Suppr超能文献

FoxM1 依赖性和脂肪酸氧化介导的 ROS 调节是癌症干细胞样细胞中的一种细胞内在耐药机制。

FoxM1-dependent and fatty acid oxidation-mediated ROS modulation is a cell-intrinsic drug resistance mechanism in cancer stem-like cells.

机构信息

Brain Korea 21 Plus Project for Medical Science, Yonsei University College of Medicine, 50 Yonsei-ro, Seodaemun-gu, Seoul, 03722, South Korea.

Department of Surgery, Yonsei University College of Medicine, 50 Yonsei-ro, Seodaemun-gu, Seoul, 03722, South Korea.

出版信息

Redox Biol. 2020 Sep;36:101589. doi: 10.1016/j.redox.2020.101589. Epub 2020 May 29.

Abstract

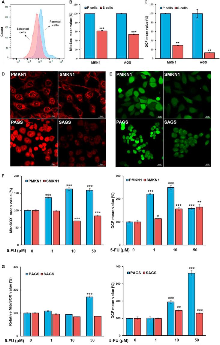
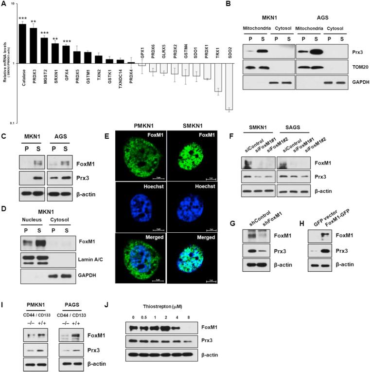
Increased oxidative phosphorylation (OXPHOS) and reactive oxygen species (ROS) levels are inherently linked. ROS are essential signaling molecules, with detrimental effects when produced in excess during chemotherapy, leading to cell death. Cancer stem-like cells (CSCs) are a subpopulation of tumor cells resistant to chemotherapy, highly invasive and metastagenic, driving malignant cancer behavior. In this study, we demonstrated that CSCs exhibit increased OXPHOS but paradoxically low ROS levels. Considering the detrimental effects of large amounts of ROS, CSCs have developed potential mechanisms for quenching excess ROS to maintain redox homeostasis. We aimed to investigate the distinct metabolic features and mechanisms of ROS regulation in gastric CSCs and explore potential therapeutic strategies targeting CSCs. Human gastric cancer cell lines, AGS and MKN1, were subjected to liquid chromatography/mass spectrometry-based metabolomic and microarray analyses. Mitochondrial properties such as mitochondrial mass, membrane potential, and ROS were assessed by flow cytometric analysis. CSCs with increased OXPHOS levels maintained low ROS levels by coupling FoxM1-dependent Prx3 expression and fatty acid oxidation-mediated NADPH regeneration. Thus, interventions targeting ROS homeostasis in CSCs may be a useful strategy for targeting this drug-resistant tumor cell subpopulation.

摘要

氧化磷酸化(OXPHOS)和活性氧物种(ROS)水平的增加本质上是相关的。ROS 是必需的信号分子,当在化疗过程中过度产生时会产生有害影响,导致细胞死亡。癌症干细胞样细胞(CSC)是对化疗具有抗性的肿瘤细胞亚群,具有高度侵袭性和转移性,驱动恶性癌症行为。在这项研究中,我们证明了 CSC 表现出增加的 OXPHOS,但 paradoxically 低 ROS 水平。考虑到大量 ROS 的有害影响,CSC 已经开发出潜在的机制来淬灭过量的 ROS 以维持氧化还原平衡。我们旨在研究胃 CSC 中 ROS 调节的独特代谢特征和机制,并探索针对 CSC 的潜在治疗策略。对人胃癌细胞系 AGS 和 MKN1 进行基于液相色谱/质谱的代谢组学和微阵列分析。通过流式细胞术分析评估线粒体特性,如线粒体质量、膜电位和 ROS。具有增加的 OXPHOS 水平的 CSC 通过 FoxM1 依赖性 Prx3 表达和脂肪酸氧化介导的 NADPH 再生来维持低 ROS 水平。因此,针对 CSC 中 ROS 动态平衡的干预可能是针对这种耐药性肿瘤细胞亚群的有效策略。

https://cdn.ncbi.nlm.nih.gov/pmc/blobs/533c/7286985/6588b020f683/fx1.jpg

文献AI研究员

20分钟写一篇综述,助力文献阅读效率提升50倍。

立即体验

用中文搜PubMed

大模型驱动的PubMed中文搜索引擎

马上搜索

文档翻译

学术文献翻译模型,支持多种主流文档格式。

立即体验