Suppr超能文献

免疫功能低下的鼻眶脑型毛霉菌病患者无需开颅手术的联合抗真菌治疗:一例报告

Combination antifungal therapy without craniotomy in an immunocompromised patient with rhino-orbito-cerebral mucormycosis: A case report.

作者信息

Salehi Mohammadreza, Shahi Farhad, Rizvi Fatema Sadaat, Ghaderkhani Sara, Zainaldain Hamed, Khodavaisy Sadegh, Jamali-Moghaddam Saeed Reza, Dehghan Manshadi Seyed Ali, Rezahosseini Omid

机构信息

Imam Khomeini Complex Hospital, Department of Infectious Diseases, Tehran University of Medical Sciences, Tehran, Iran.

Department of Adult Hematology and Oncology, Imam Khomeini Complex Hospital, Tehran University of Medical Sciences, Tehran, Iran.

出版信息

Caspian J Intern Med. 2020;11(2):227-230. doi: 10.22088/cjim.11.2.227.

Abstract

BACKGROUND

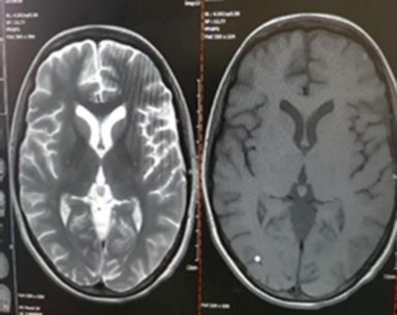
Mucormycosis is an uncommon fungal infection caused by the members of the order Mucorales. In susceptible patients, mucormycosis can infect any tissue or organ, and without suitable treatment (i.e., debridement and antifungal therapy), this infection can be fatal. Our patient was a woman with lymphoma and cerebral mucormycosis who was treated with antifungals and without any neurosurgical debridement.

CASE PRESENTATION

Herein, we present the case of a 35-year-old woman with diagnosis of B-cell lymphoma and rhino-orbito-cerebral mucormycosis (ROCM). She was a candidate for enucleation of the left eye, orbital decompression, and sinocerebral debridement. Nevertheless, the patient refused eye enucleation and craniotomy. Finally, she was treated with a combination of antifungals and sinus debridement without eye enucleation and craniotomy.

CONCLUSION

debridement, along with a combination of liposomal amphotericin B (LAMB) and posaconazole, may be a suitable therapeutic option for patients with ROCM, who are not eligible candidates for extensive surgery or craniotomy.

摘要

背景

毛霉病是由毛霉目真菌引起的一种罕见真菌感染。在易感患者中,毛霉病可感染任何组织或器官,若未进行适当治疗(即清创和抗真菌治疗),这种感染可能是致命的。我们的患者是一名患有淋巴瘤和脑毛霉病的女性,接受了抗真菌治疗,未进行任何神经外科清创。

病例介绍

在此,我们报告一例35岁诊断为B细胞淋巴瘤合并鼻眶脑毛霉病(ROCM)的女性病例。她曾是左眼摘除、眼眶减压和鼻窦脑清创术的候选者。然而,患者拒绝眼球摘除和开颅手术。最后,她接受了抗真菌药物联合鼻窦清创治疗,未进行眼球摘除和开颅手术。

结论

对于不适合进行广泛手术或开颅手术的ROCM患者,清创术联合脂质体两性霉素B(LAMB)和泊沙康唑可能是一种合适的治疗选择。

https://cdn.ncbi.nlm.nih.gov/pmc/blobs/eec5/7265517/0accb1baf899/cjim-11-227-g001.jpg

文献AI研究员

20分钟写一篇综述,助力文献阅读效率提升50倍。

立即体验

用中文搜PubMed

大模型驱动的PubMed中文搜索引擎

马上搜索

文档翻译

学术文献翻译模型,支持多种主流文档格式。

立即体验