Suppr超能文献

经食管超声心动图导致的Zenker憩室穿孔:一例极其罕见的危及生命的医源性并发症处理的病例报告

Zenker's diverticulum perforation due to transoesophageal echocardiography: Case report of the management of an extremely rare life-threatening iatrogenic complication.

作者信息

Terryn F-X, Stangherlin P, Mansvelt B

机构信息

Department of General Surgery, Hôpital de Jolimont, Haine-Saint-Paul, Belgium.

Department of General Surgery, Hôpital de Jolimont, Haine-Saint-Paul, Belgium.

出版信息

Int J Surg Case Rep. 2020;72:294-297. doi: 10.1016/j.ijscr.2020.06.016. Epub 2020 Jun 11.

Abstract

INTRODUCTION

Transoesophageal echocardiography is generally considered to be a safe monitoring and diagnostic tool. Even though the severe morbidity rate is relatively low and mortality rate exceptional, sometimes life-threatening events may occur during this procedure.

PRESENTATION OF CASE

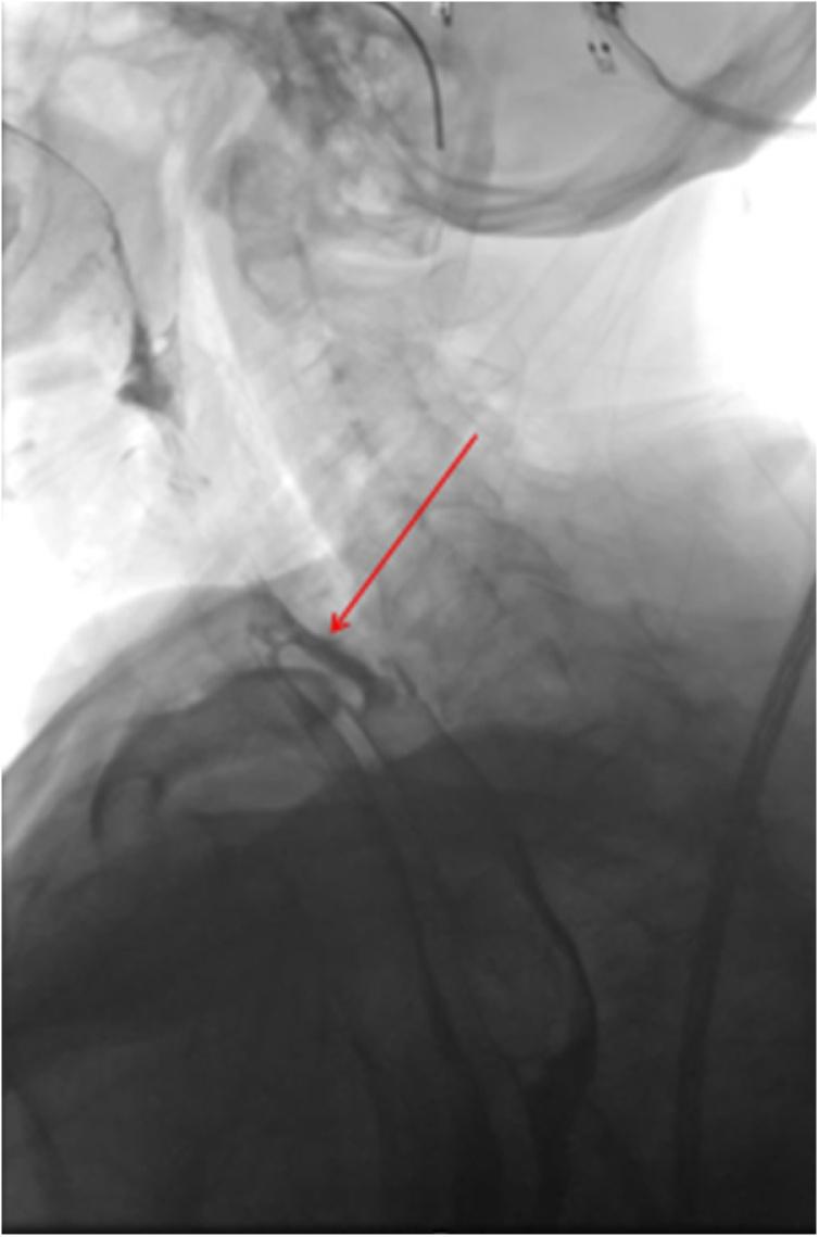
We described the case of a 79-year-old woman with an extremely rare case of Zenker's diverticulum perforation following a transoesophageal echocardiography and its successful management with a 6 months follow-up.

DISCUSSION

Several specific endoscopic techniques have been described in the literature in case of Zenker's diverticulum and we believe the use of check lists should be implemented.

CONCLUSION

We hope that the documentation of this rare iatrogenic complication will remind the operators of this procedure to be aware of a documented Zenker's diverticulum and when necessary, to take the published precautions to prevent a highly severe complication.

摘要

引言

经食管超声心动图通常被认为是一种安全的监测和诊断工具。尽管严重发病率相对较低,死亡率更是罕见,但在此操作过程中有时可能会发生危及生命的事件。

病例介绍

我们描述了一名79岁女性的病例,该患者在经食管超声心动图检查后发生极为罕见的Zenker憩室穿孔,并成功进行了治疗,随访6个月。

讨论

文献中已描述了针对Zenker憩室的几种特定内镜技术,我们认为应实施检查表。

结论

我们希望记录这一罕见的医源性并发症能提醒该操作的操作人员注意已记录的Zenker憩室,必要时采取已公布的预防措施,以防止发生极为严重的并发症。

https://cdn.ncbi.nlm.nih.gov/pmc/blobs/ccd8/7306510/680f34d15f86/gr1.jpg

文献AI研究员

20分钟写一篇综述,助力文献阅读效率提升50倍。

立即体验

用中文搜PubMed

大模型驱动的PubMed中文搜索引擎

马上搜索

文档翻译

学术文献翻译模型,支持多种主流文档格式。

立即体验