• 文献检索
  • 文档翻译
  • 深度研究
  • 学术资讯
  • Suppr Zotero 插件Zotero 插件
  • 邀请有礼
  • 套餐&价格
  • 历史记录
应用&插件
Suppr Zotero 插件Zotero 插件浏览器插件Mac 客户端Windows 客户端微信小程序
定价
高级版会员购买积分包购买API积分包
服务
文献检索文档翻译深度研究API 文档MCP 服务
关于我们
关于 Suppr公司介绍联系我们用户协议隐私条款
关注我们

Suppr 超能文献

核心技术专利:CN118964589B侵权必究
粤ICP备2023148730 号-1Suppr @ 2026

文献检索

告别复杂PubMed语法,用中文像聊天一样搜索,搜遍4000万医学文献。AI智能推荐,让科研检索更轻松。

立即免费搜索

文件翻译

保留排版,准确专业,支持PDF/Word/PPT等文件格式,支持 12+语言互译。

免费翻译文档

深度研究

AI帮你快速写综述,25分钟生成高质量综述,智能提取关键信息,辅助科研写作。

立即免费体验

使用AOT/异辛烷反胶束从粗提物中回收和纯化植酸酶。

Recovery and purification of phytase from crude extract using AOT / isooctane reversed micelles.

作者信息

Neira-Vielma Alberto A, Iliná Anna, Álvarez Georgina Michelena, Nascimento Cynthia O, Aguilar Cristóbal Noé, Martínez-Hernández José Luis, Carneiro-da-Cunha Maria das Graças

机构信息

Food Research Department, Universidad Autónoma de Coahuila, México. Blvd. V. Carranza S/N. Col. República, CP 25280, Saltillo, Coahuila, México.

Departamento de Bioquímica/Laboratório de Imunopatologia Keizo Asami, Universidade Federal de Pernambuco-UFPE, Av. Prof. Moraes Rego s/n, CEP 50.670-420, Recife, PE, Brazil.

出版信息

Biotechnol Rep (Amst). 2020 May 20;26:e00471. doi: 10.1016/j.btre.2020.e00471. eCollection 2020 Jun.

DOI:10.1016/j.btre.2020.e00471
PMID:32509541
原文链接:https://pmc.ncbi.nlm.nih.gov/articles/PMC7264062/
Abstract

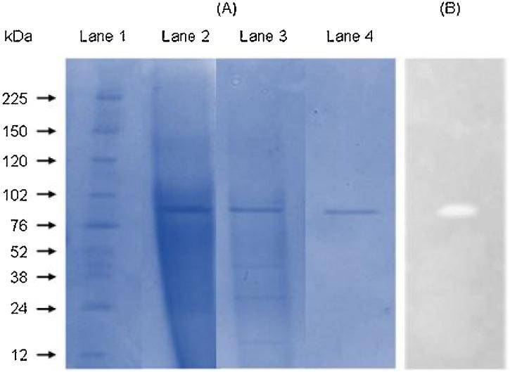
This work describes the successful extraction of Aspergillus niger phytase from a crude extract (CE) obtained from solid-state fermentation by reversed micelle system using anionic surfactant sodium bis (2-ethylhexyl) sulfosuccinate (AOT) in isooctane achieved in two simple steps: forward and backward extractions. The effects of potassium chloride (KCl) concentration, pH of the aqueous solution, and AOT concentration that affect the system were examined. The best result for the forward extraction was obtained with the CE solution at pH 4.0, 50 mM KCl, and 100 mM AOT, while for the backward extraction the best result was achieved with a stripping aqueous solution at pH 5.5 containing 200 mM KCl, achieving a purification factor of 4.03, 1.15 times higher than that reported for the conventional purification process. Phytase purity was demonstrated by SDS-PAGE (89 kDa) and its activity by zymogram, confirming the efficiency of the process with low time consumption (∼40 min).

摘要

本研究描述了通过反胶束体系从固态发酵获得的粗提物(CE)中成功提取黑曲霉植酸酶的过程。该反胶束体系使用异辛烷中的阴离子表面活性剂双(2-乙基己基)磺基琥珀酸钠(AOT),通过两个简单步骤实现:正向萃取和反向萃取。研究了氯化钾(KCl)浓度、水溶液pH值和AOT浓度对该体系的影响。正向萃取的最佳结果是在pH 4.0、50 mM KCl和100 mM AOT的CE溶液中获得,而反向萃取的最佳结果是在pH 5.5、含有200 mM KCl的反萃水溶液中实现,纯化因子达到4.03,比传统纯化工艺报道的结果高1.15倍。通过SDS-PAGE(89 kDa)证明了植酸酶的纯度,通过酶谱证明了其活性,证实了该工艺效率高且耗时短(约40分钟)。

https://cdn.ncbi.nlm.nih.gov/pmc/blobs/361d/7264062/ba0a54e4f539/gr6.jpg
https://cdn.ncbi.nlm.nih.gov/pmc/blobs/361d/7264062/0f0895f84417/ga1.jpg
https://cdn.ncbi.nlm.nih.gov/pmc/blobs/361d/7264062/4203875b2665/gr1.jpg
https://cdn.ncbi.nlm.nih.gov/pmc/blobs/361d/7264062/013645343a86/gr2.jpg
https://cdn.ncbi.nlm.nih.gov/pmc/blobs/361d/7264062/8bf06a20eb33/gr3.jpg
https://cdn.ncbi.nlm.nih.gov/pmc/blobs/361d/7264062/61ead2212d42/gr4.jpg
https://cdn.ncbi.nlm.nih.gov/pmc/blobs/361d/7264062/c4c4a69c88f3/gr5.jpg
https://cdn.ncbi.nlm.nih.gov/pmc/blobs/361d/7264062/ba0a54e4f539/gr6.jpg
https://cdn.ncbi.nlm.nih.gov/pmc/blobs/361d/7264062/0f0895f84417/ga1.jpg
https://cdn.ncbi.nlm.nih.gov/pmc/blobs/361d/7264062/4203875b2665/gr1.jpg
https://cdn.ncbi.nlm.nih.gov/pmc/blobs/361d/7264062/013645343a86/gr2.jpg
https://cdn.ncbi.nlm.nih.gov/pmc/blobs/361d/7264062/8bf06a20eb33/gr3.jpg
https://cdn.ncbi.nlm.nih.gov/pmc/blobs/361d/7264062/61ead2212d42/gr4.jpg
https://cdn.ncbi.nlm.nih.gov/pmc/blobs/361d/7264062/c4c4a69c88f3/gr5.jpg
https://cdn.ncbi.nlm.nih.gov/pmc/blobs/361d/7264062/ba0a54e4f539/gr6.jpg

相似文献

1
Recovery and purification of phytase from crude extract using AOT / isooctane reversed micelles.使用AOT/异辛烷反胶束从粗提物中回收和纯化植酸酶。
Biotechnol Rep (Amst). 2020 May 20;26:e00471. doi: 10.1016/j.btre.2020.e00471. eCollection 2020 Jun.
2
The forward and backward transport processes in the AOT/hexane reversed micellar extraction of soybean protein.AOT/正己烷反胶束萃取大豆蛋白的正反输送过程。
J Food Sci Technol. 2014 Oct;51(10):2851-6. doi: 10.1007/s13197-012-0801-1. Epub 2012 Aug 24.
3
Study of the factors affecting the extraction of soybean protein by reverse micelles.反胶束提取大豆蛋白影响因素的研究。
Mol Biol Rep. 2010 Feb;37(2):669-75. doi: 10.1007/s11033-009-9515-5. Epub 2009 Mar 29.
4
Extraction of monoclonal antibodies (IgG1) using anionic and anionic/nonionic reverse micelles.使用阴离子和阴离子/非离子反胶束提取单克隆抗体(IgG1)。
Biotechnol Prog. 2010 Sep-Oct;26(5):1352-60. doi: 10.1002/btpr.453.
5
Mechanism of extraction of chymotrypsin into isooctane at very low concentrations of aerosol OT in the absence of reversed micelles.在不存在反胶束的情况下,在极低浓度的气溶胶OT条件下将胰凝乳蛋白酶提取到异辛烷中的机制。
Biotechnol Bioeng. 1994 Mar 15;43(6):529-40. doi: 10.1002/bit.260430614.
6
Extraction and activity of chymotrypsin using AOT-DOLPA mixed reversed micellar systems.使用AOT-DOLPA混合反胶束体系提取胰凝乳蛋白酶及其活性研究
Biotechnol Prog. 1998 Sep-Oct;14(5):729-34. doi: 10.1021/bp9800790.
7
Reverse micellar extraction of lectin from black turtle bean (Phaseolus vulgaris): optimisation of extraction conditions by response surface methodology.反胶束萃取菜豆属植物凝集素:响应面法优化萃取条件。
Food Chem. 2015 Jan 1;166:93-100. doi: 10.1016/j.foodchem.2014.05.156. Epub 2014 Jun 7.
8
Purification of glucose oxidase from Aspergillus niger by liquid-liquid cationic reversed micelles extraction.
Biotechnol Prog. 2005 May-Jun;21(3):868-74. doi: 10.1021/bp049623x.
9
Purification and biochemical characterization of an phytase produced by solid-state fermentation using triticale residues as substrate.以黑小麦残渣为底物通过固态发酵生产的植酸酶的纯化及生化特性研究
Biotechnol Rep (Amst). 2017 Dec 15;17:49-54. doi: 10.1016/j.btre.2017.12.004. eCollection 2018 Mar.
10
Efficient lipase purification using reverse micellar extraction.利用反胶束萃取实现脂肪酶的高效纯化。
Bioresour Technol. 2012 Mar;108:224-30. doi: 10.1016/j.biortech.2011.11.126. Epub 2011 Dec 16.

本文引用的文献

1
Surface structure and volatile characteristic of peanut proteins obtained through AOT reverse micelles.通过 AOT 反胶束提取的花生蛋白的表面结构和挥发性特征。
Colloids Surf B Biointerfaces. 2019 Jan 1;173:860-868. doi: 10.1016/j.colsurfb.2018.10.070. Epub 2018 Oct 25.
2
Purification and biochemical characterization of an phytase produced by solid-state fermentation using triticale residues as substrate.以黑小麦残渣为底物通过固态发酵生产的植酸酶的纯化及生化特性研究
Biotechnol Rep (Amst). 2017 Dec 15;17:49-54. doi: 10.1016/j.btre.2017.12.004. eCollection 2018 Mar.
3
The Size of AOT Reverse Micelles.
AOT反胶束的大小。
J Phys Chem B. 2016 Nov 10;120(44):11337-11347. doi: 10.1021/acs.jpcb.6b06420. Epub 2016 Oct 28.
4
Reverse micellar extraction of bromelain from pineapple peel--Effect of surfactant structure.从菠萝皮中反胶束提取菠萝蛋白酶-表面活性剂结构的影响。
Food Chem. 2016 Apr 15;197(Pt A):450-6. doi: 10.1016/j.foodchem.2015.10.145. Epub 2015 Nov 2.
5
Isolation of a thermostable acid phytase from Aspergillus niger UFV-1 with strong proteolysis resistance.从具有强抗蛋白酶解能力的黑曲霉UFV-1中分离出一种热稳定酸性植酸酶。
Braz J Microbiol. 2015 Mar 1;46(1):251-60. doi: 10.1590/S1517-838220120037. eCollection 2015 Mar.
6
Extracellular phytase from Aspergillus niger CFR 335: purification and characterization.黑曲霉CFR 335的胞外植酸酶:纯化与特性分析
J Food Sci Technol. 2015 Jul;52(7):4558-64. doi: 10.1007/s13197-014-1304-z. Epub 2014 Aug 6.
7
Phytase, a new life for an "old" enzyme.植酸酶,一种“老”酶的新生命。
Annu Rev Anim Biosci. 2013 Jan;1:283-309. doi: 10.1146/annurev-animal-031412-103717. Epub 2012 Dec 13.
8
Reverse micellar extraction of lectin from black turtle bean (Phaseolus vulgaris): optimisation of extraction conditions by response surface methodology.反胶束萃取菜豆属植物凝集素:响应面法优化萃取条件。
Food Chem. 2015 Jan 1;166:93-100. doi: 10.1016/j.foodchem.2014.05.156. Epub 2014 Jun 7.
9
Purification and characterisation of an extracellular phytase from Aspergillus niger 11T53A9.从黑曲霉 11T53A9 中提取和纯化一种植酸酶及其性质研究。
Braz J Microbiol. 2009 Oct;40(4):795-807. doi: 10.1590/S1517-838220090004000010. Epub 2009 Dec 1.
10
Ionic concentration effects on reverse micelle size and stability: implications for the synthesis of nanoparticles.离子浓度对反胶束大小和稳定性的影响:对纳米粒子合成的启示。
Langmuir. 2012 Jun 26;28(25):9267-74. doi: 10.1021/la300586f. Epub 2012 Jun 6.