatment, the metastatic disease progressed with rising AFP levels. A third-line treatment with pembrolizumab was then started, 2 mg/kg b.w. i.v. every third week for 6 months. This resulted in a radiologically complete remission of the pulmonary metastases and AFP levels were normalized (<10 μg/L) from a level of 1,790 μg/L before treatment. The patient developed immune-related adverse events (AEs) including diarrhea and hepatitis. These AEs were successfully treated with prednisolone and mycophenolate mofetil, and they were eventually resolved. There are no signs of cancer recurrence neither in the liver nor in the lungs at 33 months after the start of the checkpoint inhibition treatment, and the patient is doing well. Further study is urgently needed on the role of checkpoint inhibition therapy in liver cancer.

摘要

肝细胞-胆管细胞癌(CHC)是一种罕见的原发性肝癌,推测起源于肝祖细胞,预后比肝细胞癌(HCC)更差。血清甲胎蛋白(AFP)水平可能是一个预后因素。有人提出,在微环境中PD-1和PD-L1表达增加的HCC治疗中,检查点抑制可能有用。其对CHC的作用尚不清楚。我们报告一例大的CHC患者,该患者接受了根治性切除,但这位53岁的女性患者随后发生了肺转移。组织学显示低分化CHC,无微卫星不稳定性。开始使用索拉非尼治疗,但因血管性水肿而停药。在随后的吉西他滨/顺铂治疗下,转移性疾病进展,AFP水平升高。然后开始使用帕博利珠单抗进行三线治疗,静脉注射,体重2mg/kg,每三周一次,共6个月。这导致肺转移灶在影像学上完全缓解,AFP水平从治疗前的1790μg/L恢复正常(<10μg/L)。患者出现了包括腹泻和肝炎在内的免疫相关不良事件(AE)。这些AE通过泼尼松龙和霉酚酸酯成功治疗,最终得到缓解。在检查点抑制治疗开始33个月后,肝脏和肺部均无癌症复发迹象,患者情况良好。迫切需要进一步研究检查点抑制疗法在肝癌中的作用。

https://cdn.ncbi.nlm.nih.gov/pmc/blobs/6dae/7250374/8d8b0e43f36a/cro-0013-0478-g01.jpg

文献检索

告别复杂PubMed语法,用中文像聊天一样搜索,搜遍4000万医学文献。AI智能推荐,让科研检索更轻松。

立即免费搜索

文件翻译

保留排版,准确专业,支持PDF/Word/PPT等文件格式,支持 12+语言互译。

免费翻译文档

深度研究

AI帮你快速写综述,25分钟生成高质量综述,智能提取关键信息,辅助科研写作。

立即免费体验