Suppr超能文献

中国西部免疫功能正常和免疫功能低下的肺部隐球菌病患者的临床分析。

Clinical analysis in immunocompetent and immunocompromised patients with pulmonary cryptococcosis in western China.

机构信息

Center of Infectious Disease, West China Hospital, Sichuan University, 37 Guoxue Lane, Chengdu, 610041, China.

Pathology department, West China Hospital, Sichuan University, 37 Guoxue Lane, Chengdu, 610041, China.

出版信息

Sci Rep. 2020 Jun 10;10(1):9387. doi: 10.1038/s41598-020-66094-7.

Abstract

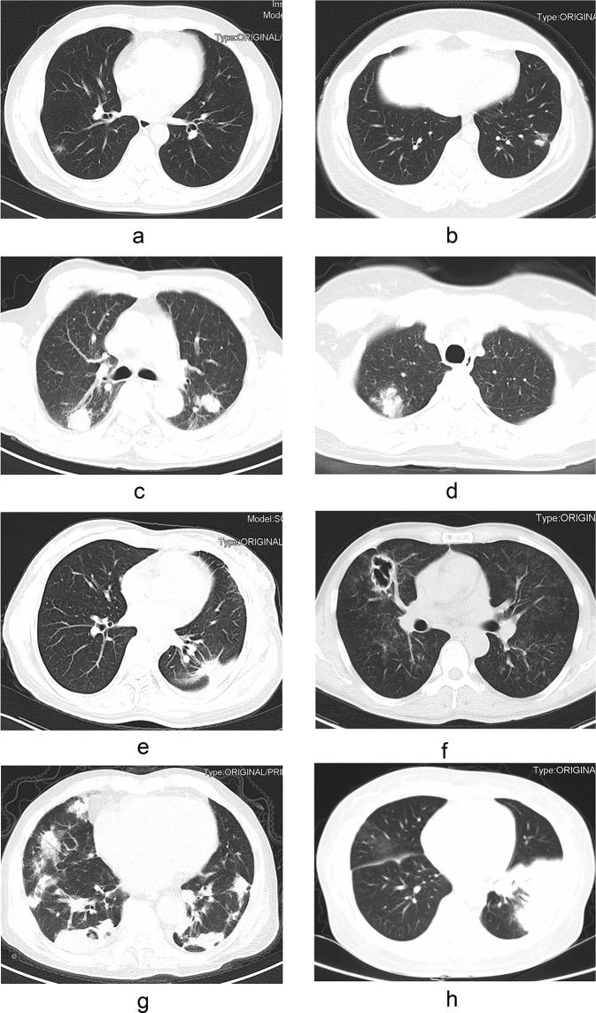
Cryptococcosis is a systemic infection and it may occur in immunocompromised and immunocompetent hosts. In order to better understand the clinical characteristics of patients with PC in different immune status, we retrospectively investigated the clinical, radiological, and treatment profiles of immunocompetent and immunocompromised patients with PC during a 10-year period (2008-2017). As a result, out of 136 patients, 94 (69.1%) were immunocompromised hosts. For the PC patients without CNS involvement, higher percentage of immunocompetent patients (39.5%, 15/38) had asymptomatic presentation than immunocompromised patients (6.3%, 3/48) (P < 0.05). Multiple pulmonary nodules (72.7%, 56/77), ground-glass attenuation/interstitial changes (94.4%, 17/18) and cavitation (88.6%, 31/35) were significantly frequent in immunocompromised patients (P < 0.05). A total of 47 patients were misdiagnosed as tuberculosis or tumors based on CT signs. PC was likely to be misdiagnosed as tuberculosis in immunocompromised patients (88.2%, 15/17), and tumor was more likely to be considered in immunocompetent patients (43.3%, 13/30). Immunocompetent patients accounted for 80% (24/30) of patients with definite diagnosis on surgical lung biopsy. Fluconazole monotherapy can achieve good clinical outcome in most PC patients without central nervous system (CNS) involvement (91.5%, 54/59). After 3 months of treatment, 92.7% (38/41) patients have improved imaging findings. In conclusion, PC has diverse imaging manifestations and it is easily misdiagnosed. Lobectomy should be carefully selected in immunocompetent patients with a single lung lesion. Fluconazole monotherapy is preferred for PC patients without CNS involvement.

摘要

隐球菌病是一种全身性感染,可发生于免疫功能低下和免疫功能正常的宿主。为了更好地了解不同免疫状态下 PC 患者的临床特征,我们回顾性调查了 10 年间(2008-2017 年)免疫功能正常和免疫功能低下的 PC 患者的临床、影像学和治疗特征。结果,在 136 例患者中,94 例(69.1%)为免疫功能低下的宿主。对于无中枢神经系统受累的 PC 患者,免疫功能正常患者(39.5%,15/38)无症状表现的比例高于免疫功能低下患者(6.3%,3/48)(P<0.05)。多发肺结节(72.7%,56/77)、磨玻璃影/间质改变(94.4%,17/18)和空洞(88.6%,31/35)在免疫功能低下患者中更为常见(P<0.05)。共有 47 例患者根据 CT 征象误诊为肺结核或肿瘤。PC 更可能误诊为免疫功能低下患者的肺结核(88.2%,15/17),而更可能考虑免疫功能正常患者的肿瘤(43.3%,13/30)。在接受手术肺活检的患者中,免疫功能正常患者占明确诊断患者的 80%(24/30)。对于大多数无中枢神经系统(CNS)受累的 PC 患者,氟康唑单药治疗可获得良好的临床疗效(91.5%,54/59)。治疗 3 个月后,92.7%(38/41)患者的影像学改善。总之,PC 具有多种影像学表现,易误诊。对于单发肺部病变的免疫功能正常患者,应慎重选择肺叶切除术。对于无 CNS 受累的 PC 患者,氟康唑单药治疗是首选。

https://cdn.ncbi.nlm.nih.gov/pmc/blobs/b818/7287058/4772f0dc0fc4/41598_2020_66094_Fig1_HTML.jpg

文献AI研究员

20分钟写一篇综述,助力文献阅读效率提升50倍。

立即体验

用中文搜PubMed

大模型驱动的PubMed中文搜索引擎

马上搜索

文档翻译

学术文献翻译模型,支持多种主流文档格式。

立即体验